My BEST Dentists Journal

All Journal Entries
Share

What Causes Tooth Enamel Defects In Children?

Almost 40 percent of baby front teeth have an enamel defect that can affect the appearance of the teeth and also make them susceptible to decay. Enamel defects can have several causes.

Tooth enamel begins to form before birth and can be affected by the health of the mother and the health of the child after birth. Primary incisors begin to mineralize, or harden, around 15 weeks after conception, and the enamel finishes maturing when the baby is two months old. The primary canine teeth begin to mineralize 19 weeks after conception and finish their enamel maturation process when the baby is nine months old.

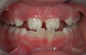
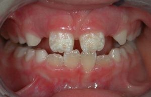
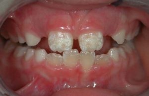
Enamel hypoplasia occurs when a tooth has less enamel than normal. It can appear as a small pit or dent in a tooth or discoloration with excess white, yellow, or brown. Severe enamel hypoplasia can cause the entire tooth to appear small and misshapen. Enamel hypoplasia can occur in both primary and permanent teeth and requires immediate treatment because it can cause tooth sensitivity and cavities.

Over 75 percent of enamel defects in children are believed to be caused by developmental issues. Most developmental enamel defects are found in the middle third of the upper incisors along the neonatal line, a faint line in the tooth enamel caused by insufficient calcium.

Defects can have many other causes, such as premature birth, facial trauma at birth, infection in early childhood, malnutrition, illness or drug use during pregnancy, or genetic problems that affect enamel formation. Less than 25 percent of enamel defects in baby teeth are the result of minor facial trauma or pressure, which can occur during birth and cause a reduced thickness of enamel and hypoplastic spots on the canine teeth.

One option to treat enamel defects is to cover the area with a bonded microfilled composite resin that matches the color of the rest of the tooth. This is often the best treatment for very young children.

Another option to treat enamel defects in children is microabrasion, which uses acids and abrasives to remove dental stains and surface defects. The procedure can remove superficial enamel dysmineralization defects and decalcification lesions in children as young as 6.

(02/08/2021)
by CT Pediatric Dentistry

More Information: http://www.ctkidsdentist.com/blog/what-causes-tooth-enamel-defects/

Views: 622
Share


My BEST Dentists Journal Headlines