My BEST Dentists Journal

All Journal Entries
Share

Three Cosmetic Effects Of Dental Erosion

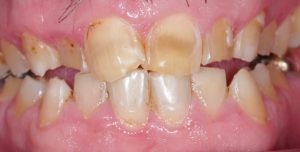
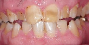
Your tooth enamel is the toughest substance in your whole body, but it's not invincible. Tooth enamel can become worn away by dietary acids (like sodas or juices) or stomach acid, resulting in dental erosion. The American Dental Association explains that acid erosion can make your teeth more susceptible to decay; however, it can also lead to changes in the appearance of your smile that may make you feel self-conscious.

Here are three cosmetic consequences of eroded teeth. Don't worry too much though; it's treatable and preventable!

1. Discolored Teeth

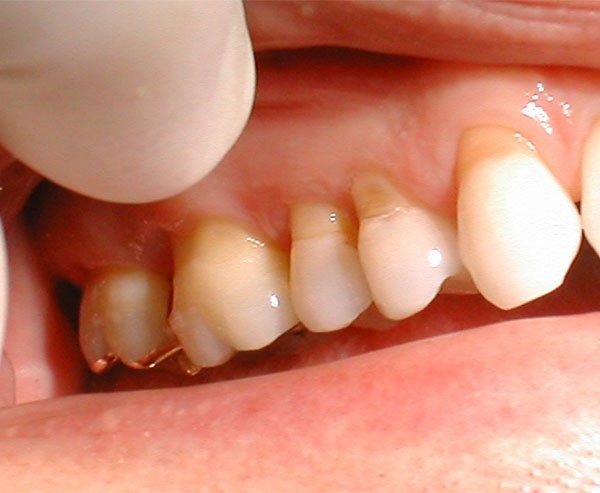
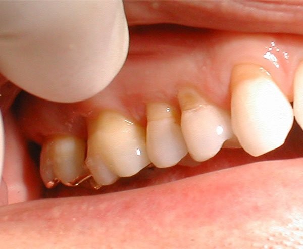
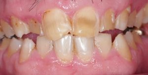
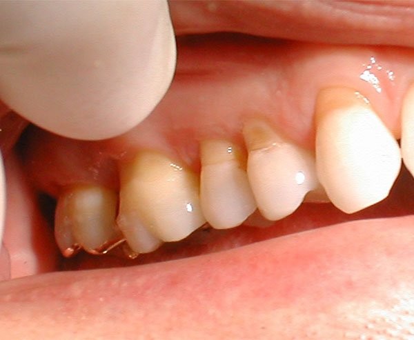
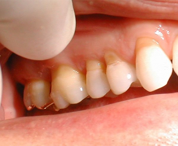
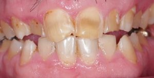
Discolored, yellow teeth are a clue that your enamel is being eroded. Your enamel is white, but the tissue underneath the enamel – the dentin – is pale brown. As the enamel thins due to acid erosion, more of the dentin's color will show through, which gives your teeth a yellow appearance.

2. Translucent Teeth

Normally, teeth should be opaque, but if you're experiencing enamel erosion, you may notice that the edges of your front teeth are becoming translucent. Enamel is a semi-translucent substance, but if it becomes worn and thin due to acid, more light is able to pass through it.

3. Rounded Teeth

A change in the shape of your teeth is another possible sign of enamel erosion. You may notice that your teeth look shorter or more worn down, and you may notice that the edges of your teeth are rounded. These shape changes are caused by the loss of your enamel.

Treatments for Dental Erosion

While the cosmetic effects of dental erosion can be unpleasant, your dentist can help you restore the look of your smile. If the erosion is minor, your dentist may recommend strengthening your remaining enamel with a remineralizing toothpaste.

If the damage is more severe, restorations like dental bonding may be used. Dental bonding is a tooth-colored resin that your dentist can apply to your damaged enamel to restore its appearance. It can also be used to change the shape of your teeth and make them look less rounded.

If your enamel is severely damaged, your dentist may recommend crowns. Crowns are restorations that cover the entire tooth, so they'll hide severe cosmetic problems. Once crowns are in place, no one will know that your teeth were previously severely damaged by acid erosion.

Prevention

To help prevent future erosion, your dentist may recommend making some changes to your eating habits. For example, when you have an acidic snack, like an orange, wash it down with plenty of water to dilute the acid. When you want to have a carbonated soft drink, have some water instead to save your teeth from the drink's acidic effects.

Depending on the cause of your dental erosion, you may require further treatment from your family doctor. This may be the case if your tooth erosion is linked to stomach acid exposure, which could indicate a condition like gastroesophageal reflux disease (GERD) or bulimia.

Dental erosion can have a big effect on the look of your smile, but it can be treated by your dentist.

(03/20/2021)
by Colgate

More Information: https://www.colgate.com/en-us/oral-health/threats-to-dental-health/three-cosmetic-effects-of-dental-erosion

Views: 789
Share


My BEST Dentists Journal Headlines