My BEST Dentists Journal

All Journal Entries
Share

What Is a Root Cavity and How Can You Prevent It?

Cavities and tooth decay are kids' stuff, right? According to the Indian Dental Association, dental caries or tooth decay is a public health problem in India with a prevalence as high as 60- 80% in the Indian children. But your risk for developing cavities doesn't end once you become an adult. In fact, when it comes to adults, the National Oral Health Programme of the IDA notes that nearly 85-90% of adults have dental cavities. Adults — particularly older adults — may develop a root cavity, which is a type of tooth decay that forms on the roots of the teeth.

How Do Root Cavities Develop?

Whether a cavity forms on the root of the tooth or on a part of the tooth that is exposed, the way the cavity develops is the same. Cavities form as a result of acids produced by bacteria that naturally live in the mouth and feed on sugar. According to the Indian Dental Association, cavity-causing organisms feed on sugar and turn it into acid, which attacks tooth enamel and causes tooth decay.

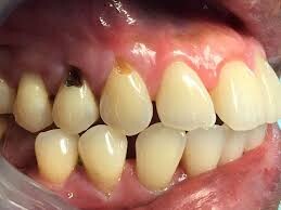
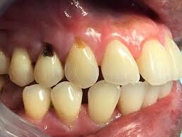
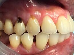
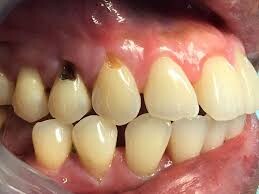
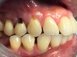
However, in the case of root cavities, the acids eat away at cementum, which is the material that covers tooth roots. The Indian Dental Association notes that tooth roots are covered with cementum, a softer tissue than enamel. They are susceptible to decay and are more sensitive to touch, hot and cold. The development of root cavities is actually twice as fast as other types of cavities, according to a review in the Cochrane Database of Systematic Reviews (CDSR).

One factor that can contribute to the development of root cavities is the recession of the gums. When gums pull away or recede from the teeth, they leave the roots exposed. According to the Indian Dental Association, root decay can develop when your gums recede enough to expose your tooth roots as well as the cementum that covers them. After prolonged exposure, your tooth roots can start to decay.

Who Is at Risk for Root Cavities?

According to a research study published in the IOSR Journal of Dental and Medical Sciences, approximately 38% of patients between the ages of 55 and 64 years have root caries , and 47% of those between 65 and 74 years have experienced root caries. One reason for the higher rates of root cavities in older adults is that older people are more likely to have gum recession than younger people are. It's also more common today for older individuals to retain their teeth throughout their life.

But, much like other types of cavities, how well a person cares for their teeth directly influences their risk of decay. If older people lose their dexterity, brushing and flossing can become increasingly difficult, so it's important for them to find ways to maintain proper oral hygiene on their natural teeth. As per a research study published in the IOSR Journal of Dental and Medical Sciences, the risk factors associated with the high prevalence of root caries among older adults Includes decreased salivary flow or xerostomia, exposure of root surfaces due to periodontal (Gum) diseases, chronic medical conditions, physical limitations, poor oral hygiene, changes in dietary habits.

How to Treat a Root Cavity

Treatment for root cavities is similar to that of other cavities. If a dentist detects the cavity early on, they might be able to stop the decay process and protect the tooth from further damage. According to Healthy Mouth Healthy Body, the treatment for tooth decay depends on how bad it is. You may be able to reverse slight tooth decay by using fluoride.

When a root cavity is severe enough to cause a person pain or to interfere with the functioning of the tooth, it's usually necessary to fix the cavity by restoring the tooth. Restoration involves a dentist removing the decayed area of the tooth, then filling it with a restorative material, such as a composite resin or amalgam filling.

What You Can Do to Prevent Root Cavities

It is possible to prevent the formation of root cavities and other types of cavities. These steps can help you avoid tooth decay anywhere on your teeth, as the ADA outlines:

Brush your teeth at least twice a day, using fluoride toothpaste. (If you have difficulty brushing, the NHP recommends using an electric toothbrush.)

Good oral hygiene is the first step to prevent tooth decay. Brush with fluoride toothpaste twice daily.

Clean between your teeth using floss or an interdental cleaner. Limit sugary snacks between meals and also limit added sugars and high-acid foods.

Avoid foods that get stuck in grooves and pits of teeth or brush /rinse soon after eating them. Rinse your mouth thoroughly after meals.

Chew sugar-free gum with xylitol, which can promote salivary flow. Whenever possible, drink some tap water as public water supplies have added fluoride, which help in reducing tooth decay significantly.

Additionally, if you have receding gums, ask your dental professional if there is anything more you can do to restore your gum health and reduce your risk of developing root cavities. By working as a team, you and your dentist can take steps to treat and prevent these cavities.

(11/19/2022)
by Colgate

More Information: https://www.colgate.com/en-in/oral-health/cavities/what-is-a-root-cavity-and-how-can-you-prevent-it

Views: 671
Share


My BEST Dentists Journal Headlines