My BEST Dentists Journal

All Journal Entries
Share

What Causes a Black Spot on Your Gums?

First, we recommend taking a moment to breathe and relax. According to the Oral Cancer Foundation, dark spots rarely indicate a serious condition like cancer and are usually benign. Spots in the mouth are often not fully black but may appear that way as they can be hard to see. We’re here to help walk you through the causes of dark spots in your mouth and what they mean.

Causes of Dark Spots on Gums

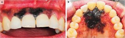
Oral conditions like dark spots on your gums have various causes and can be challenging to diagnose. These spots can either be harmless or the result of an underlying disease, so it's essential to speak to your doctor if you believe you have any symptoms.

What exactly causes black spots on your gums? There are two categories of answers: those with internal causes and those with external causes.

Did you know: Internal causes are called endogenous and external causes are called exogenous.

Internal Causes

Internal pigments that cause skin colour changes can also modify your gums' colour to black, grey, blue, or brown. Blood vessels can even dysfunction or rupture, leading to discolouration.

Melanin can be altered by a variety of diseases and disorders that affect the production of this pigment. Cells in your body that produce melanin are called melanocytes.

Tuberculosis and Addison's disease can affect your adrenal glands and cause changes in pigmentation.

HIV, also called the human immunodeficiency virus, can lead to pigmented lesions in the mouth.

According to a research article published in the Journal of Indian Academy of Oral Medicine and Radiology, haemangiomas are most common soft tissue benign tumours, composed of blood vessels, and occur in the head and neck region (60%) and less commonly in the oral cavity; oral cavity if affected involves gingiva followed by the lips, tongue and palate.

External Causes

Exposure of your mouth to pigment produced outside the body can lead to discolouration in the form of dark or spots on the gums. Sources outside the body can also affect your body's production or regulation of pigment or iron, leading to a change in colour. These black dots can be caused by:

Drugs (prescription, over-the-counter and illegal)

Smoking and tobacco products

Trauma to the face or mouth

Heavy metals

Injury from graphite pencil

An old filling (also known as a dental amalgam)pushing into the gums

Oral Cancer

In rare cases, benign lesions that don't require treatment may transform into oral malignant melanoma, a type of oral cancer. A doctor will look at a range of factors to see if the lesion qualifies as melanoma. According to a research article published in the Journal of Indian Academy of Oral Medicine and Radiology, melanoma constitutes only 3–5% of all cutaneous malignancies, and oral melanoma is an aggressive neoplasm which accounts for less than 0.5%.

If you believe you have oral cancer symptoms, we recommend leaving the diagnosis up to the professionals and speaking to your doctor. If you exhibit symptoms, they may perform a biopsy (laboratory tests of your tissue) to confirm melanoma.

Remember that cancer is a rare cause of any dark spots in your mouth. A more benign explanation is much more likely, so don't stress. You've done a great job informing yourself of the possible causes, so be sure to make the next step for success and schedule an appointment or regular check-ups with your doctor.

(01/30/2023)
by Colgate

More Information: https://www.colgate.com/en-in/oral-health/mouth-sores-and-infections/what-causes-a-dark-spot-on-gums

Views: 440
Share


My BEST Dentists Journal Headlines