My BEST Dentists Journal

All Journal Entries
Share

What is Oral Myiasis?

‘Oral’ means something related to the mouth, and it can be related to teeth, gums, tongue, and maxillary Sinus.

Maxillary Sinus is crucial in dentistry; it is located inside the skin in the facial bone below the eyes and front of the ear, and it’s an air cavity lined by cells.

It transfers infection from teeth and oral cavity towards the brain, nose, and vice versa. Sinuses have close relations with the upper 2nd Molars of each side. 

‘Myiasis’- It has 2 Greek words, ‘Myia’ means fly insects that fly and ‘as is’ means disease. Flies hatch their larvae (their eggs) on the dead tissue. The larva eats the dead tissue and gets it’s nourishment from it and turns into an adult insect and flies away.

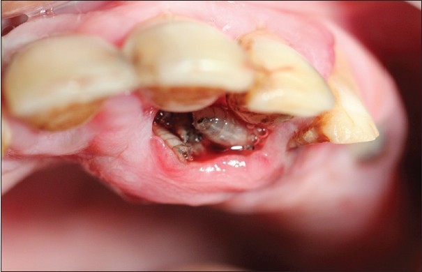
So, Oral Myiasis is a rare disease caused by the Larvae of dipterans. It is reported mostly in developing countries. Myiasis can occur in various parts of our body, not only in the oral region. It can be in the skin, nose, ear, eyes.

What Are The Causes Of Oral Myiasis?

It is caused by flies of order Dipterans, as previously said. Sarcophagidae, Calliphoridae, Oestridae, and Muscidae are genera from the order Dipterans. 

Sarcophagidae – Flesh fly

Calliphoridae – Blowfly

Oestridae – Bot fly

Muscidae – Housefly

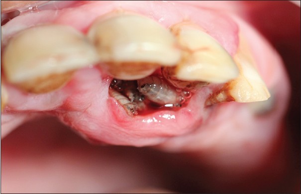
Those were some examples of genera. Mostly, it is Chrysomya bezziana (Old Screwworm or Screwworm). It is an obligate parasite; it needs some dead tissue for its species survival, propagation, and reproduction. Its female lays eggs in open wounds, ulcers, scratches, or mucous membranes.

Suppose any injury or cut occurs and remains in direct contact with the air and external environment or not banded properly in its treatment. In that case, it serves as an open wound. Ulcers happen when stomach acid damages the lining of the digestive tract. The mucous membrane is the skin and gingival of the mouth.

This disease three modes of infestation:-

Accidental: when larvae ingested along with food.

Semi specific: larvae are laid on necrotic tissue.

Obligatory: larvae affect intact skin.

Treatment Of Oral Myiasis:

We highly recommend you take the patient to a concerned dental surgeon for treatment as soon as you observe symptoms. It will be good if treatment is done early to contain its infection.

However, the treatment is the surgical removal of larvae. And the result of the activities of larvae is treated after its removal. Turpentine solution help in the extraction of maggots.

(12/21/2020)
by Nasir Ahmad Khan

More Information: https://biowellbeing.com/oral-health/oral-myiasis/

Views: 1,563
Share


My BEST Dentists Journal Headlines