My BEST Dentists Journal

All Journal Entries
Share

What is Dental Attrition?

Teeth have to put up with all sorts of things in the form of food every day. Too much pressure on teeth can lead to dental damage in the form of dental abrasion or attrition. The teeth enamel may wear down and may make teeth weak.

What is Dental Attrition?

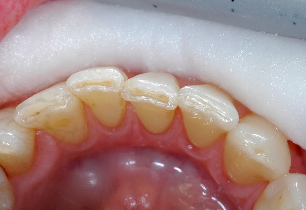
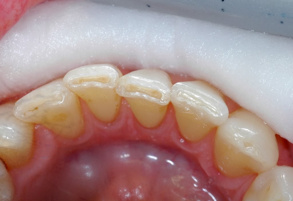
Dental Attrition is a form of dental wear caused by tooth to tooth contact. The friction caused by teeth rubbing against each other can wear away the biting surfaces of the teeth. Although attrition is often observed as a part of the ageing process, some people might experience more rapid and advanced attrition as a result of certain dental diseases and eating habits.

Bruxism characterized as teeth grinding and clenching is one of the biggest pathological reasons for attrition and can lead to severe dental wear and damage if not treated properly. In serious cases, the protective layer of the teeth, the enamel, can be worn to the point that the inner dentin of the teeth is exposed, leading to tooth decay-causing an increased dental sensitivity.

The Symptoms of Dental Attrition:

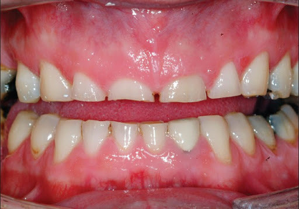
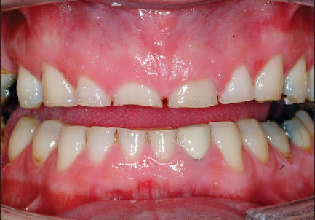
In addition to tooth decay and increased dental sensitivity, the symptoms and signs of dental attrition may also include:

Sore or tender gums:

Loss of teeth structure including flattening or thinning of the teeth

An increase in dental pain due to the loss of the enamel layer

Damage or failure of prior dental treatments.

As a result of the loss of enamel and exposure of the dentin layer causes tooth discolouration.

Erosion is also a problem in people who suffer from gastro oesophagal reflux disease (GORD). In addition to this, the risk of erosion is high in individuals with a low salivary flow rate.

Prevention:

Reducing the intake of carbonated drinks and juices with very high levels of acidity is the key to preventing erosion of the teeth.

Tooth brushing should be avoided immediately after consuming acidic drinks and meals for about 20 minutes. The acid present in these drinks softens the enamel of your teeth, making it susceptible to damage from brushing.

The toothbrush should be held using a pen-grip. Whereas, vigorous horizontal scrubbing actions and a hard toothbrush should be avoided.

Teeth should not be used as tools to hold or grip items.

Long-term use of tongue jewellery and mouth piercing should also be avoided.

Different kinds of toothpaste carry different levels of abrasiveness; whilst abrasives help to remove tooth stains but they may also contribute to tooth wear. People who are concerned about tooth wear should seek a less abrasive fluoride toothpaste. Fluoride in toothpaste also helps to combat tooth wear.

(10/08/2020)
by Barming Dental Centre

More Information: https://barmingdentalcentre.co.uk/dental-attrition/

Views: 946
Share


My BEST Dentists Journal Headlines