My BEST Dentists Journal

All Journal Entries
Share

What Is Dens In Dente?

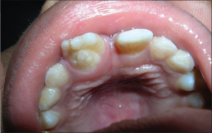
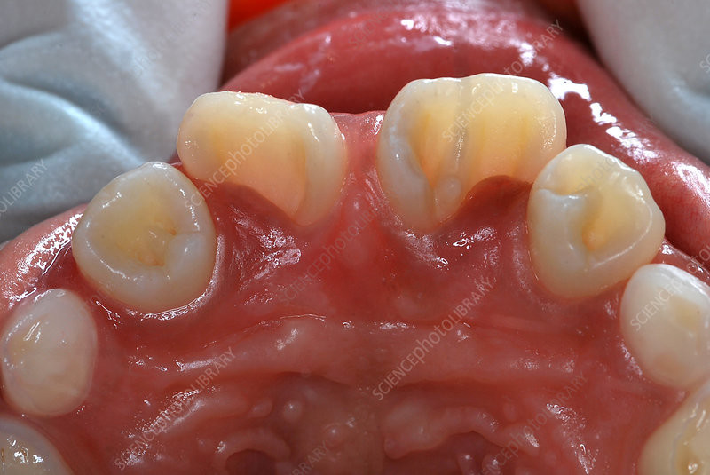
Dens invaginatus, or dens in dente (which translates to “tooth within a tooth”), is a dental anomaly. This condition occurs when the tooth’s enamel (the outer, visible layer of the tooth) folds into the dentin (the hard tissue beneath the enamel) during tooth development. This creates what looks like a small tooth within an existing tooth. Here, we’ll look at the symptoms and causes and what you can do if you have this condition.

Prevalence and Causes

According to the Journal of Oral Research and Review, dens in dente is rare, affecting between 0.3 percent and 10 percent of people. The maxillary lateral incisors (the pair of teeth on either side of the two front teeth) are most commonly affected by dens in dente, followed by the maxillary central incisors (the two front teeth). Researchers still aren't sure what causes this anomaly. Many theories have been proposed, including infection, pressure on the enamel, and trauma during tooth development. While you can’t prevent this condition from forming, you can consult your dental professional for a diagnosis and treatment.

Diagnosis

Teeth affected by dens in dente may be malformed, wider, or peg-shaped. You may see what looks like a small tooth branching off a bigger tooth, though it may be difficult for a dentist to arrive at a definite conclusion during a regular oral exam. In fact, most teeth with this condition don’t show any signs of malformation on the outside. That’s why X-rays are most commonly used for a diagnosis, as the affected tooth may be asymptomatic. According to another report in the Journal of Conservative Dentistry, dental professionals may also use cone beam computerized tomography.

Potential Complications

While cases of dens in dente may or may not have symptoms, teeth with this condition are more susceptible to infection and decay. That’s because the space between the original tooth and the growth is especially vulnerable to cavities, and cavities can easily spread and expose the tooth's pulp to bacteria. If the pulp becomes infected, saving the tooth may require a root canal. Teeth with dens in dente can also develop pulpitis or apical periodontitis if left untreated. Other complications include tooth displacement, abscess formation, internal resorption, and cyst development. That’s why it’s critical to reach out to your dental professional for an examination if you think you might have this condition.

Treatment Options

While having an abnormally shaped tooth might seem frightening, don’t worry—dens in dente treatment is available and depends on the severity of the case. In minor cases, sealing the crevice with composite resin or sealant may be all that's required. The sealant acts as a barrier to keep plaque from settling into the crevice and prevents cavities from developing.

In more serious cases where the pulp has been affected, a dentist may recommend root canal treatment. During this treatment, a dentist removes the damaged pulp from inside the tooth. The inner chambers of the tooth are then cleaned, dried, and filled with a rubber-like material. During this procedure, a dental professional may also seal the crevice in the tooth. If the shape of the affected tooth is irregular, the dentist may recommend a restoration such as a crown, a cap that sits on top of a damaged or misshapen tooth. In most severe cases, your dental professional might recommend extraction or complete removal of the tooth.

Dental anomalies, such as dens in dente, can be concerning, but they’re rare and treatable. If you're worried about an oddly shaped tooth, make an appointment with your dental professional. Also, be sure to schedule a cleaning every six months. Regular dental visits can help you monitor your oral health concerns, and your team can take action before a larger issue develops, so you can ensure your smile is as healthy as possible.

(09/17/2021)
by Colgate

More Information: https://www.colgate.com/en-us/oral-health/adult-oral-care/what-is-dens-in-dente

Views: 1,111
Share


My BEST Dentists Journal Headlines