My BEST Dentists Journal

All Journal Entries
Share

What are These Bumps in My Mouth

You wake up, feel something strange in your mouth, look in the mirror, and think, “Oh no! Why is there a bump in the mouth.” Well, don’t stress. First, there are some normal bumps that you can fill in your mouth. One of those is a flap found on the side of your cheek.

This little pad or flap covers the place where saliva comes out from the parotid gland, a salivary gland in the cheek. This is called parotid papilla. 

Yet another example of normal bumps is the bumps on the tongue, particularly the ones all the way back at the base of the tongue. The big ones are called the circumvallate papillae. These are located in a v-shape in the back of the tongue.

Papillae are normal anatomical features of the tongue. They play a large part in tasting food.

A common soft tissue bump can occur on the lips or in the mouth known as a mucocele. These occur when the ducts that help to drain the mucus in the lip and cheeks get injured. They are very common and are typically benign. Most of the time they burst on their own and that’s the end of it. If it persists, then a surgeon may have to lance it.

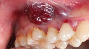
Another type of bump can come from dental infections. If the nerve of a tooth dies, the area around the root of the tooth can get infected causing swelling, usually in that area.

The swellings can get extremely large and even life-threatening. If this is the case, it is important to schedule an appointment withyour dentist. 

A common soft tissue bump can occur on the lips or in the mouth known as a mucocele. These occur when the ducts that help to drain the mucus in the lip and cheeks get injured. They are very common and are typically benign. Most of the time they burst on their own and that’s the end of it. If it persists, then a surgeon may have to lance it.

Cancer is another area that can cause bumps in the mouth. There are many types of this disease that manifest in the mouth. As with any cancer, these can be very difficult to treat. Early detection and treatment are most important to give the patient the best chance of a full recovery.

(03/12/2022)
by Aqua Spring dental

More Information: https://aquaspringsdental.com/2021/05/03/what-are-these-bumps-in-my-mouth/

Views: 795
Share


My BEST Dentists Journal Headlines