My BEST Dentists Journal

All Journal Entries
Share

What is Cracked Tooth Syndrome?

There are many different causes and types of cracks that can occur in your teeth, so we'll explore some of that as well as what your treatment options are.

What causes Cracked Tooth Syndrome?

According to Medical News Today, cracked tooth syndrome can be caused by an injury to your mouth or biting down on an unexpected piece of hard food. However, it can also happen over time due to age. In addition to standard wear and tear, you can get cracks in teeth from grinding or from abrupt changes in temperature like drinking ice water after taking a mouthful of too-hot food. It's important to note that this syndrome is common, and its causes are often accidental, noty due to a lack of proper oral hygiene or habits.

Is my tooth pain from a crack?

Tooth fissure pain may come and go depending on what movement or outside factor is triggering it, making it difficult to identify which tooth is suffering. If you suspect you're suffering from cracked tooth syndrome, these are common symptoms:

Pain when chewing or “rebound pain” when you release the pressure from biting down

Sensitivity to extreme hot or cold temperatures, as well as sweetness

Erratic pain that only occurs when you’re aggravating the cracked tooth

Swelling of the gum around the cracked tooth

If it goes on too long, you’ll find the pain no longer comes and goes but hurts consistently

Can a cracked tooth cause jaw pain? Yes, some cracks affect the root of the tooth in the jaw. If you think you're experiencing cracked tooth jaw pain see your dentist immediately.

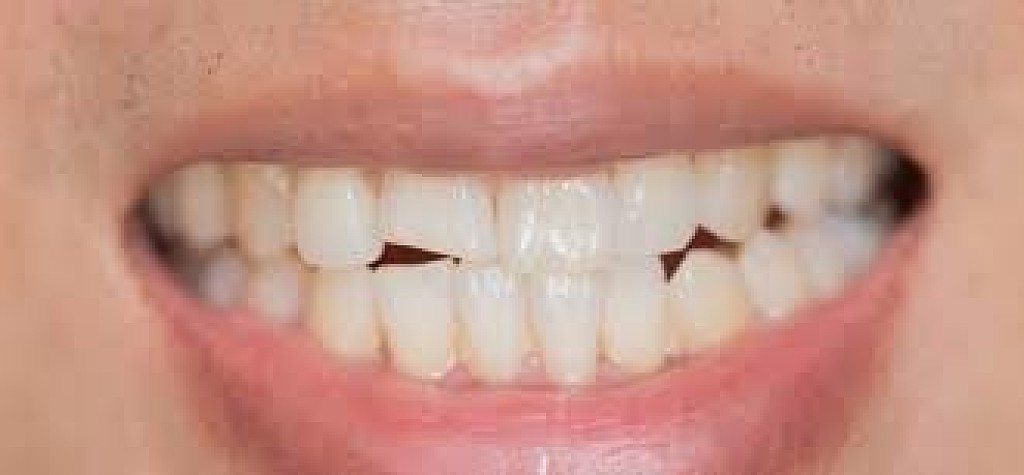
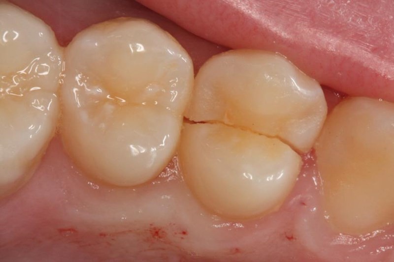
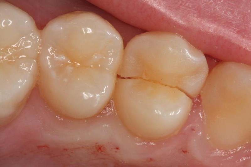
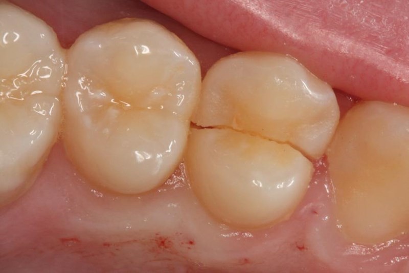
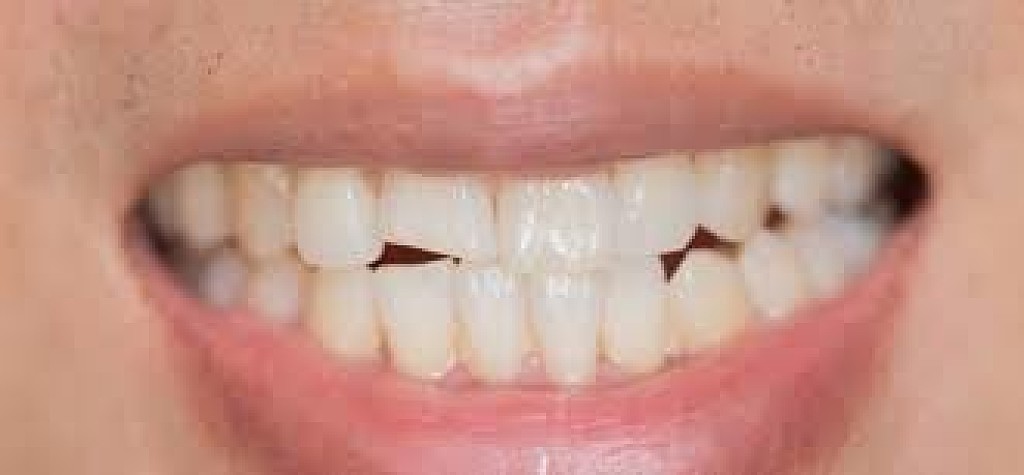
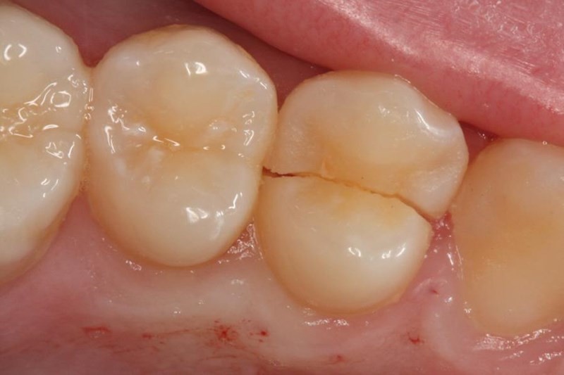
What are the types of a cracked tooth?

There are many different types of cracks in teeth, but like most conditions severity and treatment go hand-in-hand. If you know what to look for you can catch it early for an easier fix. Cracks can appear or be identified as:

Craze lines–Show up as very small cracks in the outer enamel. The good news? While common in adult teeth, they cause no pain, are very shallow, and don’t require any treatment.

Fractured cusp–This kind of crack generally occurs around a dental filling causing minor pain. Your dentist can place a new filling or crown to protect the damaged tooth.

Oblique supragingival cracks–These only affect the crown and do not extend below the gumline. As a result, the teeth affected by these cracks are usually not painful.

Oblique subgingival cracks–These do extend below the gumline, and the teeth can be painful. Treatment, such as a root canal and crown may be necessary. It's important to note that experiencing a cracked tooth after a root canal is possible since teeth that have undergone root canal treatment are weaker than normal teeth.

Oblique root cracks: The damage occurs below the gumline, most commonly in the jawbone. Tooth extraction is often the only treatment for this type of crack. Yet another reason to seek early treatment. Don’t ignore the pain, see your dentist as soon as possible.

Split tooth: Identified by a crack with distinct segments. An endodontist may be able to save a portion of the tooth depending on the position and extent of the crack.

Vertical root fracture: This is a crack that begins at the root and extends to the chewing surface. While this type doesn’t cause as much pain, they’re often diagnosed due to infection or tooth abscess in the surrounding bone and gum. An endodontist will determine the correct course of treatment.

What treatment options can I expect?

According to the American Association of Endodontists (AAE), if you think you’re feeling signs of cracked tooth syndrome, you should be on your way to the dentist’s office. Treatment options usually include:

A cracked tooth may be repaired by a filling or a crown depending on what portion of the tooth that is damaged

A root canal treatment procedure may treat the tooth

The tooth may be extracted if the cracks are below the gumline

If you're in enough pain before your appointment, you can relieve the pain by biting on a clean, moist gauze or cloth. Never use topical oral pain medications, ointments, or place aspirin on the affected area for relief. Overall treatment depends on the type of crack, how far it extends, location, and your symptoms.

How do I prevent cracked tooth syndrome?

You can’t fix cracks on your own, you can only try to prevent them. If you’re playing a contact sport or doing work where an injury could occur, make sure to wear a mouthguard or protective mask. You can still enjoy your favorite foods like popcorn or nuts, just use common sense and don’t bite down hard. Cracked teeth from grinding during sleep or due to stress and anxiety may call for wearing a retainer or mouthguard while you sleep.

Remember, ignoring the pain in your mouth or tooth isn’t a treatment plan. While concerning, the pain a cracked tooth causes is a signal to you that you should seek help. Pay attention and don’t hesitate to make an appointment with your dentist.

(12/02/2020)
by Colgate

More Information: https://www.colgate.com/en-us/oral-health/cracked-tooth-syndrome/cracked-tooth-syndrome

Views: 1,015
Share


My BEST Dentists Journal Headlines