My BEST Dentists Journal

All Journal Entries
Share

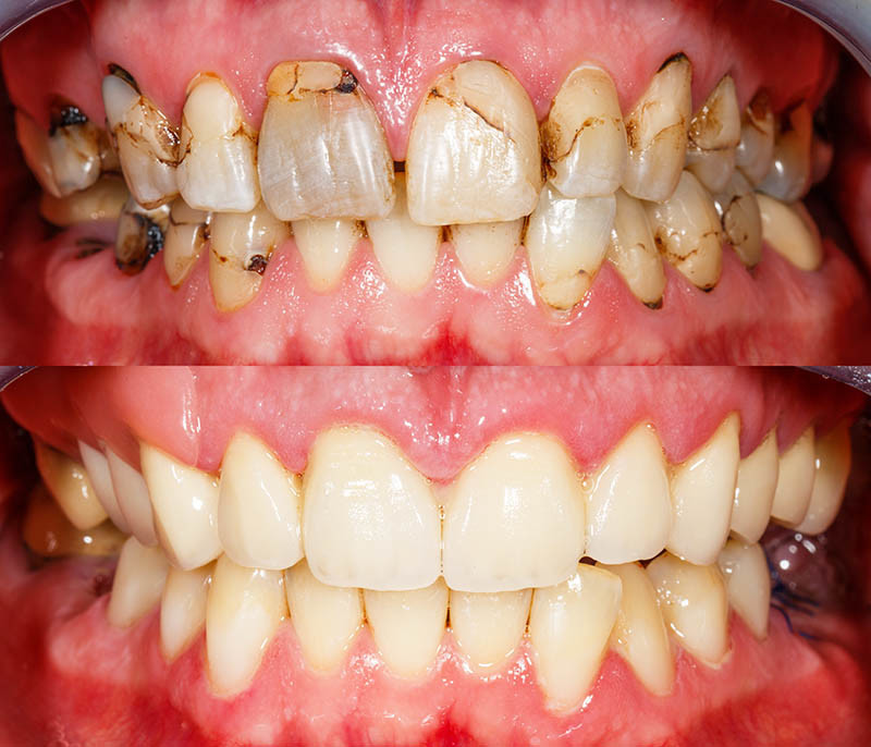
What Happens During a Full Mouth Reconstruction?

Has your general dentist told you that you need a full mouth reconstruction to restore your teeth and smile? This is an important procedure for your health and the aesthetics of your teeth. You will likely go into your procedure with some questions and concerns. It is helpful to understand what will take place at the dentist’s office and what the results will look like. You can rest at ease knowing that there are many benefits to repairing damaged teeth and replacing missing ones.

Issues that lead to the need for full mouth reconstruction

Everyone should have a goal of maintaining healthy, strong teeth, and gums. Unfortunately, some people neglect these duties or do not attend to them effectively. People who experience tooth loss or damage can often trace these issues back to brushing and flossing. Failing to do these things each day can lead to decay and infections. These conditions can weaken teeth, causing cavities, fractures, and cracks. A tooth could even fall out or require extraction.

Accidents and injuries can also break or chip a tooth. A hard enough blow to the face or biting into an object can even dislodge a tooth. Tooth loss and damage can occur in a car collision. These issues can also happen while an individual is playing sports.

Preparation

Before starting full mouth reconstruction procedures, the patient will meet with the general dentist. The dentist will explain the upcoming process and outline how it will affect the patient’s smile and health. The person should ask any questions they have. This is also a good time to address concerns and ask about any potential side effects the procedure may have.

After the consultation, the dentist will do some preparatory work. This will include taking X-rays and making impressions of the mouth. This information will be important in making devices, such as crowns, veneers, bridges, implants, or dentures. Before a dentist can start treating the patient’s condition, tooth extraction may be necessary.

Making the patient comfortable

A full mouth reconstruction procedure will require numbing the mouth. The dentist will do this so the patient will not feel pain during the process. This happens with a local anesthetic that should wear off a few hours after the appointment. Some dental offices offer sedation or other methods to calm the patient.

Preparing the tooth

Some full mouth reconstruction procedures require work on the tooth before the dentist places the device. For crowns, the dentist must first reshape the tooth by shaving part of it off. This helps ensure that the cap will fit. For veneers, the dentist first removes a bit of enamel and roughens the tooth so the veneer will bond to it. If the patient is getting bridges, the dentist will first place crowns over the teeth adjacent to the gap in the mouth.

Prepare for your appointment

You do not need to feel overwhelmed for your full mouth reconstruction. These processes are involved but can have successful outcomes. Review these guidelines so you can feel ready when you visit the dentist. Start by talking to the dentist about whether a restoration makes sense for you.

(08/20/2021)
by Phoenix Family Dentistry

More Information: https://familydentistphoenix.com/blog/what-happens-during-a-full-mouth-reconstruction/

Views: 751
Share


My BEST Dentists Journal Headlines