My BEST Dentists Journal

All Journal Entries
Share

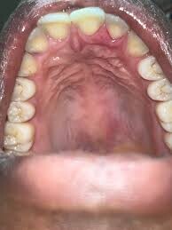
Sore Roof of Mouth Behind Front Teeth

Having a sore roof of mouth behind front teeth can be frustrating. While the mouth heals quickly, eating and speaking can be painful for a few days until sore spots are gone. Finding the cause of a mouth sore can be tricky, but most cases can be helped along by keeping the site clean and visiting your dentist to determine the source of your discomfort.

Sore Roof of Mouth Behind Front Teeth: Causes

We've all burned our mouth on a slice of pizza or a cup of hot cocoa. Minor oral burns heal fairly quickly, but sometimes the pain in your palate can come from a more long-lasting source.

For example, cold sores and mouth ulcers can cause mild to severe discomfort. They can be found on the roof of the mouth, or other locations ranging from the gums to the cheeks and lips.

Cold sores are caused by the herpes simplex virus type 1, and usually last around one to two weeks. These contagious blisters often weep liquid and crust over before healing.

A mouth ulcer, on the other hand, is not contagious, though it lasts about as long as a cold sore. These ulcers look more like tiny craters with a yellow or grey centre. More rarely, a sore roof of mouth behind front teeth can be a warning sign of oral cancer. Talk to your dentist immediately if the sore spot also feels numb or tingles.

Treating a Sore Spot

While treating a mouth burn might be as simple as waiting for your coffee to cool down, other sores may need stronger treatment. Because these lesions can be found in multiple areas of the mouth, a mouth rinse provides an easy way to deliver a cleansing and comforting solution. Your dentist may suggest a soothing mouth rinse to help promote the natural healing of minor mouth irritations.

One important thing to remember is that medicated mouth sore rinse is not meant to be used as a regular addition to your home care routine. If your sore palate has not improved after a few days, talk to your dental professional. They may need to perform further tests, such as a biopsy, to determine the cause of your oral pain.

Other Ways to Help

It often helps to avoid alcohol, tobacco products and spicy foods while your sore mouth is healing. Spicy foods will not necessarily keep the site from healing, but they can cause discomfort. The NHS also suggests abstaining from salty and crunchy snacks, which can sting or scratch an open sore. Identifying your triggers for sores (such as acidic foods or stress) can also help prevent new lesions if the problem is a mouth ulcer.

Maintaining good oral care by brushing at least twice a day and flossing can help prevent the conditions that cause some mouth sores. There may be no magic solution to your sore roof of mouth behind front teeth problem, but talking with your dentist about the possible causes can help you find a path to relief.

(07/16/2024)
by Colgate

More Information: https://www.colgate.com/en-gb/oral-health/mouth-sores-and-infections/sore-roof-of-mouth-behind-front-teeth-diagnosing-and-healing

Views: 502
Share


My BEST Dentists Journal Headlines