My BEST Dentists Journal

All Journal Entries
Share

What Is Tooth Gemination?

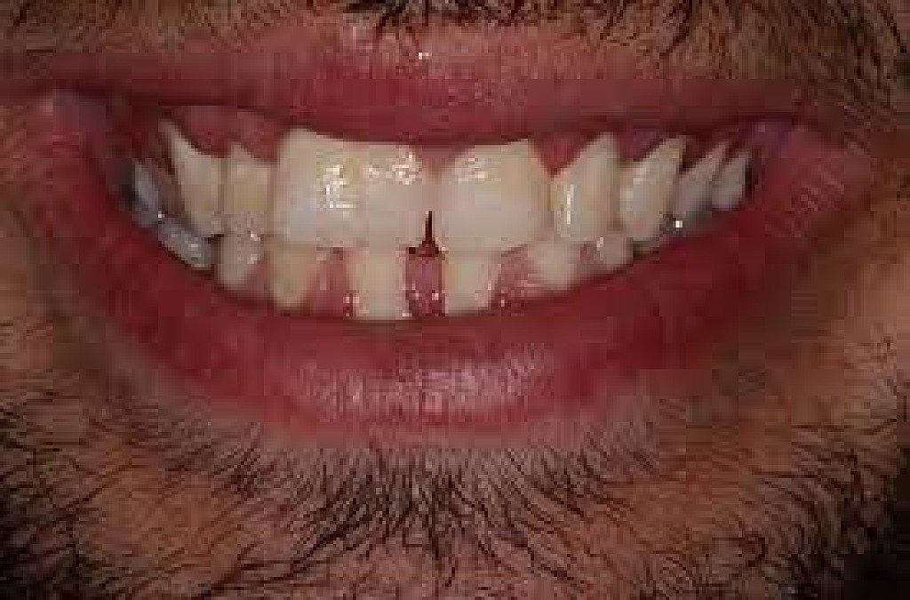
We don’t often think about dental anomalies, mainly because they’re so rare. One such rare anomaly is tooth gemination, which is also known as double teeth. This condition describes when a tooth has two joint crowns and a single root. If you've heard the phrase or noticed an irregularity in your smile, you may be curious to learn more about the condition and treatment plans.

Background and Causes

What is tooth gemination? The tooth bud, also called the tooth germ, is a group of cells that eventually forms a tooth. Each bud or germ will normally result in one tooth. Gemination occurs when a single bud splits and forms two teeth. Germination typically looks like a single enlarged tooth, so there’s no difference in your tooth count. 

People sometimes confuse gemination in teeth with tooth fusion, but tooth fusion is a different condition. Tooth fusion happens when two adjacent tooth buds begin to develop separately and join in the final tooth development stage. The fused, enlarged tooth takes up as much room in the mouth as two separate teeth.

The exact cause of gemination is unknown. Some researchers have suggested trauma, diseases, vitamin deficiencies, and genetic predispositions as causes, but there’s no definite evidence. According to the Journal of Clinical & Diagnostic Research, gemination is also quite rare; it’s prevalent in about 0.5% of primary or baby teeth and 0.1% in permanent teeth. Gemination also more commonly occurs in your front incisors and canine teeth than molars and bicuspids, though it can still appear in those areas.

Diagnosing Tooth Gemination

Dentists will often begin a diagnosis with a visual inspection. To determine whether the tooth is geminated or fused, the dentist may need to count the number of teeth in the mouth. Frontiers in Physiology reports that people with geminated teeth display a normal number of teeth since the oversized tooth is counted as one, while people with tooth fusion appear to have fewer than average teeth.

X-ray images can also help dentists diagnose gemination and fusion since X-rays reveal the teeth’s interior structure. Geminated teeth usually show a pulp cavity that's either partially or entirely united, and fused teeth have completely separate pulp cavities.

What to Do About Geminated Teeth

Because geminated teeth most commonly appear in the front teeth, it may affect a patient's smile. Additionally, the oversized teeth may crowd the mouth and cause other teeth to become crooked. This can lead to bite problems that may need orthodontic treatment. Both geminated and fused teeth are also more vulnerable to cavities and periodontal disease due to the grooves and spaces where bacteria and plaque can collect.

Because gemination appears differently from person to person, dental professionals recommend treatment based on an individual basis. For instance, patients might need sealants and fillings if a fissure in the tooth is causing bacteria buildup. In other cases, teeth require shaping and crowns. Sometimes, the best option is to leave it alone and keep an eye on it. Though, if the geminated tooth is so large that it causes problems in the mouth, it may need to be extracted.

After an extraction, dentists have various methods of replacing the tooth. These include dental bridges and dental implants. Dental bridges are prosthetic teeth anchored in place by the adjacent teeth, while dental implants are prosthetic teeth that require surgery to implant them in the jaw.

When patients have geminated teeth, excellent oral care can help manage bacteria that get caught in grooves and fissures. That means brushing twice daily with a soft-bristle toothbrush and fluoride toothpaste and cleaning between the teeth with interdental brushes, floss, or water flossers. 

Geminated teeth are unusual but treatable. After examining your teeth, your particular condition, and your needs, your dental professional can work with you to determine which, if any, of these treatments is suitable for you.

(07/22/2021)
by Colgate

More Information: https://www.colgate.com/en-us/oral-health/mouth-and-teeth-anatomy/what-is-tooth-gemination

Views: 1,226
Share


My BEST Dentists Journal Headlines