My BEST Dentists Journal

All Journal Entries
Share

Three Symptoms That Are Obvious Signs You Have Gum Disease

It’s not always easy to tell what’s going on with our bodies, especially our mouths. Various aches and pains can come and go within a day, while some symptoms linger for weeks or months. How do we know when it’s time to be concerned about symptoms we are experiencing? In general, if it hurts too much to do daily activities, or if the pain goes on for an extended period, it’s time to see a professional.

When it comes to diseases of our mouths, however, you may not want to wait until you have symptoms that don’t go away. That’s because untreated gum disease leads to much more severe issues like gingivitis or worse.

What is gum disease?

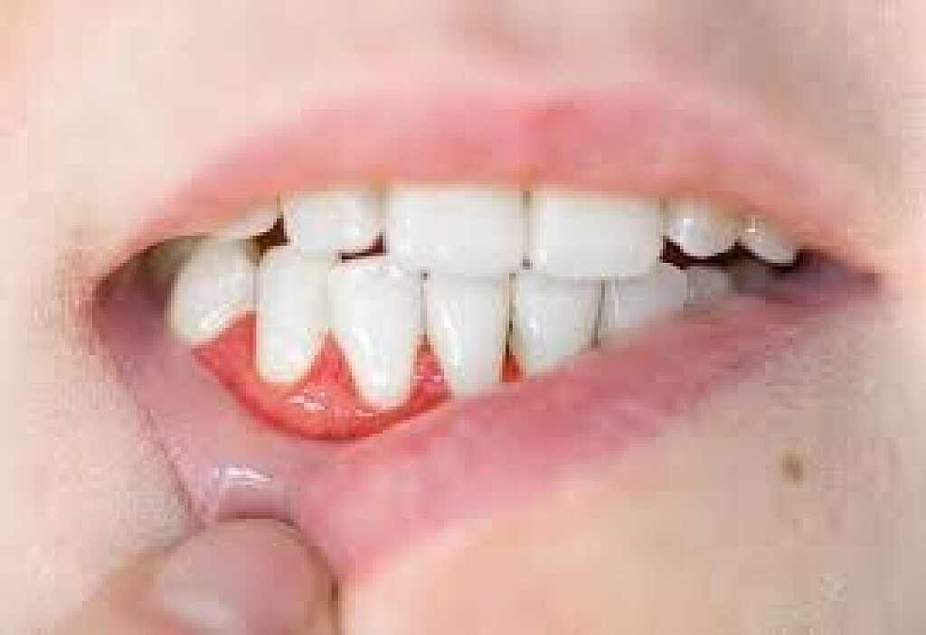
Gum disease is an infection of the mouth caused by plague left on our teeth. If left untreated, gum disease can lead to tartar. Only a dentist can remove tartar build-up. Additionally, advanced stages of gum disease can turn into gingivitis, and eventually periodontist. A periodontist is an advanced stage of gum disease which can cause bleeding, swelling, and loss of teeth.

Red or swollen gums. Swollen and red gums are a good indication of gum disease. If your swollen gums are tender and sensitive to the touch, this may be another indication of disease.

Bleeding gums. Do you notice pink in the sink when you brush or floss your teeth? Bleeding gums is a sign of gum disease and shouldn’t be ignored.

Loose teeth. Can you wiggle your teeth? That is not normal. Loose or shifting teeth, unless you’ve recently experienced trauma, is a sure sign of gum disease. In fact, periodontal disease is the number one reason for loose teeth.

How can I prevent gum disease?

There is a multitude of reasons why you have gum disease. Here are a few reasons that may contribute to your gum disease.

Don’t smoke or use tobaccos. Tobacco is a well-known factor to a myriad of health problems. Not only does smoking cause cancer and lung and heart disease, but it’s also responsible for mouth and gum disease.

Do brush and floss regularly. Gum disease is caused by plaque buildup. Brushing and flossing help to remove this plague, and keeps your mouth healthy.

Do eat right. Avoid surgery foods and drinks, and stock up on fruits and vegetables. Also, be sure to get enough calcium to keep your teeth strong.

Do see the dentist. In addition to regular brushing and flossing, periodic visits to the dentist help control plaque. Also, the dentist will be able to detect early warning signs of gum and other diseases.

What else should I know?

It’s good to remember that even if you don't notice any symptoms, you may still have some degree of gum disease. Additionally, in some people, gum disease may affect only some teeth, such as the molars. Only a dentist can recognize and determine if you have gum disease.

(04/09/2023)
by Oral West Dental

More Information: https://www.coralwestdental.com/blog/3-symptoms-that-are-obvious-signs-you-have-gum-disease

Views: 440
Share


My BEST Dentists Journal Headlines