My BEST Dentists Journal

All Journal Entries
Share

What Is Verrucous Carcinoma?

The rarity of verrucous carcinoma. It's not just limited to tobacco-chewing ballplayers, but anyone prone to smoking cigarettes or chewing tobacco. Learn the symptoms and how you can strike it out if it comes to your plate.

What Is Verrucous Carcinoma?

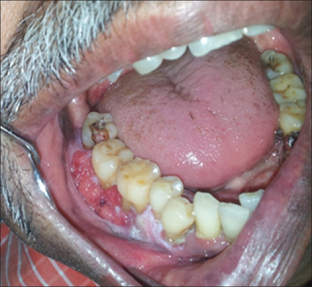
Verrucous carcinoma is an uncommon cancer that often develops in an area of extreme irritation or inflammation with symptoms of cauliflower-like lesions. It's so rare that the American Cancer Society says it accounts for less than 5% of oral cancers. The most typical place for it to appear is within the oral cavity — or the larynx, nasal cavity, and throat. Patients with ill-fitting dentures, oral ulcerative areas, chronic candidiasis, and those who regularly smoke, chew tobacco, and consume alcohol are prone to develop verrucous carcinomas.

How Is Verrucous Carcinoma Treated?

The way to navigate the biggest threat to treating verrucous carcinomas is to avoid chewing and smoking tobacco. That's easier said than done — but necessary. The entire lineup of treatments to face verrucous carcinomas, though, is a powerful one.

Treatments include:

Surgery to remove the tumorous legions

Radiation therapy

A proper diet

Sufficient rest

What Should You Expect With Verrucous Carcinoma?

According to the American Cancer Society, verrucous carcinoma can easily be picked off. This means it's pretty slow-moving and rarely spreads throughout your body. That's good news. The bad news — it can grow deep within your oral tissue. A proper oral cancer screening with your dentist will help determine if you've developed any of these cancerous lesions. If you have developed verrucous carcinoma, you should seek treatment and immediately remove the lesions and surrounding normal tissue.

Proper brushing and flossing, as well as regular dental checkups, can only help you become an all-star in oral hygiene. But the most important thing you can do for your oral and overall health is to quit smoking and chewing tobacco immediately. Those two, along with a robust treatment plan — that's three strikes against verrucous carcinoma. It's out.

(03/09/2021)
by Colgate

More Information: https://www.colgate.com/en-us/oral-health/cancer/what-is-verrucous-carcinoma

Views: 924
Share


My BEST Dentists Journal Headlines