My BEST Dentists Journal

All Journal Entries
Share

What Are the Signs of Dental Implant Failure?

Dental implant treatment is applied to obtain aesthetics and function similar to the natural tooth in cases where the natural tooth cannot be treated. Implant is a combination of the Latin words in and planto, which means to place inside. The process of placing implant teeth is called implantation.

Dental implants are among the reliable restoration methods in the prosthetic treatment of congenital or acquired jaw disorders, which are placed in place of the lost tooth or teeth. Generally, dental implants consist of three parts: titanium body, abutment and a natural tooth-like crown.

Successful treatments performed by a dentist specialised in the field of prosthetic dental treatment, with the correct treatment planning, the patient’s compliance with the physician’s warnings during the treatment process and the quality materials used can be used for many years.

Conditions such as age, genetics, systemic and oral diseases, medications, smoking and alcohol use, nutrition, pregnancy, suitability of the jawbone for the application are among the patient-dependent factors and are evaluated separately by the dentist in treatment planning. Some precautions to be taken before implant treatment increase the success of the implant after early and long-term use.

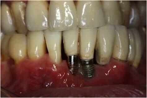
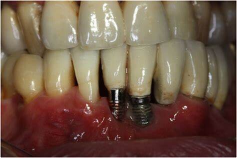
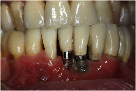
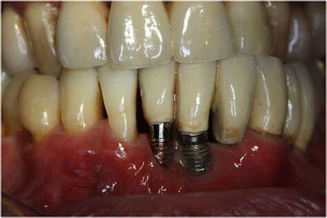
Symptoms frequently encountered in unsuccessful dental implant applications; severe and continuous toothache, infection and long-term swelling in the gums, movement of the implanted tooth to the extent that the patient can notice, inability to stay fixed in place, dislocation or fracture, gingival recession in the implanted area, difficulty and pain in biting, chewing functions, difficulty in speaking, numbness and tingling in the tongue and lips due to nerve damage caused by implants positioned at an incorrect angle close to the nerve, pain and infection due to damage to neighbouring teeth, allergic reaction to the material used.

Necessary treatments are applied to problems in the teeth, gums and jawbone caused by unsuccessful applications. If there is a loss of bone tissue, bone graft treatment is expected to be completed to improve the area. After the necessary healing process, implant treatment can be started again when the risk factors of various diseases are evaluated and the implant is ready for application.

Implant success and lifetime can be increased by taking into account the dentist’s recommendations on nutrition and oral care during and after the treatment process. After the treatment, the patient is called for controls at intervals of 3-6 months. Dental radiographic controls are performed every 18-24 months to observe the change in the implanted bone tissue.

(11/29/2024)
by Antalya Dent Smile

More Information: https://antalyadentsmile.com/what-are-the-signs-of-dental-implant-failure.html

Views: 410
Share


My BEST Dentists Journal Headlines