My BEST Dentists Journal

All Journal Entries
Share

Treatment Of Damage Teeth After A Facial Trauma

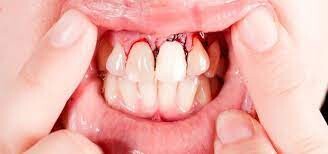
Trauma to the face often results in damage to the teeth, the soft tissue of the gums, and the hard tissues supporting the teeth and gums (bone of the jaws).  Tooth damage may involve fracture of the visible part of the tooth known as the crown, or fracture of the root of the tooth beneath the gum margin. The treatment of tooth injuries is dependent on several factors:

whether the fracture involves only the enamel,

both the enamel and dentine,

all the tooth structures including enamel, dentine and the pulp of the tooth,

if a root fracture is present below the gum line.

A dentist must check any damage to a tooth both clinically and using X-rays as soon as possible after the injury has been sustained to ensure no unseen root fracture is left undiagnosed and untreated.  Later treatment is liable to lead to tooth loss.

Sometimes teeth are not damaged themselves but due to the heavy impact of the injury the tooth is moved within the bone.

Sometimes a tooth may simply be loosened in the bony socket known as a subluxation injury,

alternatively, the tooth may be pushed deeper into the socket or partially removed from the socket. We refer to these as intrusion or extrusion injuries.

A tooth may be completely lost from the socket known as an avulsion of the tooth.

If the tooth remains attached to the bone supporting it and there has been a heavy impact on the tooth, it may move with the bone fragment as a result of a fracture of the bone. These horizontal movement injuries of the tooth attached to supporting bone are referred to as Lateral Avulsion injuries.

All these different degrees of injury have specific treatment indicated for them and it is extremely important to go directly to see a dentist for immediate assessment of the injury to give the tooth the best chance of healing and being retained.  This is especially true for young children.

Treatment: SUBLUXATION – tooth loosened in the socket:

Occlusal vertical and lateral loading must be relieved.  A watch and wait policy should be adopted.  The tooth may firm up and suffer no long term effects but sometimes such teeth discolour.  This is a sign the pulp tissue within the root canal system has died and the darkening is due to the absorption of blood pigment into the dentine.  Such teeth must be carefully assessed and are likely to require root canal therapy.

Treatment: INTRUSIVE LUXATION – tooth intruded into the socket causing a crush injury at the root tip:

Immediate repositioning is recommended and a rigid splinting should be provided for 6 weeks as such injuries are usually accompanied by an alveolar fracture hence bone healing must be allowed to take plan without any movement of the tooth or the bone fracture.  Antibiotics are prescribed but tetanus is not usually an issue.

Mature permanent teeth need to be treated by root canal therapy in all cases.  Immature teeth with open root tip can be observed and followed up and if the tooth discolours or if signs of infection are noted, appropriate root canal treatment should be started.

If the tooth cannot be pulled out of the socket back into normal position immediately, orthodontic repositioning must follow later.  However over 50% of such teeth suffer root resorption following healing (where the root is eaten away).

Death of the pulp tissue occurs in nearly all mature teeth with closed root tips.

Treatment: EXTRUSIVE LUXATION – tooth is partly extruded from the socket remaining in the correct longitudinal axis:

Immediate tooth repositioning is indicated pushing the tooth back into the socket to its fullest extent.  Flexible splinting is indicated for 2-3 weeks.  Antibiotics may be required but usually tetanus is not an issue.  Follow up is indicated clinically and radiographically for 5 years.

The pulp tissue within the root canal dies in 65-100% of cases and root resorption occurs in just under 10% of cases.

Treatment: AVULSION – Tooth completely dislodged from its socket:

Gently wash the tooth in normal saline or milk removing contaminants alone while avoiding rubbing the root surface as vital periodontal ligament cells will remain.  Hold the tooth by the crown and never handle the roots.  Replace the tooth back in the socket the right way round before the blood clots as any delay will mean that complete seating back into the socket will not be achieved.

If the tooth cannot be replaced for whatever reason, store the tooth in the patient’s mouth in their saliva but avoiding biting the tooth as this will damage the periodontal ligament cells.  If the patient is unwilling to place the tooth in their mouth or if the patient is a child who may swallow or inhale the tooth, place it in milk.  Do not delay seeing a dentist for professional treatment.

Once the tooth is returned to the socket, check the tooth is correctly placed by gently closing the teeth together to make sure the tooth is not preventing correct closure.

Avulsed teeth must be rigidly splinted in place for 10 days ONLY then the splint must be removed.

When a tooth falls out, it may become infected by bacteria and this may lead to infection when the tooth is replaced.  For this reason antibiotics should be provided.  There is also the risk of tetanus infection and for this reason the dentist or doctors must consider the patient’s tetanus immunisation status and determine if a booster is indicated.

If the dislodged tooth is a mature permanent tooth, it is necessary to start root canal therapy before day 10 while the tooth remains splinted in place.  The root canal is dressed with calcium hydroxide or a root canal dressing material called Ledermix three times for periods of 3 months.  Each time the tooth must then be cleaned out, dried internally and redressed.  Finally the tooth is again cleaned out, dried and a permanent root filling may be placed into the root canal of the tooth.

Follow up X-rays should be taken of the tooth every year for the next 5 years and then every 2-5 years to check for any changes that may indicate the root is failing.

The chance of the tooth tissue in the root dying if not treated in this way is almost 100%.

Even after correct treatment, the root of the tooth may be eaten away, a process we refer to as root resorption.  This is common after such an injury and affects between 74-96% of avulsed teeth (many factors influence this outcome including the time out of mouth, storage medium used, root handling)

Treatment: LATERAL AVULSION – tooth moves in a horizontal direction – often the crown moves back while the root tip move forward damaging the bone over the front of the root):

In this case the tooth may appear to have moved in the jaw.  Usually a fall results in impact on the crown of the tooth that appears to move backwards but the roots of the tooth move forward as the tooth rotates about the centre of the root.  This forward movement of the root breaks the bone over the front of the root and can result in several small sharp bony fragments existing over a forward placed root and the gum can either remain in tact or it may be lacerated and torn.

One can very gently feel with a finger over the root of the tooth and an abnormal shape will be felt.  There may even be a feeling of small sharp fragments of bone present under the gum covering.  If lacerations are seen in the gum, then these must be closed.

Usually these small bony fragments remain attached to the periosteum surrounding the bone.  This is a thin tissue with a rich blood supply that nourishes the bone and keeps it alive.  As a result the bone tends to survive such injuries and repairs like a normal bone fracture.

The aim of initial dental emergency treatment must be to gently replace the bone fragments into their former positions and at the same time the forward placed root should be guided back into its correct position but this always required an anaesthetic (either local or general).   Some force is usually necessary by holding the crown of the tooth and manipulating the tooth by rotating it back into position.  After repositioning, it is important to prevent any movement of the bone fragments or the tooth during healing.  Immediate attendance at a dentist to receive local anaesthetic is therefore essential to allow this repositioning procedure.

A splint is then required, and in this case the bone takes 4-6 weeks to heal and for reparative bone to form around the fractures.

Antibiotics are best given to prevent any post-trauma infection.  Unless the fracture is associated with lacerations and contamination of the wounds, it is unlikely that tetanus will be an issue.

Root canal therapy is not indicated unless the tooth discolours or signs or symptoms of infection arise.

Regular radiographic and clinical review is indicated for 5 years.

The risk of the pulp tissue within the root canal dying is around 60% while root resorption has been reported in under 10% of such teeth.

(04/22/2024)
by NQ Surgical Dentistry

More Information: https://nqsurgicaldentistry.com.au/treatment-damaged-teeth/

Views: 380
Share


My BEST Dentists Journal Headlines