My BEST Dentists Journal

All Journal Entries
Share

What are the different stages of periodontal disease?

Four stages of periodontal disease

Periodontal disease is broken up into four different stages, which include:

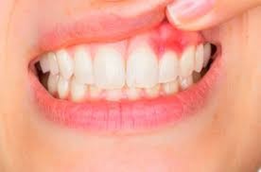
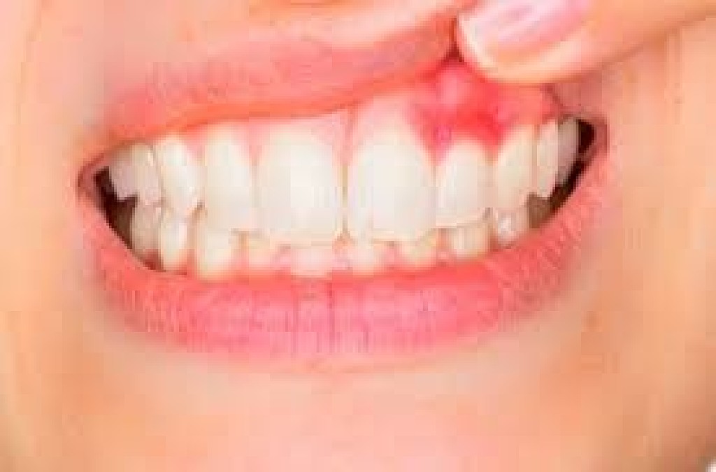
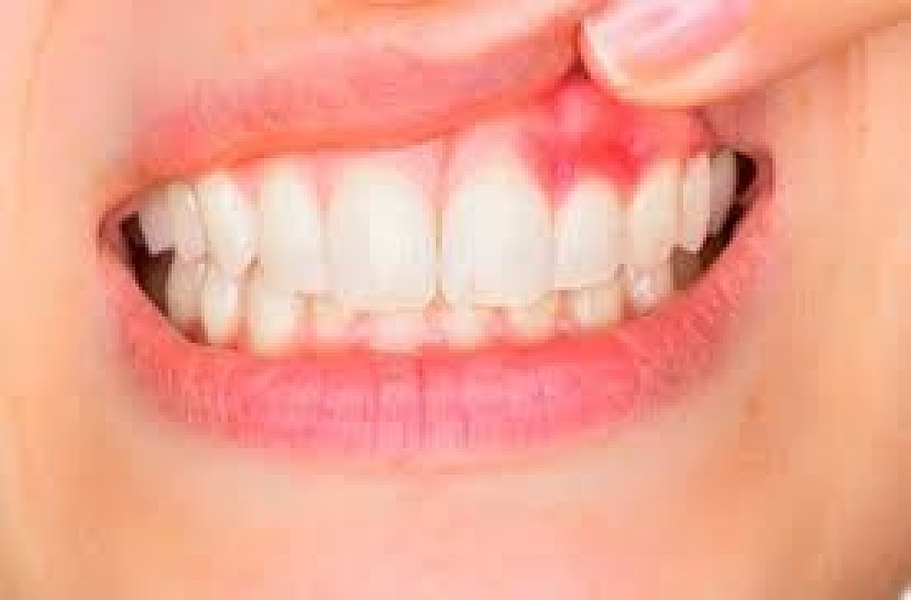
Gingivitis: This is the only stage of the disease that is reversible as it hasn’t attacked the bones yet. This is a result of plaque buildup around the teeth. Bleeding gums is one of the first symptoms you may experience. However, most symptoms of gingivitis are painless, which is what makes periodontal disease so common. Good oral hygiene and regular dental exams and routine dental cleanings can help treat and reverse gingivitis successfully.

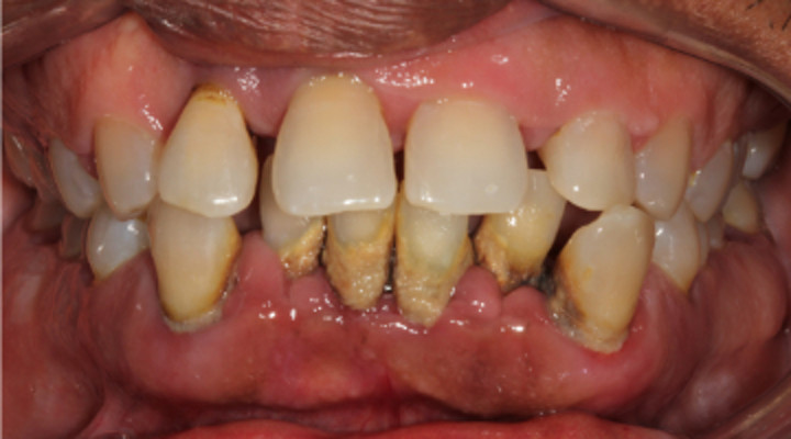
Slight Periodontal Disease: Slight periodontal disease is the second stage of gum disease. It isn’t reversible, but can be managed. Once you reach stage two, the infection has spread to the bone and has begun to destroy bones. The bacteria have become more aggressive, which is what leads to bone less. Scaling and root planing can be used to deep clean the teeth gums. It removes deposits of bacteria that are deeply rooted in your gums.

Moderate Periodontal Disease: The third stage of periodontal disease has more probing depths, which allows for even more bacteria to attack the bones and the blood stream, too. Much like slight periodontal disease, our professional specialists will use scaling and root planing to thoroughly clean the area.

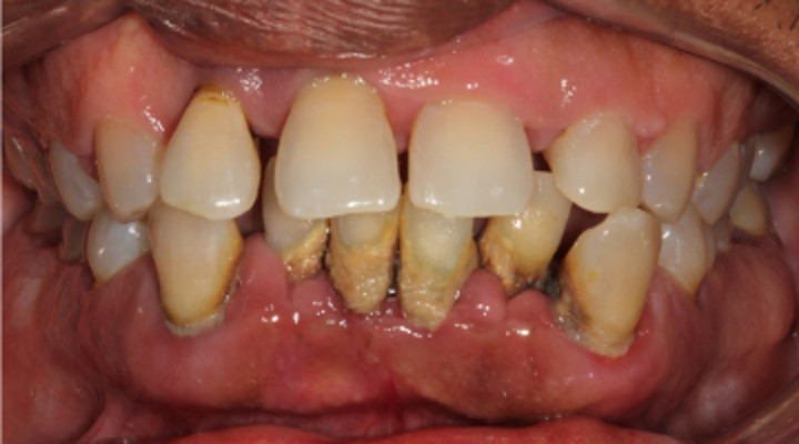
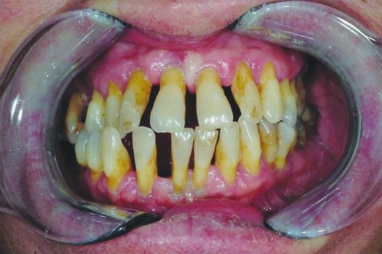
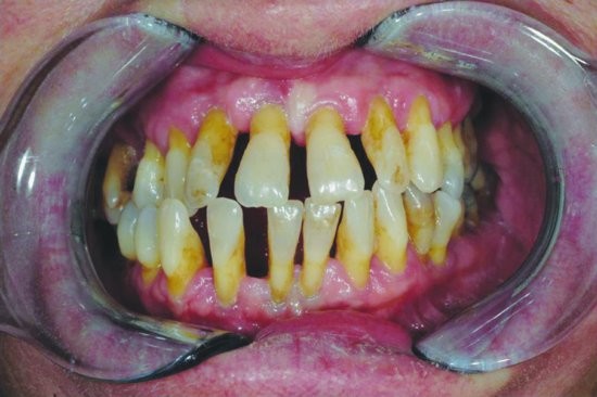
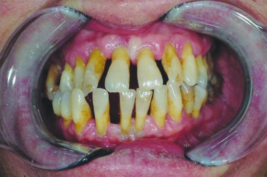
Advanced Periodontal Disease: The final stage of periodontal disease is when the infection has evolved into disease-causing bacteria. It can cause redness, swollen gums that ooze pus, sensitivity, loosening of teeth, painful chewing, severe bad breath, and bone loss. This stage requires periodontal surgery or laser therapy with the PerioLase MVP-7 TruePulse to clean the deep bacteria-filled pockets. If left untreated, stage four can lead to gaps or spacing between the teeth, the need for dentures, gum recession, and other serious health problems.

Treating periodontal disease quickly is important. At Premier Periodontics, we teach our patients good oral hygiene habits that will help them to halt the progression of their periodontal disease.

Periodontal disease treatments

The periodontal disease treatment chosen will be determined by the severity of the disease. Treating gum disease as early as possible can minimize damage and decrease the need for surgery. It also reduces the chance of tooth loss from occurring.

Some of the most common periodontal treatments that we use include:

Dental cleaning: During a routine dental cleaning, plaque and tartar are removed from above and below the gumline of the teeth. If any signs of gum disease are suspected, we may recommend more frequent dental cleanings.

Scaling and root planing: For cases that are found early, scaling and root planing is used. This deep-cleaning and nonsurgical procedure is done under local anesthesia. Plaque and tartar are scraped away from above and below the gumline, and rough spots on the tooth root are smoothed with planing. Smoothing these rough spots removes bacteria and provides a clean surface for the gum to reattach properly to the teeth.

Flap surgery/pocket reduction surgery: For advanced stages of periodontal disease, a surgery may be required. During this surgical procedure, the gums are lifted back and tartar is removed. In some situations, irregular surfaces of damaged bone are smoothed where disease-causing bacteria may be hiding. The gums are then placed so that the tissue will fit snugly around the tooth. This reduces the space between the gum and tooth, which reduces the chance of bacteria from growing.

Bone grafts: This procedure uses fragments of your own bone, donated bone, or synthetic bone to replace bone destroyed by gum disease. This promotes regrowth of bone, which makes the teeth more stable. Soft tissue grafts can also be used to reinforce thin gums or to fill in places where the gums may have receded.

Laser gum surgery: This surgery is used by periodontal specialists because it is less painful, reduces sensitivity post-op, and requires very little downtime after treatment compared to traditional osseous surgery.

(04/30/2021)
by Premier Periodontics

More Information: https://premierperiodontics.com/dental-blog/what-are-the-different-stages-of-periodontal-disease

Views: 1,104
Share


My BEST Dentists Journal Headlines