My BEST Dentists Journal

All Journal Entries
Share

What Is The Cingulum Of The Tooth?

If you look closely at the anatomy of your teeth, you can see that they are all shaped differently, with points, ridges and round or sharp edges. Some components of dental anatomy, such as the cingulum ridge on a tooth, can't be seen too well, but you can feel it with your tongue. Though its purpose is rather obscure, the cingulum can sometimes be affected by rare dental anomalies.

What Is a Cingulum?

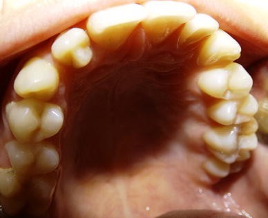
According to MediLexicon, the cingulum of the tooth is a U-shaped ridge located on your upper central and lateral incisors and on the upper cuspids (also called canines) on the tongue-facing side of the tooth. This convex ridge runs vertically from the gumline to the central portion of the tooth. Sometimes, there's also a groove on the tooth that goes partially through the cingulum, according to Pocket Dentistry. If it isn't kept clean, this area can be at risk for decay.

Conditions Affecting the Cingulum of the Tooth

Like all other parts of teeth, the cingulum forms during tooth development. This means that certain conditions affecting the development of teeth can impact the shape of the cingulum.

Dens Invagination

When the enamel of a developing tooth folds inward before it has calcified, it results in what is called dens invagination. According to an article published in the Iranian Endodontic Journal, this is a rare anomaly affecting only 0.04% to 10% of people. It occurs most commonly in the upper permanent lateral incisors and central incisors. Sometimes, the invagination is merely a deep pit at the cingulum. But in more serious situations, the fold extends to the root of the tooth and either perforates the pulp or opens into the periodontal ligament, which is the connective tissue in the middle of a tooth. Treatment for dens invagination depends on the tooth and tissues involved. Endodontic therapy is often the solution, but if the tooth does not respond to this treatment, a dental professional might recommend extraction.

Talon Cusp

In very rare occasions, an extra cusp develops on the tongue-facing surface of a front tooth in the cingulum area. This anomaly is called a talon cusp because the extra cusp looks similar to an eagle talon. A study published in the Journal of Oral Diseases notes that the prevalence of talon cusps also falls between 0.04% to 10%. These extra cusps are made up of enamel, dentin and pulp tissue, and they most commonly affect the upper lateral incisors. A tooth with a talon cusp may have an odd appearance, but if it isn't interfering with the opposing tooth when biting, it usually won't cause any problems other than needing extra attention when brushing. However, if the talon cusp is causing issues, a dentist may grind the extra protrusion down or offer endodontic or prosthetic treatment.

Now that you know where your cingulum is located, it may be hard to keep your tongue from going there. But, if your dentist hasn't diagnosed you with dens invagination or a talon cusp, you can be confident that you have a healthy, normal cingulum.

(08/21/2021)
by Colgate

More Information: https://www.colgate.com/en-us/oral-health/mouth-and-teeth-anatomy/what-is-the-cingulum-of-the-tooth

Views: 2,247
Share


My BEST Dentists Journal Headlines