My BEST Dentists Journal

All Journal Entries
Share

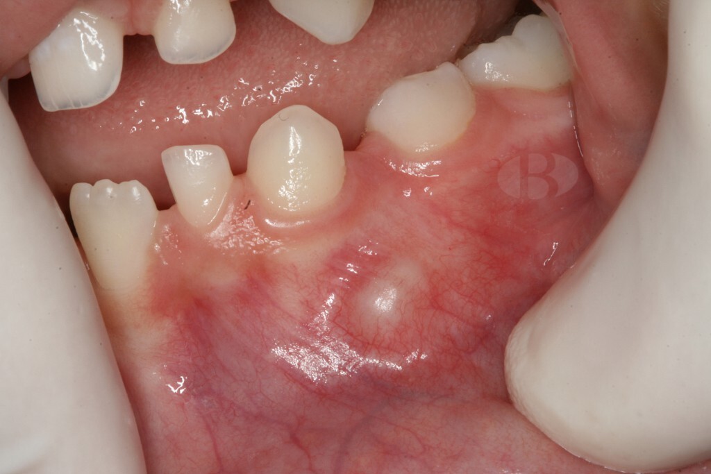
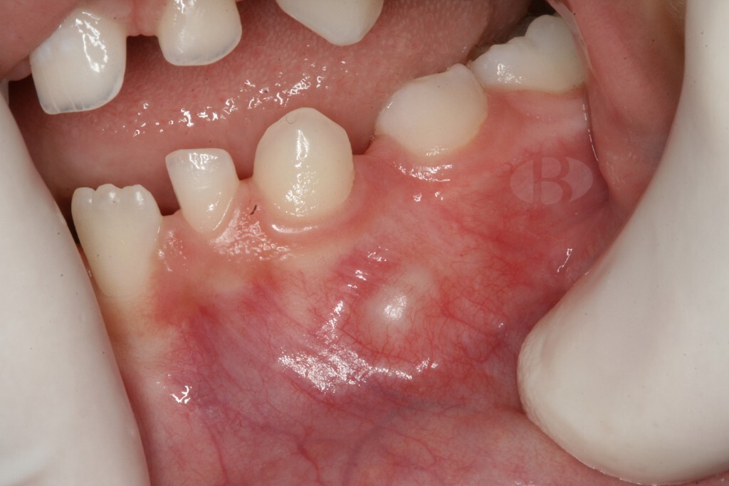
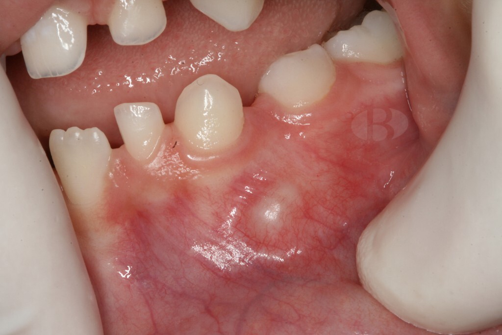
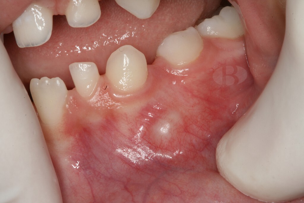
What Is An Odontoma And How Is It Treated

When you hear the word "tumor," there's a good chance you think of cancer. Fortunately, with an odontoma, that's not the case. While an odontoma is a tumor, it's a benign one and not uncommon. That alone is great news! However, odontomas usually require surgical removal. They're made up of dental tissue that resembles abnormal teeth or calcified mass that invade the jaw around your teeth and could affect how your teeth develop. Fortunately, treatment is pretty straightforward and the road to a tumor-free life is one frequently traveled.

Types of Odontomas

There are 2 main types of odontomas:

Compound:

Consisting of many, tiny tooth-like bits

Usually found in the lower jaw

Most often occurs during your teenage years

It affects men and women equally

Complex:

Made up of an assortment of dental tissue (enamel, dentin, etc.)

Usually found within the upper jaw

Most often occurs during your 20s

It affects men and women equally

Diagnosis and Symptoms

Since odontomas grow internally around your teeth, an X-ray from your dentist is necessary to identify them, notes the AAPD. The shape will indicate to your dentist whether it's compound or complex. While they are asymptomatic, the West Indian Medical Journal Review notes your odontoma could cause:

Pain

Discomfort

Swelling

Tooth displacement

Nearly 80% of those affected by odontomas, though, have teeth that haven't erupted yet. Plus, since they're noncancerous, they rarely grow back after removal.

Removal

Removal surgery has been the tried-and-true treatment plan for odontomas — especially if they are causing any pain or affecting your teeth to erupt unnaturally. Some other things to know about odontoma removal surgery:

An oral or maxillofacial surgeon should consult your dentist on the surgery

The unerupted tooth associated with odontoma could be extracted if it's not developing correctly

If you have a tooth that needs extraction, discuss tooth replacement options and alignment issues with your dentist and/or orthodontist

Your dentist will likely recommend a combination of the following after surgery to help you heal:

Proper oral hygiene

Cold and soft meals

No physical exercise for the first 48 hours

Pain relief medication

Antibiotic medication (if an infection is a concern)

Going through surgery is most likely your path should you be stricken with odontomas. But, it sure beats radiation or chemotherapy you'd have to face with cancer. Plus, the surgery to remove your odontomas is very common with few complications. Just remember to see your dentist regularly so they can identify the odontomas as early as possible on your X-rays.

(03/10/2024)
by Colgate

More Information: https://www.colgate.com/en-us/oral-health/threats-to-dental-health/what-is-an-odontoma-and-how-is-it-treated

Views: 965
Share


My BEST Dentists Journal Headlines