My BEST Dentists Journal

All Journal Entries
Share

What Is A Dentigerous Cyst?

If you have a permanent tooth that's coming in and a clear sack of fluid has formed around it, you may have what's called a dentigerous cyst. You may not even be able to tell it's there, and your dentist found it during a routine checkup. You're probably wondering what caused this growth or if it poses any risks to your health that you should be concerned about, and what you should do to treat it. We'll give you all the info you need to know about these growths so you can feel confident about your health, treat your cyst, and get your gums back to a condition you can smile about.

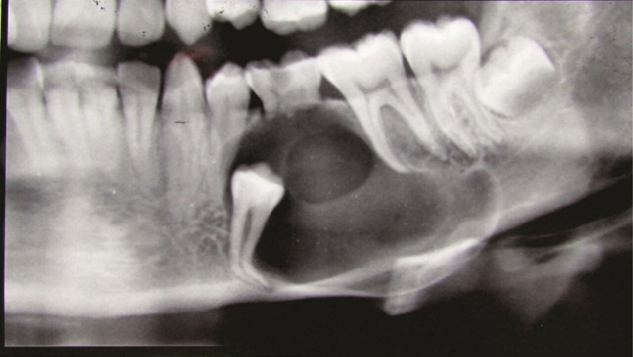
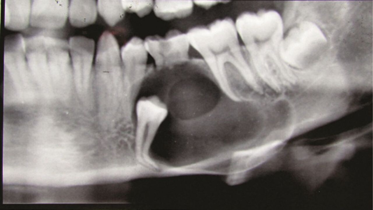
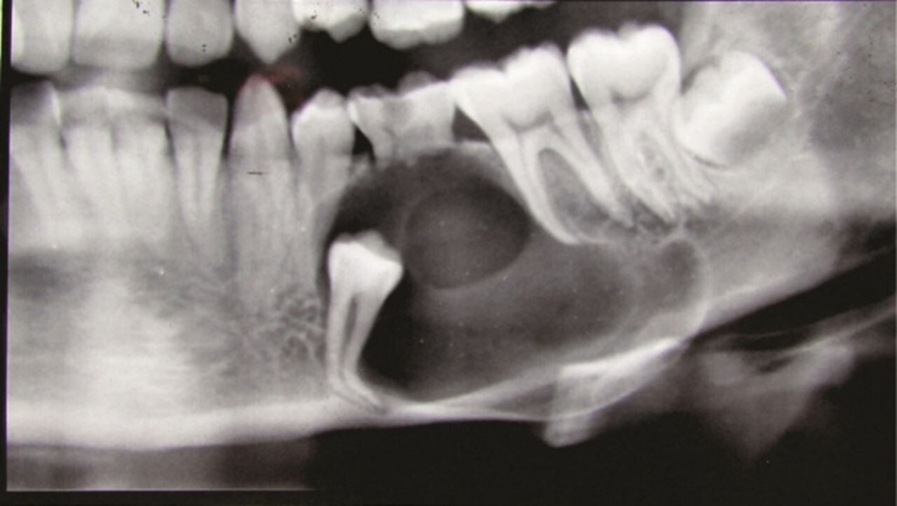
What Is A Dentigerous Cyst?

A dentigerous cyst is a smooth, round sack of clear fluid that slowly develops in the gums where an adult tooth is coming in. The Mayo Clinic says that they're the most common cyst to impact the jaw, and they're mostly found on the lower jaw (mandible) around wisdom teeth, but they can form around other teeth. They are generally painless and usually benign (not harmful); however, they can cause damage if they continue growing. According to the American Dental Association, cysts could harm "the roots of nearby teeth or destroy the bone that supports your teeth."

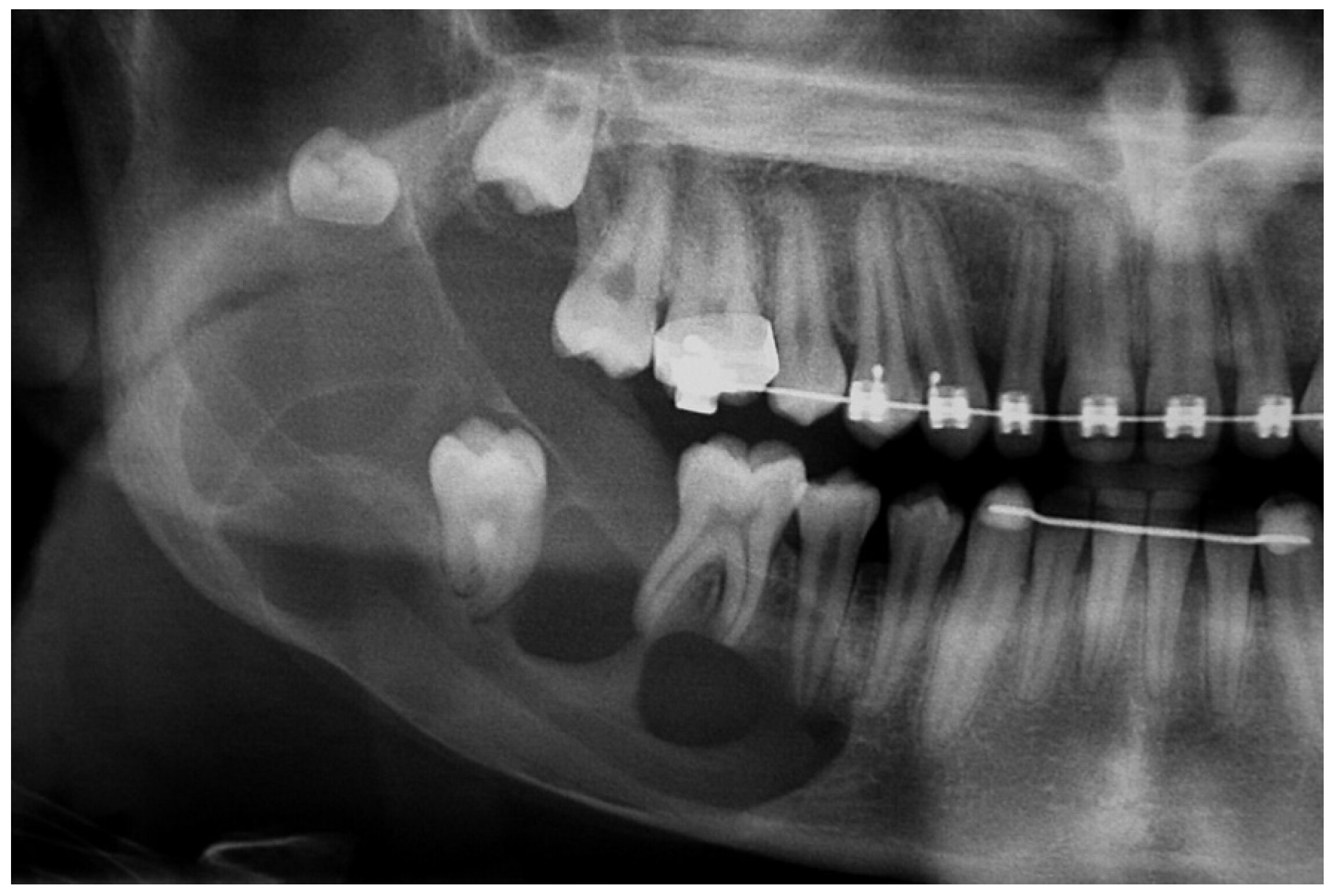
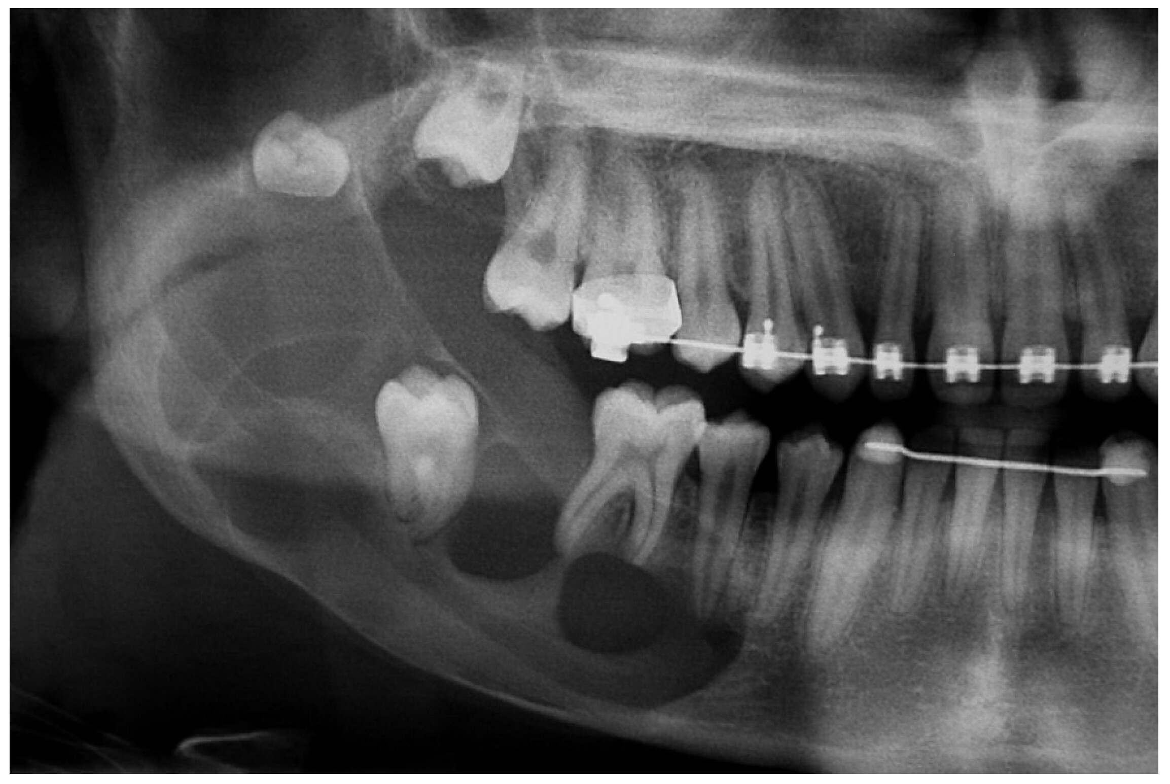
How Are Dentigerous Cysts Found?

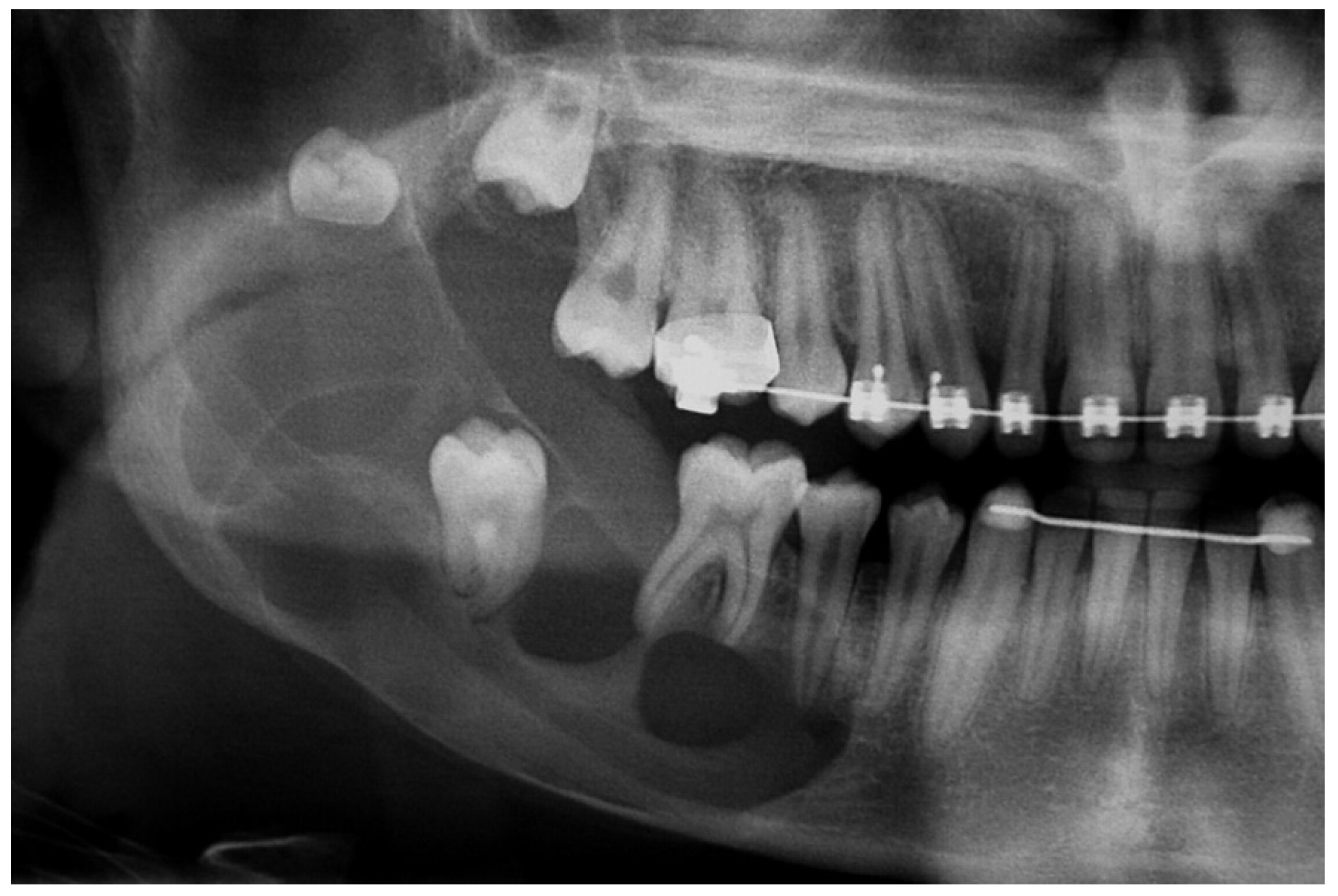
Because these cysts grow slowly and are often near the back of your mouth, you probably wouldn't even know one is there until your dentist tells you about it. They could see it in a routine examination. If your dental professional is checking on your wisdom teeth coming in, they may use a radiograph (x-ray) and discover it, or an orthodontist may notice a dentigerous cyst during a consultation for braces or clear aligners.

These growths can get big enough that you would feel it, but that is rare. If you have a larger cyst, it could impact the teeth on either side of the growth, adversely affecting the roots of those teeth and potentially even moving those teeth out of position.

What Are Treatment and Recovery Like?

Your general dentist may be able to remove your cyst if they have special surgical training, but you'll likely be referred to an oral surgeon. Oral surgeons frequently encounter many types of cysts while removing wisdom teeth.

First, you'll receive a local anesthetic. Then your oral surgeon will likely remove the tooth and the cyst. If your cyst is small, your dental professional may be able to drain the cyst or remove the cyst by itself. For larger, more severe cysts, your surgeon may perform a bone graft if you've experienced bone loss.

Healing time can take anywhere from a week to a few months, depending on the severity and size of your cyst. It usually only requires one procedure, but you may have to return for post-surgical visits so the surgeon can check the healing progress.

(09/14/2023)
by Colgate

More Information: https://www.colgate.com/en-us/oral-health/mouth-sores-and-infections/what-is-a-dentigerous-cyst

Views: 382
Share


My BEST Dentists Journal Headlines