My BEST Dentists Journal

All Journal Entries
Share

What Is Enamel Hypoplasia?

Enamel is the hard, protective outer layer of your teeth. Enamel hypoplasia is a defect of the enamel that only occurs while teeth are still developing. Still, it can affect both baby teeth and permanent teeth. The condition results in thin enamel, which makes your teeth vulnerable to dental decay.

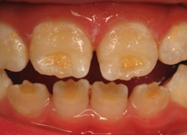
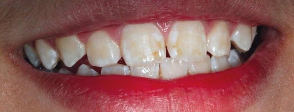
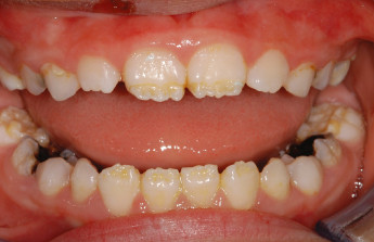
The visual signs of enamel hypoplasia include white spots, pits, and grooves on the outer surface of the teeth.

Tooth enamel is the hardest substance in your body, but it doesn’t contain living cells and can’t repair itself or improve on its own. So, if you or your child has enamel hypoplasia, you’ll need to have a dentist monitor your teeth and act quickly to repair problem areas.

What are the symptoms?

Some of the signs of enamel hypoplasia are obvious, but others are more difficult to detect and may not be noticeable until they cause major dental problems. Having thin tooth enamel can lead to:

pits, tiny groves, depressions, and fissures

white spots

yellowish-brown stains (where the underlying layer of dentin is exposed)

sensitivity to heat and cold

lack of tooth contact, irregular wearing of teeth

susceptibility to acids in food and drink

retention of harmful bacteria

increased vulnerability to tooth decay and cavities.

What causes it?

Defective enamel development can be the result of an inherited condition called amelogenesis imperfecta, or congenital enamel hypoplasia, which is estimated to affect about 1 in 14,000 people in the United States. This condition can also cause unusually small teeth and a variety of dental problems. Congenital enamel hypoplasia can happen alone or as part of a syndrome affecting other parts of the body.

Other hereditary syndromes that can cause enamel hypoplasia are:

Usher syndrome

Seckel syndrome

Ellis-van Creveld syndrome

Treacher Collins syndrome

otodental syndrome

22q11 deletion syndrome (velocardiofacial syndrome)

Heimler syndrome

Enamel hypoplasia can also result from prenatal issues such as:

maternal vitamin D deficiency

maternal weight gain

maternal smoking

maternal drug use

lack of prenatal care

premature birth or low birth weight

Environmental factors and other problems in infancy that can cause enamel hypoplasia include:

trauma to the teeth

infection

calcium deficiency

deficiencies of vitamins A, C, or D

jaundice, liver disease

celiac disease

cerebral palsy due to maternal or fetal infection.

How is it treated?

Early screening and diagnosis are crucial. That’s why children should see a dentist sometime between the appearance of their first tooth and their first birthday.

Treatment depends on the severity of the problem. Goals of treatment are to:

prevent tooth decay

maintain a good bite

preserve tooth structure

keep teeth looking their best

Some of the smaller defects that aren’t causing decay or sensitivity may not need treatment right away. They still require monitoring, though. Your dentist will probably want to apply topical fluoride to help protect teeth.

In the case of sensitivity, cavities, or tooth structure showing wear, treatment options include:

Resin-bonded sealant. This can improve tooth sensitivity.

Resin-based composite fillings. These can be made to closely match tooth color, which makes them ideal for use on front or back teeth. They’re also quite durable.

Dental amalgam fillings. These are made from a combination of durable metals. Due to the silver color, you may not want them on your front teeth.

Gold fillings. Like dental amalgam fillings, gold fillings are durable but lack a natural look. They also tend to be the most expensive.

Crowns. These completely cover the tooth.

Enamel microabrasion. This is a minimally invasive procedure to improve appearance of the teeth.

Professional dental whitening.

If your dentist offers a mercury amalgam filling, check first that this is suitable for you, as there may be a risk of toxicity. You should not haveTrusted Source a mercury amalgam filling if you:

are pregnant, planning to become pregnant, or breastfeeding

are under 6 years of age

have a neurological condition or kidney problems

have an allergy to mercury

There are cases in which a permanent tooth is so malformed that it may be best to extract it. If so, you might want to consult with an orthodontist first.

Here are a few other tips for keeping your teeth as healthy as possible:

Brush at least twice a day using a soft toothbrush.

If cold sensitivity is a problem, rinse with lukewarm water.

Keep sugary and acidic foods and drinks to a minimum, and always brush and rinse thoroughly after consuming them.

See your dentist regularly for check-ups and whenever you suspect a problem.

(08/13/2021)
by Healthline

More Information: https://www.healthline.com/health/enamel-hypoplasia#symptoms

Views: 876
Share


My BEST Dentists Journal Headlines