My BEST Dentists Journal

All Journal Entries
Share

Understanding Molar Bands?

What are molar bands?

How do the bands work? 

Do molar bands have more advantages or disadvantages?

You might have all these questions while searching for the treatment to straighten your teeth and align your bite. Here, we have brought a quick guideline that will help you to determine the essential information about molar bands.

Read through the articles to know everything about molar bands. 

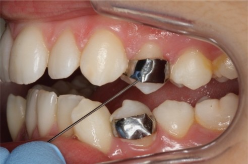
Molar bands, also known as orthodontic bands, are rings that are outfitted around your molars (back teeth) when constructing a set of braces. They are used in orthodontics to fit firm support to the archwire that runs along the braces’ span. 

The bands are generally made of metal or stainless steel, making them long-lasting and relatively easy to fit into a tooth. Orthodontists can also combine other brace parts made of steel or metal to molar bands for strong support. While molar bands are typically used with braces, only selected people will require them. 

Your dentist might recommend molar bands if there is a sizable gap between your molars. Also, it will be helpful if you need to realign your bite by straightening your teeth. Further, molar bands are a more suitable choice where a bracket on back teeth can easily tear when biting.

Molar bands are usually advised for people who have had corrective jaw surgery. In this situation, molar bands eliminate the risk of broken brackets, and the doctor can attach a surgical splint to these bands. Plus, orthodontists suggest molar bands in children whose teeth have not completely grown since the bands can go slightly under the gum. A molar band can be helpful to correct jaw growth or have large fillings.

How molar bands applied?

Your orthodontist will place elastic separators or spacers between the back teeth before applying the band.

You need to wear the separators for some time (ranging from a few hours to days). This will slightly separate your teeth and form room for each molar band. Your teeth might feel a bit tender once you get your spacers as they are moving your teeth.

When you return to the clinic, your dentist will place each molar band around a molar tooth and grasp it with a bonding agent. Having a band set around your molar is not usually painful; it also does not cause any discomfort. However, sometimes some patients feel minor pain due to soreness.

The soreness around your teeth or gums after getting a molar band is temporary and subside with time. When you get braces, you should follow up with your orthodontist regularly. Do not forget to mention the details of any discomfort while you visit your orthodontist.

However, what if you feel pain after getting molar bands?

Let’s look at the best way to alleviate pain induced by molar bands?

The first thing you should do is to avoid hard, crunchy foods such as popcorn, hard candy, ice, etc.. Instead, opt for soft foods to not injure the site to get pain. 

Take pain relievers. Over-the-counter pain relievers such as ibuprofen (Advil) can reduce inflammation. But, strictly follow your doctor’s guidelines and take medicine as directed.

Besides, you can also apply a topical oral pain reliever directly to the site of pain i.e., sore gums or teeth. Use soft wax to dental bands to relieve discomfort from bands rubbing against your gums. 

What are the advantages of molar bands?

Sometimes orthodontists choose to use brackets to anchor archwires in place. The brackets’ design makes it easier to brush and floss between the molars, resulting in improved dental hygiene.

Nevertheless, orthodontists oftentimes prefer to use molar bands due to their sturdiness that is not likely to loosen over time.

Another advantage is that orthodontists can attach additional parts to molar bands, like appliances that extend or reposition the upper or lower jaws.

Are there any downsides of molar bands?

One drawback of using molar bands is the increased risk of tooth caries. Since a molar band fully encompasses the tooth, it will be much more difficult to brush or floss where you have applied the molar band. A cavity can occur if food becomes stuck between the tooth and the molar band. To stop this from happening, most orthodontists use glues with fluoride to reduce the risk of decay.

Undoubtedly, the downsides of molar bands are easily manageable. If you really want to straighten the teeth and align the bite, the benefits clearly outweigh the drawbacks.

All in all, molar bands are useful to reduce the sizable gaps between the teeth and straighten the teeth. Since most of the people are concerned about their facial appearance and smile, molar bands are used as a restorative dental treatment. Consult the best orthodontist to get the molar bands and enhance your smile and improve teeth structure.

If you are looking for orthodontics Roswell GA, you have landed at the right spot. TruCare Dentistry provides a wide range of orthodontics dental care to improve your appearance and smile. Also, we offer comprehensive dental treatment from cosmetic to TMJ disorder and all kinds of dental problems. With us, you will get the best dental care to maintain optimal oral health.

(05/30/2021)
by Tru Care Dentistry

More Information: https://www.trucaredentistry.com/blog/know-everything-about-molar-bands/

Views: 966
Share


My BEST Dentists Journal Headlines