My BEST Dentists Journal

All Journal Entries
Share

Tooth Enamel Erosion

What is tooth enamel?

Enamel is the thin outer covering of the tooth. This tough shell is the hardest tissue in the human body. Enamel covers the crown which is the part of the tooth that's visible outside of the gums.

Because enamel is translucent, you can see light through it. But the main portion of the tooth, the dentin, is the part that's responsible for your tooth color -- whether white, off white, grey, or yellowish.

Sometimes coffee, tea, cola, red wine, fruit juices, and cigarettes stain the enamel on your teeth. Regular visits to your dentist for routine cleaning and polishing can help remove most surface stains and make sure your teeth stay healthy.

What does tooth enamel do?

Enamel helps protect your teeth from daily use such as chewing, biting, crunching, and grinding. Although enamel is a hard protector of teeth, it can chip and crack. Enamel also insulates the teeth from potentially painful temperatures and chemicals.

Unlike a broken bone that can be repaired by the body, once a tooth chips or breaks, the damage is done forever. Because enamel has no living cells, the body cannot repair chipped or cracked enamel.metimes coffee, tea, cola, red wine, fruit juices, and cigarettes stain the enamel on your teeth. Regular visits to your dentist for routine cleaning and polishing can help remove most surface stains and make sure your teeth stay healthy.

What are the environmental causes of tooth surface erosion?

Friction, wear and tear, stress, and corrosion (or any combination of these actions) can cause erosion of the tooth surface. More clinical terms used to describe these mechanisms include:

Attrition. This is natural tooth-to-tooth friction that happens when you clench or grind your teeth such as with bruxism, which often occurs involuntarily during sleep.

Abrasion. This is physical wear and tear of the tooth surface that happens with brushing teeth too hard, improper flossing, biting on hard objects (such as fingernails, bottle caps, or pens), or chewing tobacco.

Abfraction. This occurs from stress fractures in the tooth such as cracks from flexing or bending of the tooth.

Corrosion. This occurs chemically when acidic content hits the tooth surface such as with certain medications like aspirin or vitamin C tablets, highly acidic foods, GERD, and frequent vomiting from bulimia or alcoholism.

What are the signs of enamel erosion?

The signs of enamel erosion can vary, depending on the stage. Some signs may include:

Sensitivity. Certain foods (sweets) and temperatures of foods (hot or cold) may cause a twinge of pain in the early stage of enamel erosion.

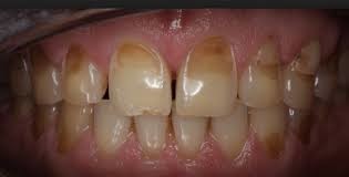
Discoloration. As the enamel erodes and more dentin is exposed, the teeth may appear yellow.

Cracks and chips. The edges of teeth become more rough, irregular, and jagged as enamel erodes.

Severe, painful sensitivity. In later stages of enamel erosion, teeth become extremely sensitive to temperatures and sweets. You may feel a painful jolt that takes your breath away.

Cupping. Indentations appear on the surface of the teeth.

When enamel erodes, the tooth is more susceptible to cavities or tooth decay. When the tooth decay enters the hard enamel, it has entry to the main body of the tooth.

ow is tooth enamel loss treated?

Treatment of tooth enamel loss depends on the problem. Sometimes tooth bonding is used to protect the tooth and increase cosmetic appearance.

If the enamel loss is significant, the dentist may recommend covering the tooth with a crown or veneer. The crown may protect the tooth from further decay.

(04/04/2021)
by Web MD

More Information: https://www.webmd.com/oral-health/guide/tooth-enamel-erosion-restoration

Views: 988
Share


My BEST Dentists Journal Headlines