My BEST Dentists Journal

All Journal Entries
Share

What Are the Main Causes of Dental Problems?

Maintaining proper dental and oral hygiene is an essential part of your overall health and well-being. Conversely, poor oral hygiene can lead to tooth decay, periodontal (gum) disease, alveolar bone loss, and ultimately tooth loss. Compromised oral health, especially for an extended period of time, has even been linked with an increased risk of developing other serious health conditions such as heart disease, cancer, and diabetes. With so much at stake, then, how can you protect yourself against the common pitfalls leading to such serious health issues? This article will help answer that question as we consider the most common causes of serious dental issues and how best to avoid them.

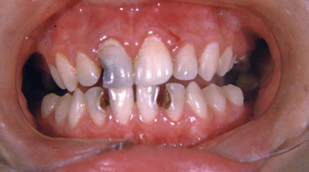
Tooth Decay – The ‘Silent’ Epidemic

The CDC notes dental cavities are the most common chronic disease among youth ages 6 to 19 and NBC reports an alarming 91% of American adults between 20 and 64 are affected by tooth decay. Sadly, too many people never even see it coming until it is nearly too late, even when their teeth had been trying to warn them for months. Tooth decay is the softening and eventual breakdown of your tooth enamel — the hard, protective outer layer of your teeth — and refers to the damage of the structure of the tooth caused by acids. This loss of tooth structure is known as acid erosion and occurs when plaque bacteria break down and digest carbohydrates (sugars) in your mouth. If this loss of minerals from the enamel is left untreated, a cavity (small hole in the tooth) can eventually occur. Without professional treatment, these holes tend to grow larger over time and eventually may end up destroying the entire tooth and surrounding tissue.

Main Causes of Tooth Decay and Gum Disease

Poor Oral Hygiene:  Not brushing your teeth regularly between meals allows a sticky film of bacteria known as plaque to form and build up on your teeth. When left untreated, irreparable damage may be caused to the enamel, and in time may ultimately lead to the permanent loss of gum tissue, bone, and teeth. That is why it is so important to brush your teeth regularly after every meal and floss at least once a day, in order to thoroughly remove all food particles and lingering sugars.

Plaque Formation:  When not removed on a regular basis, the plaque adheres to your teeth and continues to build up and harden over time, often turning into a more resistant substance called tartar. Also known as dental calculus, tartar is a crusty deposit that can trap stains on the teeth and cause discoloration. It creates a strong bond that can only be removed by a dental professional. Since sugar attracts harmful bacteria and lowers your mouth’s pH, it is therefore a major contributing factor to tooth decay and strongly recommended that one limits their intake of sugary snacks and drinks.

Plaque Bacteria and Acids: â€¯While most of us don’t like to think about or admit it, bacteria naturally live in our mouth and like to hide in our teeth and gums. When harmful bacteria digest the carbohydrates that linger inside the mouth, acid forms to remove essential minerals from the tooth enamel. This destructive process is called demineralization and leaves the tooth exposed to further damage such as a cavity or dental abscess.

Chronic Dry Mouth:  Thankfully our mouth has a natural line of defense for demineralization. Saliva helps to constantly reverse this damage by means of a natural process called mineralization. The minerals in your saliva, such as calcium and phosphate, in addition to fluoride from toothpaste and drinking water, help the enamel repair itself by replacing minerals lost during an “acid attack.” If you are prone to or experience dry mouth frequently, click HERE to read about the various remedies proven to alleviate this condition.

Poor Diet:  Frequent snacking on foods high in sugar increases the amount of time your teeth are exposed to the dissolving effects of various acids, which make them more susceptible to tooth decay and gum disease. Because of their high nutritional value and added teeth-cleaning benefits, some of the best foods to snack on are fresh fruits and vegetables, as well as calcium-rich foods to promote strong teeth and bones. Chewing on crunchy vegetables, such as carrots and celery, helps get the salivary juices flowing, which in turn helps wash away plaque-causing bacteria and food particles.

Smoking & Tobacco Use: Tobacco use in any form — cigarettes, pipes, and smokeless (chewing) tobacco — raises your risk for gum disease, including severe gum disease called periodontitis. In fact, smokers have twice the risk for gum disease compared with a nonsmoker. Smoking weakens your body’s immune system, thus making it considerably less effective in fighting off infections such as gum and tooth infections. Once you have gum damage, smoking also makes it harder for your gums to heal.

Medical Problems:  Some types of cancer treatment that expose the head and neck to radiation can promote a tooth cavity by changing the makeup of the saliva to promote increased bacterial growth.

Now that we’ve thoroughly covered the main causes of dental problems and how best to avoid them, we can better appreciate that maintaining healthy teeth and gums is a very essential, lifelong commitment. The earlier you learn proper oral hygiene habits — such as brushing, flossing, and limiting your sugar intake — the easier it will be to avoid costly dental procedures and long-term health issues in the future.

(07/28/2021)
by Dr Dalesandro

More Information: https://www.drdalesandro.com/what-are-the-main-causes-of-dental-problems/

Views: 792
Share


My BEST Dentists Journal Headlines