My BEST Dentists Journal

All Journal Entries
Share

The 5 Classifications of Tooth Luxation

Protecting your family’s teeth from injury should always be a priority, but a mishap like a sports injury, a car accident or a fall sometimes happens. It’s also important to keep in mind that not all tooth-related injuries involve a broken or missing tooth.

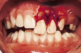
Tooth luxation is the dislodgement of a tooth, sometimes invisibly, that occurs when trauma disrupts the ligaments and tissues holding the tooth in place. It may also affect the nerve and blood supply to the tooth. The Association of American Endodontists (AAE) notes that depending on the direction and force of the impact, a luxation will fall into one of the following five classifications.

1. Concussion

The AAE explains that when the periodontal ligaments that hold a tooth in place are injured, but the tooth is neither displaced nor movable, the luxation is described as a concussion. A concussed tooth is usually tender when tapped. Besides taking X-rays, the treating dentist will do a pulp sensibility test. A positive test means the pulp is still vital, while a negative result can be a sign that the pulp will not heal properly.

Usually treatment is not necessary, but your dentist will want to monitor your pulp for at least a year, writes the International Association of Dental Traumatology (IADT). Home care instructions consist of eating soft foods, careful brushing and rinsing with a chlorhexidine rinse.

2. Subluxation

The IADT describes subluxation as a tooth that is mobile but not displaced. There may be bleeding around the gumline and the tooth is sensitive to the touch. X-rays usually show no abnormalities, but pulp tests can indicate damage that may eventually heal.

No treatment is needed, but clinical exams and follow-up X-rays are recommended. However, if you have pain when biting or chewing, a flexible splint can help stabilize the tooth.

3. Extrusive

If a tooth is extremely mobile and has an elongated appearance, it is classified as an extrusive luxation, explains the IADT. While the tooth has moved because of some separation of the periodontal ligament, the bony socket itself is intact.

The dentist will clean any exposed root surface with a saline solution and then gently reposition the tooth in its socket, and may stabilize it for a couple of weeks with a flexible splint. A root canal may be needed to save the tooth if the pulp becomes necrotic, or dead and decayed.

4. Lateral

A lateral luxation involves a fracture of the alveolar bone (the ridge of your jawbone that holds your teeth) and separation of the periodontal ligament, the IADT describes. The tooth is immobile, but appears to be pushed either forward or backward. A high-pitched metallic sound is heard when the tooth is tapped and usually the pulp tests are negative.

The dentist will disengage the tooth from the bony socket and reposition it with forceps. The Journal of the Canadian Dental Association writes that a flexible splint is required for four weeks for stabilization, and the pulp will need continual monitoring. If the pulp doesn’t heal, root canal treatment will be necessary to prevent root resorption.

5. Intrusive

With an intrusive luxation, the tooth is pushed upward into the socket, resulting in a fracture to the alveolar bone. The tooth doesn’t move and has the high-metallic sound when tapped as with the lateral luxation. X-rays commonly show no periodontal ligament space, and the pulp test is usually negative, according to the IADT.

Whether the tooth is a mature permanent tooth or one with undeveloped roots, the dentist may choose to allow it to move into place spontaneously without intervention. However, a tooth pushed into the socket more than 7 millimeters may need surgery and orthodontic treatment, followed by a flexible splint worn for four weeks. The IADT also recommends root canal therapy, with temporary filling material, two to three weeks after the tooth is repositioned.

The goal of tooth luxation treatment, regardless of classification, is to stabilize the tooth and monitor and maintain the health of the pulp. It’s important to see your dentist immediately after an injury to a tooth and to follow their instructions for recovery and follow-up appointments. Keep in mind that prevention is still the best medicine, and many sports-related injuries can be prevented by wearing a mouth guard and other safety equipment.

(04/27/2021)
by Beddington Dental

More Information: https://beddingtondentalclinic.com/the-5-classifications-of-tooth-luxation-0318/

Views: 966
Share


My BEST Dentists Journal Headlines