My BEST Dentists Journal

All Journal Entries
Share

What Is Gingival Hyperplasia And How Is It Treated?

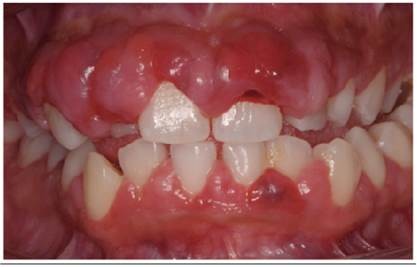
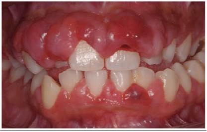
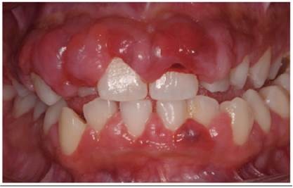
Gingival hyperplasia is an enlargement or overgrowth of the gum tissue, also known as the gingiva, around the necks of the teeth. It is an increase in the size of the gingival tissues and thus the term overgrowth is many times used in place of the term hyperplasia.

Read on to learn the facts about the condition, what causes it and how it is treated.

The Root Cause:

Gingival overgrowth can be caused by several mechanisms but will have very similar appearances. A study in the journal Histopathology describes the condition as "a small papillary or velvety bright red gingival overgrowth that bleeds easily." However, the overgrowth can be extensive and round in appearance. It is usually found on the front of the teeth and can be on the tongue side in some cases.

One of the causes is inflammation. The inflammation can be induced by poor oral hygiene or from a dental appliance like orthodontic braces. Other factors include systemic conditions (like hormonal imbalances or leukemia), medications or heredity conditions, according to the American Academy of Oral Medicine (AAOM). Also, localized overgrowth can be a benign or malignant lesion.

Drug-Induced Gingival Hyperplasia:

The drugs that have been associated with overgrowth fall into three categories: anti-seizure medications, immunosuppressant medications used in transplant patients and calcium channel blockers used to treat various cardiovascular conditions like high blood pressure.

According to a study published in the Journal of Indian Society of Periodontology, gum inflammation may be an initiating factor of a gum overgrowth. Therefore, it is important to notify your dentist or dental hygienist if you take any of these drugs. He or she can then pay special attention to make sure these agents do not start to affect the gingiva.

Diagnosis and Treatment:

As there can be several reasons for the overgrowth, it is important to receive the right diagnosis.

A biopsy may be necessary to rule out pathological conditions. If the cause is gingival inflammation, then periodontal therapy and improved oral hygiene will be needed. If the cause is a medication, then your physician may need to be consulted. Stopping or changing the medication can help limit the overgrowth, but never stop a medication on your own. Just stopping the medication will not reverse the overgrowth, so additional treatment is usually required.

Surgical Removal:

In the end, the overgrown gums may need to be surgically removed. The AAOM notes that good oral hygiene, especially the effective removal of plaque between the teeth, can alleviate the condition. In the case of drug-induced overgrowths, if patients are not able to discontinue the medication, surgical removal may be the only effective treatment. This can be done with a scalpel or laser.

However, if the root cause is not adjusted, the enlargement will return, and surgery may have to be performed numerous times. Pressure devices that look like night guards are sometimes used to try and limit the rate of rebound of the tissues. Also, your dentist may have you return every three months to clean the areas to limit the effects of inflammation on the soft tissues.

(11/24/2020)
by Colgate

More Information: https://www.colgate.com/en-us/oral-health/gum-disease/gingival-hyperplasia

Views: 996
Share


My BEST Dentists Journal Headlines