My BEST Dentists Journal

All Journal Entries
Share

What is Tooth Avulsion and what should I do?

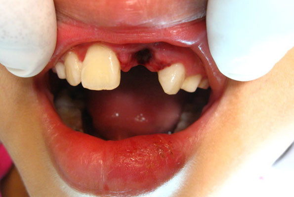
Dental avulsion is when a tooth has completely come out of its socket, following a trauma to the mouth. This could happen to either a primary (baby) tooth or a permanent (adult) tooth. The trauma could be just a fall at home – fainting and hitting the ground face first, or a sporting injury.

If it happens to a baby tooth which comes out as a whole, then the treatment is to leave it out and net replant it in the mouth. You still need to see a dentist to check other teeth and make sure there are no other injuries and also to check that the tooth has come out completely.

If it happens to an adult tooth then replanting the tooth is necessary and indicated. An avulsed permanent tooth is a real emergency situation and needs to be attended to as soon as possible. When it happens you must follow the appropriate listed steps

1.- If this happens to you, stay calm. If it happens to somebody you are with, keep the person calm.

2.- Find the tooth. When you are picking it up, it is important to hold the tooth from the top part and avoid touching the lower root surfaces.

3.- If the tooth is dirty and solid, very quickly wash it under running cold water. If possible, promptly place it back into the mouth; in its socket. placing the tooth back into the mouth can be done by the patient or their parents, or whoever feels comfortable doing it.

4.- If replacing the tooth is not possible (or if there is more than one avulsed tooth), then put it in a container of milk. If there is no milk at the time, the tooth may be placed in the patient’s mouth under the tongue, or between his/her cheek and rear molar teeth. If the patient is young, or has a disability and is unable to do the above and there is risk of swallowing the tooth, then ask patient to spit into a container and put the tooth in there.

5.- Then proceed to see a dentist as soon as possible. Please be aware, ideally you must get to a dentist within 30 minutes if the tooth has not been placed back into its socket.

(04/29/2021)
by Dr. Leila Zamani

More Information: https://www.dentist-melbourne-cbd.com.au/what-is-tooth-avulsion-and-what-should-i-do/

Views: 543
Share


My BEST Dentists Journal Headlines