My BEST Dentists Journal

All Journal Entries
Share

What To Do With A Blocked Salivary Duct

Saliva seems trivial, but it's far from the least important part of your body. Saliva's moisture allows you to chew, swallow and even digest your food comfortably. It also helps rinse away debris from your teeth, reducing your risk of cavities and tooth decay.

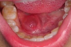
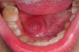
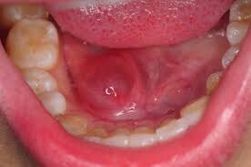
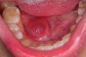
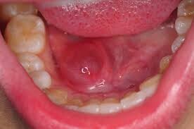
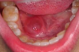
Several problems can occur in the salivary glands, though, preventing you from producing enough to keep your mouth clean. One of them is a blocked salivary duct, wherein something physically obstructs the tube that connects the gland to your mouth—causing saliva to back up in the gland.

What Causes a Salivary Gland to Become Blocked?

One of the more common causes of a blocked salivary duct is a salivary gland stone. Made from the salts that naturally occur in saliva, these stones are more likely to develop in people experiencing dehydration, suffering from gout, or taking medications that cause dry mouth.

Although stones tend to develop in the submandibular glands near the back of the mouth, they can also form in the parotid glands near the ears. When a stone forms in the duct of the parotid gland, it can lead to a condition known as parotitis, or inflammation of the gland.

Salivary stones are the most common cause of blockages, but they aren't the only things that can obstruct the ducts. In some cases, a stricture or narrowing of the duct can keep saliva from flowing. And in rare cases, a mucous plug can cause the blockage.

What Are The Signs of a Blocked Salivary Gland?

Typically, the signs of a blocked salivary duct become most visible when eating or drinking. When you start a meal, your glands begin to produce saliva. But if a stone or similar obstruction keeps the saliva from flowing through this duct into the mouth, it can back up in the gland, causing the following symptoms:

Swelling

Pain in your face

Dry mouth

Trouble swallowing

Discomfort when eating

A blocked salivary duct can also lead to sialadenitis, or an infection of a salivary gland, as bacteria are more likely to grow and multiply when your saliva is trapped in the gland. Signs of an infection can include redness, swelling, and pus.

How Do You Fix a Blocked Salivary Gland?

If you feel irritation or even just slight swelling near the site of your saliva glands – particularly when eating – it's a good idea to schedule an appointment with your doctor or dental professional. Both can feel inside your mouth to see if a stone is causing the blockage.

Often, the goal is to remove the stone blocking the duct, which can be done in several ways. You may be able to massage the stone out of place or stimulate enough saliva flow to wash it away. If not, your doctor might try to push the stone from the duct manually or perform a minimally invasive surgical procedure known as a sial endoscopy. Although removing the stone is a good option for many patients, those who develop salivary gland stones frequently need to have their doctor remove the affected gland itself.

Blocked Salivary Gland Treatment

Before your appointment, you can try these home treatments to soothe the symptoms of a blocked salivary gland:

Stay hydrated

Massage the gland and duct

Increase saliva production by sucking on candies or citrus fruit

Take pain medication

Sucking on ice

Incurring an infection thanks to a blocked salivary duct isn't fun, but your doctor will most likely prescribe a course of antibiotics to clear it up. Massaging the area can help relieve swelling and pain associated with the infection. You might also consider using a sore-specific mouthwash to minimize any discomfort you feel from the swollen gland. Rest assured, most other pain relievers can help you feel better while getting treatment for this annoying condition.

(12/10/2022)
by Colgate

More Information: https://www.colgate.com/en-us/oral-health/threats-to-dental-health/deal-with-a-blocked-salivary-duct

Views: 517
Share


My BEST Dentists Journal Headlines