My BEST Dentists Journal

All Journal Entries
Share

What To Do About Gum Swelling

“My gums are swollen; should I be worried?” That’s something probably everyone has asked at some point and time. Swollen gums are a common problem for many people, and different causes come into play. Most are not anything to worry about and are easily resolved with treatment. Here are some things good to know about swollen and irritated gums.

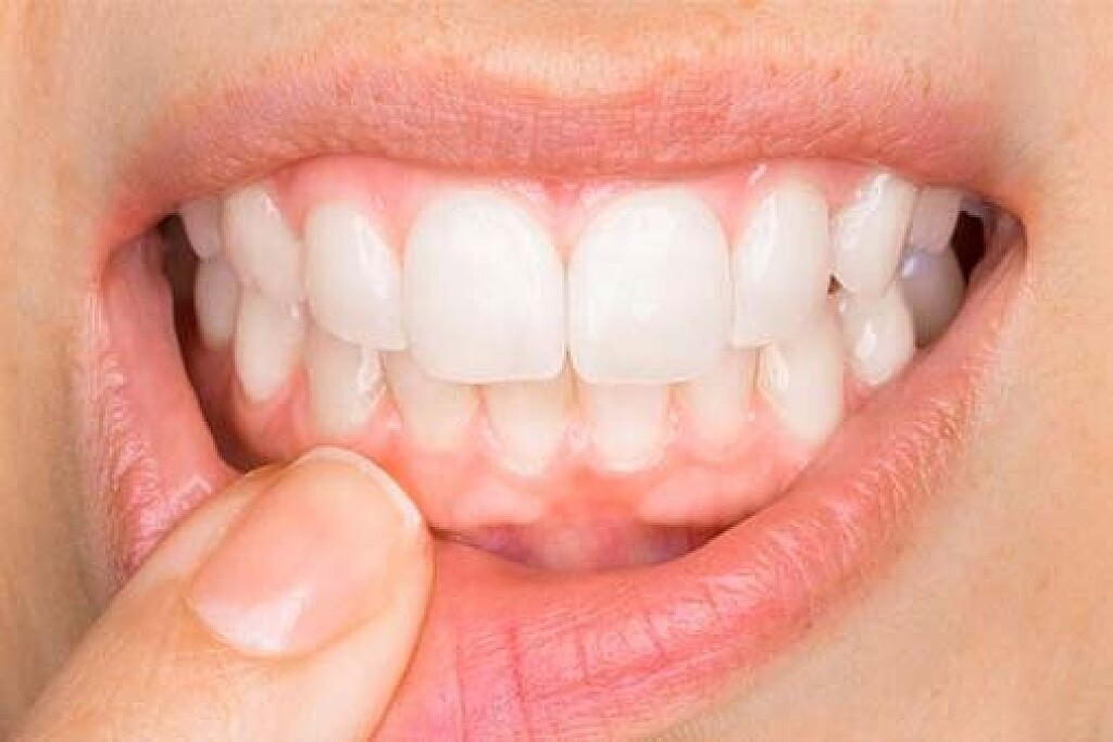
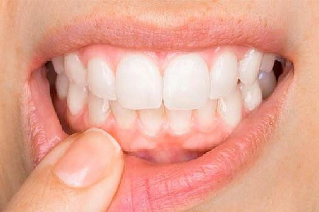
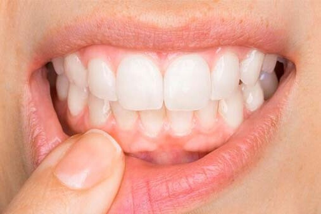
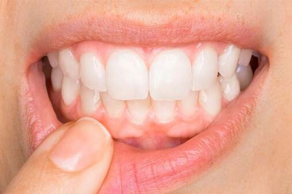
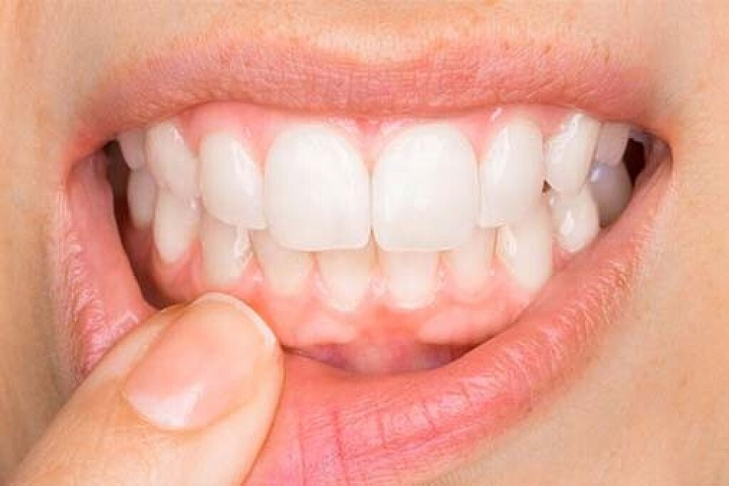
Signs of Gum Swelling

After brushing, flossing (which is also called interdental cleaning), or eating something crunchy or hard usually is when you'll notice gum swelling. Your gums may be red, inflamed, swollen, and tender. Frequent bad breath, mouth sores, and gum recession are also signs of gum swelling. You should chat with your dental professional if you have these symptoms often, if they've gone on for a while, or if things are getting worse. It might be a sign that something bigger is going on.

Causes of Gum Swelling

The leading cause of gum inflammation is plaque, also known as biofilm. Age, stress, obesity, tobacco, and genetics can increase your risk. Here are a few other common causes:

Gingivitis: The leading cause of swollen gums is gingivitis. Brush and floss well

Medications: If you've recently started a new one and are noticing gum issues, talk to your doctor. It could be a side effect from your medicine

Different toothpaste or mouthwash: If you've recently switched brands, you may be having a reaction

Poor Nutrition: Make sure to include fruits and vegetables in your diet. Also, vitamin C deficiency can cause inflamed gums if you're not getting your recommended daily dose

Pregnancy: Swollen, inflamed, and sensitive gums are common during pregnancy due to hormone changes

Fitted Dental Appliances: braces, retainers, and dentures are often associated with swollen or sore gums

Find Relief: Do's and Don'ts for Treating Swollen Gums

Here are some tips that may provide long term or temporary relief and a list of what not to do if you are suffering from swollen gums.

Do:

Make an appointment. Let your dental professionals know

Improve your oral hygiene. Brush and floss regularly

Eat better. Increase your fruit and veggie intake, and avoid sodas and caffeinated drinks for a while

Rinse your mouth with saltwater. Salt helps reduce swollen gums and eases the pain that comes with them too

Try anti-inflammatory medication. Over-the-counter medication such as ibuprofen can help reduce the swelling and provide pain relief

Eat cold foods. Eating soft, cold foods can help reduce the swelling and soothe your pain

Try benzocaine. If your swollen gums are making it hard to eat, drink, or talk, try using a benzocaine product

Don't:

Don't ignore the problem. If swelling persists, make an appointment with your dental professional

Stop using irritants. If a specific toothpaste or mouthwash irritates your mouth, don't use it. Note that mouthwashes with alcohol can also contribute to irritation

Don't use alcohol and tobacco. These products can irritate your gums and make swelling worse

Preventing Gum Swelling

Good oral care and keeping up with your routine dental visits are the best way to prevent gum swelling. You should brush and floss your teeth at least twice a day. Doing this after each meal is even better. This attention will help prevent plaque buildup that leads to gum issues. Even with excellent home oral care, plaque can harden and become tartar. That's why regular dental hygiene appointments and checkups are a must.

Swollen gums are no fun. More often than not, it's something you can take care of on your own. Once you find out what's causing your swollen gums, you can begin to treat it. Just make sure to talk with your dental professional about it if it's a chronic issue that's not getting better.

(10/09/2022)
by Colgate

More Information: https://www.colgate.com/en-us/oral-health/gum-disease/what-to-do-about-gum-swelling

Views: 588
Share


My BEST Dentists Journal Headlines