My BEST Dentists Journal

All Journal Entries
Share

What Is Pyria? How Can It Be treated?

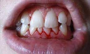
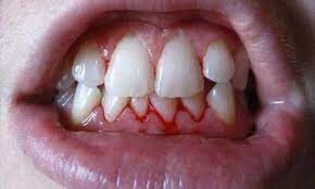
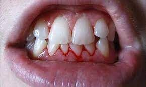
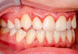
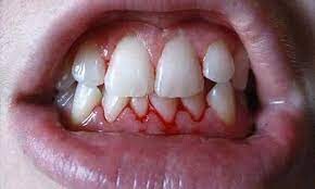
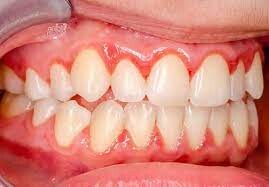
If your gums bleed easily after eating or brusing your teeth you may have early onset of pyria. Pyria is the technical term for gum disease, which usually occurs when gum health decays and you end up with bleeding gums. Pyria is ususally a symptom of poor dental hygiene, where the person is not brushing often, or not adequately enough leading to bacteria growth in and around the gums.

Treatment

Pyria can be treated easily by a dentist, and gums can be repaired, however teeth cannot be repaired and will often decay beyond the point of repair by the time high levels of pyria set in.

It’s important for people to brush over the gum-line and floss in-between teeth at least twice a day; brushing gently but thoroughly taking care to brush over all the teeth as well as the gums.

(02/19/2024)
by Linked in

More Information: https://www.linkedin.com/pulse/what-pyria-how-can-treated-dr-harish-rathi

Views: 551
Share


My BEST Dentists Journal Headlines