My BEST Dentists Journal

All Journal Entries
Share

What Is Hypophosphatasia?

Many factors impact the health of your teeth. You can control some of these factors — like your oral care routine or diet — however, other factors like genetics reside outside of your control and may cause negative effects. Hypophosphatasia is a rare genetic disorder that can weaken bones and teeth. Learn more about the types of hypophosphatasia, its role in oral health, and how it's treated.

What Is Hypophosphatasia?

Hypophosphatasia (HPP) disrupts the process of mineralization of bones and teeth. This inherited disease is caused by a mutation in the tissue nonspecific alkaline phosphatase (TNSALP) gene. The mutation interferes with the metabolism of alkaline phosphate, which affects the mineralization process and impairs the body's ability to deposit calcium and phosphorous into developing bones and teeth. These minerals help make your bones and teeth rigid, strong, and able to withstand daily use.

What Are the Types of Hypophosphatasia?

HPP is classified by the degree of severity and timing of symptoms, and HPP affects males and females equally. The most severe form of HPP is life-threatening, while the least severe classification only causes dental abnormalities. Generally, the younger the person is when diagnosed, the more severe and problematic the condition. Here are the five types of hypophosphatasia and their symptoms:

Perinatal HPP. The physician will typically diagnose a child with perinatal HPP at birth or with an ultrasound before birth. It manifests as skeletal abnormalities that include deformed chest walls and long bones. On an X-ray, the bones will show signs of hypomineralization, also known as a decrease in mineral content. This type of HPP can be fatal, with a high incidence of stillbirth or death soon after birth.

Infantile HPP. The physician will diagnose a child with infantile HPP by the age of six months. Its main characteristics include rickets and fractures, which are detected by an X-ray. The lack of minerals combined with a defective metabolic process impacts the infant's ability to develop, and this type of HPP can be fatal.

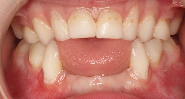
Childhood HPP. The signs and symptoms of childhood HPP appear after six months of age. The physician usually diagnoses it when the child fails to develop and reach motor skill milestones. The most common symptom includes the early loss of baby teeth — including the root — before age five. This differs from normal tooth loss, where the teeth fall out gradually after the roots resorb from age five through the preteen years.

Adult HPP. The adult classification often presents early in life but remains undiagnosed until adulthood. Adult HPP can include unspecific musculoskeletal disorders, slow healing, and frequent fractures of the femur and the foot's metatarsal bones. It manifests as a softening of bones, and adults may lose teeth prematurely or suffer from chronic joint and muscle pain.

Odontohypophosphatasia. The final and least severe category of HPP only affects the teeth. Odontohypophosphatasia symptoms include abnormal tooth development and premature loss of permanent teeth.

How Do You Treat Hypophosphatasia?

Until recently, HPP treatment only included managing and alleviating symptoms caused by the disease. This varied from ventilator support for infants with respiratory insufficiency to low-calcium diets and pain relief techniques. Your physician might also recommend seeking genetic testing and counseling to establish the likelihood of passing the disorder to future generations.

In October 2015, the Food and Drug Administration approved asfotase alfa for use in the United States after clinical trials showed promising results in treating HPP presenting before the age of 18. Asfotase alfa (AA), also known by the brand name Strensiq, is administered through injections. Drug Design, Development and Therapy notes that AA treatment results in improved skeletal mineralization, leading to increased respiratory status and infant survival. It can also alleviate other complications related to bone abnormalities to improve physical function, mobility, and growth.

If you know the HPP gene runs in your family or notice early signs of this disease, seek the advice of a medical professional. Your physician or dental professional can help you determine the best way to alleviate symptoms and take care of your bones and teeth.

(03/28/2021)
by Colgate

More Information: https://www.colgate.com/en-us/oral-health/threats-to-dental-health/five-classifications-of-hypophosphatasia

Views: 973
Share


My BEST Dentists Journal Headlines