My BEST Dentists Journal

All Journal Entries
Share

The True Cause of Tooth Decay

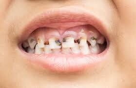
Mouth bacteria consume the same things you eat, and create acidic excretions. (Yes, mouth bacteria poop acid, if you want to look at it that way.) Those acids, in turn, do what all types of acid do: corrode softer materials. In the case of your mouth, acids leach minerals from your tooth enamel and leave soft spots of demineralization on the teeth. If we can catch those soft spots early enough, we apply fluoride to strengthen and remineralize the tooth. If we don’t find your soft spots and treat them, they may eventually create a hole, or cavity, in the tooth.

Bacteria are not the only cause behind an acidic mouth environment, incidentally. Acidic foods and beverages can also play a role in enamel damage. If you drink lemonade all day long, you might find your teeth starting to erode, or wear down, at the edges. Pool water and stomach acids in the mouth also have a weakening effect on tooth enamel.

Prevent Tooth Decay: “Do Not Feed the Animals”

When it comes to the harmful bacteria in your mouth, the best way to prevent them from doing their dirty work is to starve them as much as possible. Do not give them the food sources that cause the acidic excretions that dissolve tooth enamel. Mouth bacteria thrive on starchy and sugary food residues. If you can keep those off the teeth, you’ll stay ahead of the game.

This does not mean you need to start brushing your teeth after every meal or snack. Over-brushing your teeth can be harmful to your gums and tooth enamel. Instead of brushing away food residues constantly, consider these alternate strategies to “starve” mouth bacteria:

Don’t let sugars and starches sit on the teeth for long periods of time.

Drink water and sugarless beverages frequently, to rinse food residues from the mouth.

Chew sugarless gum after starchy and sugary foods. This stimulates saliva and helps remove residues.

Eat foods that bacteria aren’t interested in: vegetables and fruits.

Eat foods that clean the teeth after less mouth-healthy foods. Eat a crunchy apple after your potato chips and it will help remove the starchy residue.

Plaque and Calculus

You probably know that plaque is the sticky biofilm that develops on the teeth after you consume food and beverages. If you don’t clean plaque from the teeth regularly, it may even feel fuzzy on your teeth, as though your enamel is growing moss. You can successfully remove plaque from the teeth with a toothbrush, but any spots of plaque that don’t get brushed away may harden into tartar (calculus). This calcified form of plaque can develop in as little as 48 hours. Once it hardens, it is no longer water-soluble and can only be removed at the dentist’s office during a dental cleaning. That’s why it’s important to brush the teeth thoroughly every single day. When tartar forms on the teeth, it offers another food source for bacteria, and a cavity may soon follow.

Key Take-Aways on Tooth Decay

Ultimately, most of us understand the importance of limiting sugary and starchy foods and beverages to prevent bacteria from feasting in our mouths. The longer you leave bacteria-friendly residues on the teeth, the more acidic your mouth environment will be and the greater your risk of tooth decay. As we approach candy season (Halloween), you can take advantage of this knowledge to change how you and your family consume your favorite sweet treats.

It’s best to eat only a few pieces of candy at a time. If the mouth environment stays acidic for hours on end, you increase the risk of tooth decay.

Give your mouth long periods of time without sugar to neutralize bacterial acids with saliva or neutral beverages (water, milk).

Drink plenty of water when consuming Halloween candy.

Work in some mouth-healthy (vegetables and fruits) foods between candies to remove excess sugary residues.

Don’t eat candy just before bed. It may be too difficult to brush away sugary residues before your saliva gets the chance to rinse them away.

(03/23/2022)
by Walnut Pond

More Information: https://walnutponddmd.com/the-true-cause-of-tooth-decay/

Views: 719
Share


My BEST Dentists Journal Headlines