My BEST Dentists Journal

All Journal Entries
Share

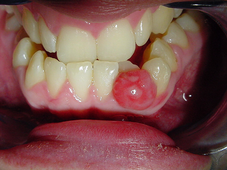
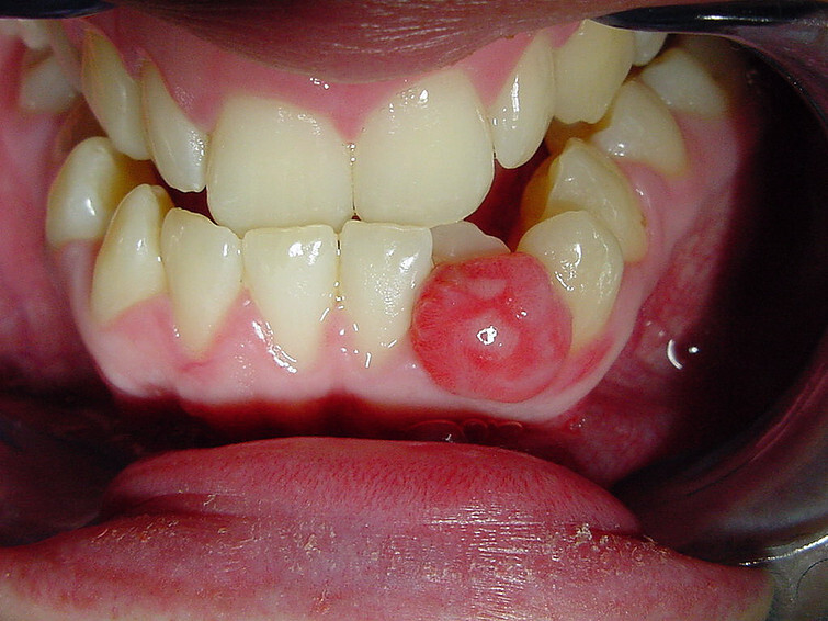
What Is a Mouth Cyst?

A mouth cyst is a thin, fluid-filled sac on the inside of your mouth. Also known as a mucous cyst or mucocele, the sac will often burst and heal by itself, says Better Health Channel, Victoria. Feeling a bump inside your mouth may annoy you, though.

These cysts commonly occur on the inside of the lips but can also form on your tongue, palate, the inside of the cheeks, the floor of the mouth or around piercings on the tongue. The mucocele sac may be pink or deep blue in colour, or it may be clear if it contains clear fluid. Your dentist can usually diagnose a mucous cyst just by examining it in your mouth.

Causes

According to Better Health Channel, Victoria, the mucous cyst may be caused by lip biting. It may also develop as a result of a damaged or blocked salivary gland.

Mouth cyst treatment

According to Dental Health Services Victoria, superficial mucoceles usually burst and heal within three to six weeks; however, if the mucous cyst enlarges, it is important to see a dentist or dental specialist so they can evaluate the cyst and then discuss which treatment options are best for you.

Dental Health Services Victoria says that sometimes your dentist or an oral surgeon will recommend to surgically remove the cyst. Complications of surgery are very rare and include the standard risks of surgery, such as infection or an adverse reaction to the local anaesthesia. Always talk to your dental professional about your treatment options and make sure you understand the risks. Your oral health is a part of your overall health.

(12/19/2022)
by Colgate

More Information: https://www.colgate.com.au/oral-health/mouth-sores-and-infections/what-is-a-mouth-cyst-0716

Views: 610
Share


My BEST Dentists Journal Headlines