My BEST Dentists Journal

All Journal Entries
Share

What Happens When You Don´t Brush Your Teeth?

Dental care experts advocate brushing your teeth twice a day. That's not all. To get a jump on plaque buildup, you should also floss every day. With all that swishing and spitting going on, it's easy to start wondering why brushing is so important, which leads to some interesting speculation about what would happen if we all just stopped brushing entirely. Cavemen didn't brush, so why should we?

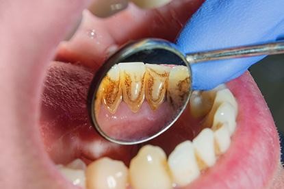
One of the big problems with dropping brushing from your daily personal care routine is the modern diet. The human mouth harbors a lot of wildlife in the form of more than 600 types of bacteria. Some bacteria are good, protecting your mouth from even nastier bacterial invaders. But, a substantial amount of mouth bacteria is primed to do real damage. A big offender is plaque, a coating of bacterial film that feeds on the residual sugars left in your mouth. It produces acids that eat away tooth enamel and cause cavities, or small holes, to form. Those lingering sugars are like a banquet to plaque bacteria [source: Cromie].

Because many of the foods humans eat are rich in sugars, there's plenty for sugar-loving bacteria to eat -- especially when you don't brush regularly. After a while, plaque film gets harder and more resistant to scraping and brushing and becomes biofilm, or super plaque. It starts to form tartar, solid bits that irritate the gums. One of the first signs of trouble is a condition called gingivitis, an inflammation of the gums brought on by the uncontrolled growth of plaque and tartar. It may cause bleeding and swollen gums, but it can be easy to ignore because it isn't painful.

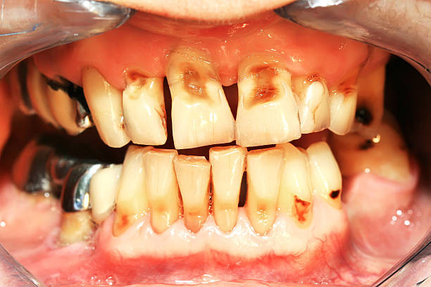
Gingivitis is a warning sign of worse things to come, though. Gum pockets form when irritated gums pull away from teeth. They collect decaying food particles and become a breeding ground for bacteria. Unchecked plaque growth in the pockets, on teeth and around the gum line leads to cavities, swollen gums, discolored teeth, bone loss, abscesses and bad breath -- very bad breath.

When things go really wrong after not brushing for a while, a group of gum diseases called periodontitis develops that are characterized by the symptoms above plus a few others like loose teeth and tooth loss. All this feels pretty nasty, too. Rampant tooth decay causes pain and plenty of it. It's likely you'd be begging the dentist to pull out a few aching, rotten teeth long before they fell out on their own. There'd also be pain when trying to eat anything sugary, too cold or too hot. Ice cream would definitely be out --- forever.

If this sounds gruesome, it gets worse. Think of your mouth as the doorway to the rest of you. Bacteria developing there can invade other systems in your body. Although research is ongoing, poor dental health may contribute to a number of very serious conditions you'd never expect, like heart disease, stroke, and possibly even cancer [source: American Academy of Periodontology].

Brushing your teeth regularly and remembering to floss seems like a small price to pay for better health, sweeter breath and a winning smile. It could also help you live longer.

(09/06/2021)
by Sara Elliott

More Information: https://health.howstuffworks.com/wellness/oral-care/products/when-you-dont-brush-teeth.htm

Views: 733
Share


My BEST Dentists Journal Headlines