My BEST Dentists Journal

All Journal Entries
Share

What Are Periodontal Pockets?

If you have a healthy mouth, you're probably not used to thinking about your gums. They fit snugly around your teeth and don't cause you pain or any other issues. But when the distance between your gum tissue and your teeth starts to widen in depth, it's a sign of gum disease. Gum disease can lead to deeper spaces around your teeth called periodontal pockets, and if untreated, these gum pockets can lead to tooth loss. But with early diagnosis and treatment, you can keep your teeth for a lifetime! Let's go over how periodontal pockets form, how they're diagnosed, your treatment options, and preventive measures you can take at home.

How Does a Pocket Form?

When the bacteria in your mouth is not regularly cleaned out, it will lead to the buildup of plaque (biofilm) on your teeth, especially around the edges of where your gums attach around the neck of your tooth. If not removed, this plaque eventually hardens into tartar, which you can't brush off on your own. You'll need a dentist or dental hygienist to remove it during a professional cleaning appointment. When left untreated, the toxins from bacteria will ultimately continue to adhere to your hardened tartar and cause inflammation in your gum tissue. This will create a condition referred to as gingivitis, the first stage of periodontal disease.

Inflammation and swelling due to plaque and tartar can result in pocket formation between your gums and teeth. As it pulls away from your teeth, your inflamed gum tissue is now the perfect place for more plaque and tartar to hide, deepening the pocket and threatening the health of the bone around your teeth. You can think of this phenomenon as a turtleneck sweater that begins to stretch out around your neck.

Diagnosing Periodontal Disease

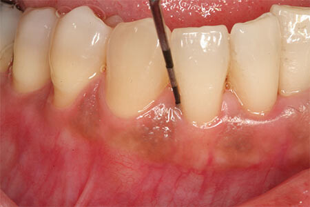
Suppose you're experiencing any warning signs of gum disease, such as bad breath, bleeding, red and swollen gums, or receding gum tissue. In that case, it's imperative to have your dental professional examine your mouth. Beyond a visual assessment of your gum tissue, your dental professional will measure the pocket depth around each of your teeth with a periodontal probe. This allows them to determine the presence of periodontal disease and how far it has progressed.

Did you know that a dental professional can probe six different sites around your tooth during a periodontal examination? The National Institutes of Dental and Cranial Research (NIDCR) defines periodontal disease parameters as a tooth with at least one periodontal site with a pocket that's 4 millimeters or more in depth and 3 millimeters or more in attachment loss. When the tissue that attaches the gum to the tooth breaks down, the gum will recede, and bone support of the tooth is lost, causing teeth to become loose.

How to Eliminate These Pockets

Like many oral health issues, the first step in treating gum disease is to see your dental professional and have your teeth professionally cleaned. Also referred to as scaling and root planing, by removing the tartar and plaque buildup, this cleaning gives your gums a chance to tighten again around your teeth. If you have no significant bone loss, this may be the only treatment you need. However, in cases where deep pockets in your gums remain, your dental professional could recommend surgical treatment to stabilize your periodontal condition.

Beyond scaling and root planing, another nonsurgical treatment is to use topical or oral antibiotics to get your bacterial infection under control. If you require more advanced treatment, several types of surgery can remove infection and reduce your gum pockets. These include flap surgery, soft tissue grafts or bone grafts, and guided tissue regeneration.

Home Care for Prevention

Periodontal disease is very preventable. By keeping up with regular dental visits and a consistent home-care routine, you're doing everything you can to mitigate your chances of developing periodontal pockets. Healthy gums have a shallow pocket that is easy to keep clean, measuring only one to three millimeters in depth. Here's how you can keep your gum pockets shallow and easy to clean:

Use a soft-bristled toothbrush to clean your teeth twice a day, brushing carefully around your gumline where plaque tends to accumulate.

Replace your toothbrush every three to four months or when you see the bristles start to wear.

If your mouth tends to build up tartar quickly, use tartar-control toothpaste.

Cleaning between your teeth once a day is as important as brushing to prevent gum disease. You can use floss, a water flosser, or another interdental cleaning tool.

Be sure to follow your dental professional's recommendation for professional cleanings and gum examination. They may recommend more frequent cleanings after treating a severe case of periodontal pockets.

Diagnosing and treating periodontal disease in its early stages can eliminate unhealthy periodontal pockets. Treatment will curb its effect before it progresses to severe bone loss. Luckily, there are plenty of at-home measures you can take to prevent periodontal disease. But if you do need treatment, there are several nonsurgical and surgical options. Regardless of whether you have a very early stage of gum disease or are at the point of requiring surgery, a lifelong commitment to a vigorous oral care routine will be imperative for your future smile!

(05/08/2023)
by Colgate

More Information: https://www.colgate.com/en-us/oral-health/gum-disease/what-are-periodontal-pockets

Views: 533
Share


My BEST Dentists Journal Headlines