My BEST Dentists Journal

All Journal Entries
Share

What Is Oligodontia?

If you have missing teeth from a condition or trait you were born with, you may have what's known as oligodontia. What exactly is oligodontia? What is it caused by? Does it increase your risk for any other health problems? We're here to help you understand what qualifies as oligodontia, the associated genetics, and what you can do to treat it.

Oligodontia: What Is It?

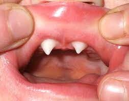
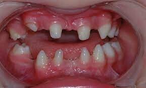
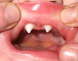
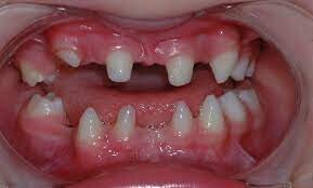
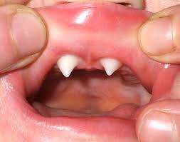
Dental agenesis is a term that refers to those born without one or more teeth. According to the Oral Health Group, this is the most common congenital (affects you from birth) condition in humans. Oligodontia is a specific type of agenesis that causes you to be born without six or more teeth (not counting wisdom teeth).

Causes of teeth absent from birth include:

Genetic syndromes

Inherited characteristics not related to a genetic syndrome (non-syndromic)

Viral infection during pregnancy

Metabolic dysfunction

Exposure to radiation

Tumors (benign and cancerous)

Missing teeth not only affect your appearance but can impact your ability to chew and your overall oral health. Related problems to your health typically accompany Oligodontia. These missing teeth can cause the reduced size of your alveolar process, lowered height of your face, and other issues in tooth development.

Genetic Causes

Your genetics have an incredible breadth of impact on your health and development. If one or both of your parents experience a genetic disorder or mutation, it’s not a guarantee that you will develop the same condition.

Genetic causes are varied, given that oligodontia is caused by both genetic syndromes and inherited family traits. Some conditions and genes that alter other processes in your development can also affect your teeth' development.

In addition to being connected with mutations in individual genes, Oligodontia is associated with other genetic conditions, according to Orphanet.

Associated health conditions may include:

Hypohidrotic ectodermal dysplasia (HED)

Odonto-onycho-dermal dysplasia (OODD)

Schöpf-Schulz-Passarge syndrome (SSPS)

Genes connected with the development of oligodontia include:

MSX1

PAX9

LTBP3

WNT10A

EDA

EDARADD

IKBKG

There’s no way to know on your own if you’ve inherited mutations in these genes unless you’ve received genetic screening, sequencing, or professional diagnosis. If you’re interested in finding out about your genetics or associated risk factors, schedule an appointment with your dental or medical professional for expert advice.

Associated Risks and Complications

Because oligodontia has various underlying causes, the presentation may differ between individuals. Some experience few or no symptoms, while others experience difficulty speaking and chewing or changes to their facial appearance.

Some people with oligodontia are more likely to develop cancer, a condition known as oligodontia-cancer predisposition syndrome. This risk is associated with a mutation in the AXIN2 gene. This condition may increase your chance of developing gastrointestinal polyposis, colorectal cancer, and breast cancer, according to Orphanet.

Important note: It’s vital to detect and treat cancer early, but keep in mind that not everyone who experiences oligodontia is at greater risk of cancer. If you believe you have oligodontia, it’s a great idea to schedule an appointment with your dental or medical professional so they can guide your treatment and diagnosis with their expert knowledge.

Oligodontia: Treatment

Replacing your teeth missing from congenital conditions can be challenging, but luckily you have dental professionals at your disposal, including orthodontists, oral surgeons, periodontists, and prosthodontists.

There’s no “one size fits all” solution to oligodontia because your specific case presentation and causes can vary greatly. The alveolar process that connects to the roots of your teeth may be underdeveloped, requiring bone grafting. If your bite is misaligned, you may benefit from an orthodontic solution like braces.

Options for replacing your missing teeth include:

Dental implants

Fixed bridges

Partial dentures

Oligodontia can be difficult to assess and manage on your own. It’s imperative to schedule an appointment with your dental or medical professional for their insight into your unique case because it can be related to other health conditions and risks. You’ve done a great job preparing yourself by reading up on this condition and its causes.

(12/28/2022)
by Colgate

More Information: https://www.colgate.com/en-us/oral-health/mouth-and-teeth-anatomy/what-is-oligodontia

Views: 608
Share


My BEST Dentists Journal Headlines