My BEST Dentists Journal

All Journal Entries
Share

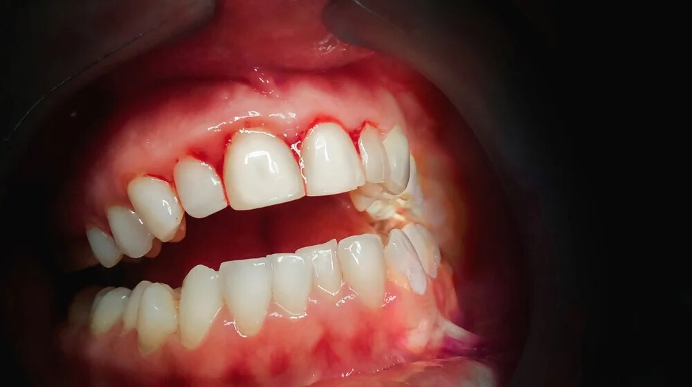
Taking Care of Swollen and Bleeding Gums

Have you ever brushed or flossed a little vigorously only to see your gums bleed? Healthy gums usually recover quickly from mild trauma. If your gums remain swollen and bleeding for several days or longer, you may have underlying problems that need addressing.

Possible Causes of Bleeding Gums

Healthy gums are generally pink and firm to the touch. However, if your gums appear red, swollen or puffy, these could be signs of gum disease. The first stage of gum disease is gingivitis, the most common cause of gum issues in adults. A 2012 Australian Government Department of Health report on Dental Health states that moderate or severe periodontitis (gum disease) is present in 22.9% of the Australian population.

Gum disease is not the only cause of swollen or bleeding gums, however. Other causes include:

Bleeding disorders

Pregnancy and hormonal changes in women

Wearing dentures that don’t fit properly

Brushing too hard

Incorrect flossing

Chemotherapy

Blood thinner medication

Preventive Measures

Gum problems can affect anyone, but it’s good to know that proper oral hygiene helps prevent swollen, and bleeding gums. To maintain good oral hygiene, make sure you brush for a good two minutes at least twice a day, and floss at least once a day.

To brush your teeth correctly, use short, gentle strokes and pay extra attention to the gumline, your back teeth and any fillings, crowns or restorations you have; and consider using a soft-bristled toothbrush.

Start a flossing routine once an evening before you go to bed. Proper flossing between the teeth, curving the floss around the tooth in a “C” shape and gently moving it up and down as well as under the gumline is essential. Make sure you use a new section of floss for each tooth, so you’re not transferring plaque from tooth to tooth. As flossing helps to remove plaque bacteria and food debris, it’s a vital preventative step in avoiding gum disease.

Treatment

The best treatment for gingivitis is a professional dental scale and clean to remove tartar and plaque. If you have swollen or bleeding gums, book an appointment with your dental health professional as soon as possible. Only your dental health professional can assess your teeth and gums and offer the correct advice and possible treatment.

(01/18/2023)
by Colgate

More Information: https://www.colgate.com.au/oral-health/adult-oral-care/taking-care-of-swollen-bleeding-gums

Views: 493
Share


My BEST Dentists Journal Headlines