My BEST Dentists Journal

All Journal Entries
Share

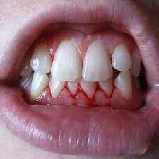
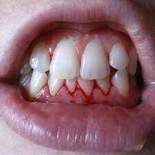
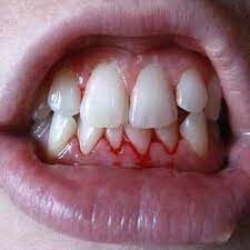
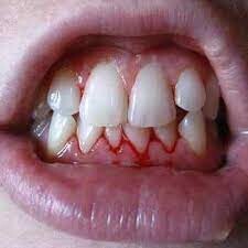
Six Ways to Care for Swollen, Bleeding Gums

Gums are an integral and often overlooked part of the mouth.

Gums are the part of the oral anatomy that serve to contain and protect the teeth and bone, they can demonstrate some of the earliest signs of poor oral health.

While healthy gums are pink and resilient, gums that are swollen, sore, or bloody may be a sign of gum, or periodontal, disease.

According to the Center for Disease Control and Prevention (CDC) 47.2% of people over the age of 30 have some form of periodontal disease.

What causes gum swelling?

Gum swelling is caused by the buildup of plaque and subsequent bacteria.

The colonization of the bacteria causes inflammation and other adverse conditions. This is gingivitis, an early stage of periodontal disease.

Gingivitis, when ignored, can lead to even worse ailments. Cavities, abscesses, and tooth loss are unfortunate symptoms of advanced gum disease.

Receding gums provide the perfect environment for bacteria colonies to grow and flourish. Without proper hygiene, the bacteria is allowed to thrive and eat away at the surface of the teeth making your teeth sensitive.

Fortunately, this negative progress can be prevented with proactive measures.

The American Dental Association recommends brushing twice each day with fluoridated toothpaste, flossing daily, and visiting a dentist twice annually for cleanings and exams.

Read along for six simple ways you can quickly reduce gum swelling and improve your overall oral health. These steps are straightforward and inexpensive.

6 Ways to Reduce Gum Swelling Quickly

1. Brush Twice Daily

If you are showing early signs of gum disease, it is a good time to start thinking about your brushing routine. It is important to brush twice each day, preferably once in the morning and once in the evening.

However, what is even more important is your brushing technique.

The ADA recommends you use a soft bristle brush and fluorinated toothpaste. At a 45-degree angle to the gums, brush in short wisps, until you’ve brushed the entire surface, front and back, of your teeth.

A dentist or hygienist can help you to establish an efficient routine.

As a reminder, brushes should be thrown out and replaced every three to fours months. Otherwise, once the bristles on your toothbrush begin to warp, it is time for a new one.

2. Flossing

Flossing helps to remove stubborn plaque in the hard-to-reach breaks between teeth. It is important to floss once a day. Your flossing technique is crucial.

Food particles and small debris left to fester between teeth and gums quickly turn to plaque and, eventually, tartar.

While many people, especially those with dental work and braces, experience frustration and, sometimes, apprehension, when it comes to flossing, there are special techniques and products that can make this task easier.

Flossing picks with soft bristles help for people to reach around oral hardware or floss without putting stress on a weakened gum.

Such products can sometimes be easier to manipulate for a number of reasons. However, typical nylon floss is a great tool in combatting oral bacteria.

3. Eat Well

Plaque and tartar come as a result of lingering food particles.

While proper dental hygiene can help to remove these bits, eating less sugar and more foods that are rich in calcium and vitamin C can help strengthen your teeth and better their environment.

Snacks, such as sugar-free yogurt, nuts, and leafy greens, can provide essential bone and teeth building vitamins and minerals.

4. Drink Water

We all know that water is essential to life; moreover, it can improve your oral health too. Drinking water helps your body to flush harmful bacteria out of the mouth.

It is also beneficial to switch from sugary fruit juices and sodas to water.

No matter what motivates you to increase your daily H2O intake, your gums will likely see a quick improvement.

5. Mouthwash

Mouthwash is an effective product in the war against oral bacteria. However, many over the counter rinses contain irritating fillers, such as dyes, harsh chemicals and alcohol, which can give you a lingering bad breath.

There are many all-natural antiseptics that can help rid your mouth of harmful bacteria without stimulating your already sore gums.

Many mouthwash products can help to quickly strengthen your gums by hindering the continued growth of oral bacteria.

6. Mindful Choices

If it is your goal is to quickly reduce gum swelling, you’ll want to take into account how your daily food and substance intake are going to impact your mouth.

Hard, chewy foods should be avoided, as they put surplus pressure on an already weakened system. Moreover, sharp food particles can lead to gum abrasions that can become painful abscesses.

Additionally, foods that are too hot, cold, or acidic may only worsen your discomfort. Therefore, it may be best to abstain from such foods until your gums are strong enough.

It is also important to visit a dentist frequently. Dentists can help to identify, track, and repair your teeth. A hygienist can also provide a deeper cleaning than you can at home.

(01/07/2024)
by Oxyfresh

More Information: https://oxyfresh.com/blogs/dental-health/6-ways-to-care-for-swollen-bleeding-gums

Views: 527
Share


My BEST Dentists Journal Headlines