My BEST Dentists Journal

All Journal Entries
Share

Symptoms of a Ranula in your mouth

What is a Ranula? 

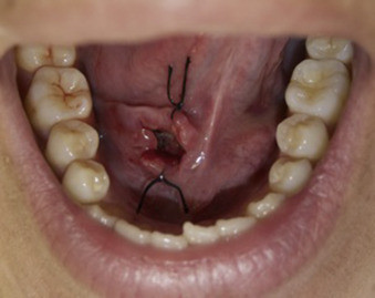
A ranula is a fluid collection or cyst that forms in the mouth under the tongue. It is filled with saliva (spit) that has leaked out of a damaged salivary gland. Salivary glands are small structures around the mouth which make saliva. Saliva should drain from these glands directly into the mouth. If one of these glands is damaged then the saliva leaks out into the tissues next to the gland forming a cyst or bubble near the gland. This cyst is called a ranula.

If the ranula stays in the mouth underneath the tongue it is called a simple ranula and if it grows down into the neck under the mouth it is called a plunging ranula.

How are Ranulas Diagnosed?

The diagnosis is usually easy for an experienced physician to make based primarily on physical examination but often specialized radiology studies such as Ultrasound, Computed Tomography (CT Scan), or Magnetic Resonance Imaging (MRI) are needed to define the full extent of the problem and exclude other causes for swelling. No other laboratory tests are usually needed to make the diagnosis.

What are the Symptoms of a Ranula?

Ranulas are usually discovered by the patient, the patient’s family, or the patient’s medical caregivers like medical doctors and dentists. It usually is a 2-3 inch diameter painless soft swelling under the tongue or chin that is easy to identify. Occasionally, the fluid collection can hurt a little and sometimes is can spontaneously empty into the mouth only to slowly fill back up in the weeks after it empties. Usually, it just slowly grows in size until it is discovered.

Rarely, a ranula can spontaneously go away without any treatment but usually a procedure will be needed to treat the problem. Simple drainage of the fluid collection rarely permanently fixes the problem as the diseased gland continues to leak saliva.

What are the Potential Complications of This Treatment?

Our percutaneous treatment is safe and effective. The only common side effect of treatment is mild painless swelling in the treated area for several days after treatment. Patients can eat normally immediately after the procedure and as there are no incisions or stitches, no wound care or dressings need to be managed.

Sometimes, the ranula is not completely cured with one treatment and a second treatment is necessary. Rarely, the diseased gland resists the medication injections and continues to leak saliva necessitating referral to an experienced surgeon for traditional surgical removal.

While our percutanous procedure is very safe, all treatments carry risks. The only serious risk that can occur with alcohol injection under the mouth or chin is injury to a nearby nerve which can result in temporary muscle weakness in the area in rare cases (2-3%).

What is the Outlook for Patients With a Ranula?

Ranulas are benign fluid collections near the mouth which can be effectively treated with our percutanous treatment but also with traditional surgical approaches. Both appraches offer permanent removal of the ranula and resolution of symptoms. We feel our percutanous approach offers a less invasive treatment for this benign condition.

When Should I See a Doctor?

If a ranula is suspected as there is a 2-3 inch diameter soft swelling under the tongue or chin medical attention with the child’s medical provider should be obtained.  If the diagnosis is felt to be a ranula based upon their examination and imaging tests treatment can then be sought from specialists such as interventional radiologists or surgeons.

(04/05/2021)
by Nationwide Childrens

More Information: https://www.nationwidechildrens.org/conditions/ranula#:~:text=is%20a%20Ranula%3F-,A%20ranula%20is%20a%20fluid%20collection%20or%20cyst%20that%20forms,the%20mouth%20which%20make%20saliva.

Views: 889
Share


My BEST Dentists Journal Headlines