My BEST Dentists Journal

All Journal Entries
Share

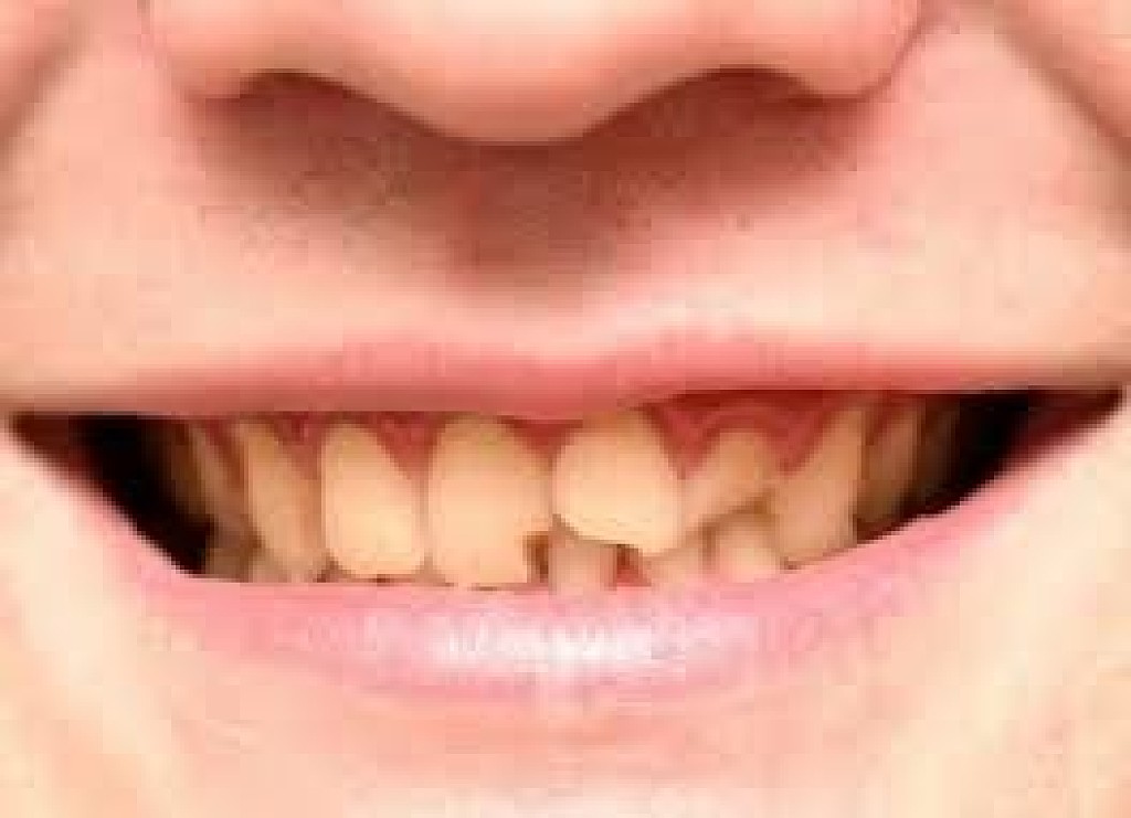
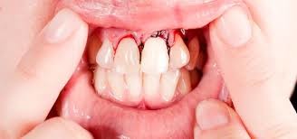
What is a dislodged tooth?

A dislodged tooth, also known as an avulsed, extruded or luxated tooth, is generally caused by trauma to the mouth which has resulted in the tooth being pushed up into or out of its socket usually through some sort of force or trauma like a fall or accident. To avoid the need for a painful and expensive root canal treatment, a lost tooth must be treated in as soon as possible.

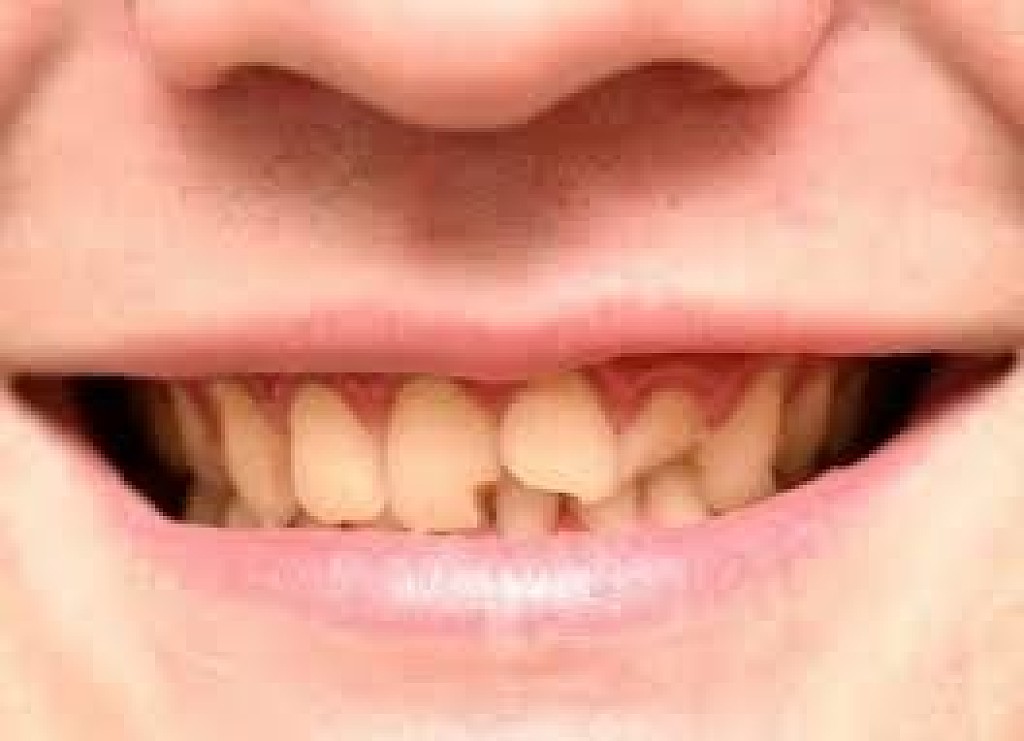
What can I do if a permanent tooth gets knocked loose?

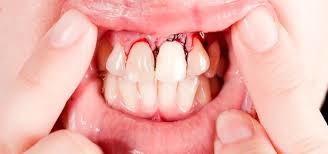
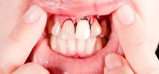
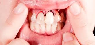
A tooth that has been partially or completely knocked out is considered a dental emergency and needs immediate treatment at the dentist. Contact an emergecny dentist and schedule an appointment as soon as possible.

If the tooth is still in its socket, attempt to replace the tooth to its correct position and press onto the crown till it sits level with the adjacent tooth.

If a tooth has been completely dislodged rinse the tooth with water, do not scrub the tooth, and attempt to place it back into its socket.

If a tooth cannot be placed back into the socket, drop it into a cup of milk and head to the dentist immediately.

How does a dentist save a dislodged or loose tooth?

It is possible to save a tooth that has been knocked out of its socket. Properly clean and story the tooth, and head to the dentist.

The dentist begins the process by anesthetizing and cleaning the affected area. If the tooth is visibly intact the dentist will reposition and stabilize your tooth, then perform a series of x-rays to see if the root’s nerves or blood vessels have been fractured or damaged.

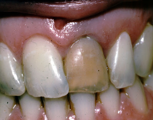
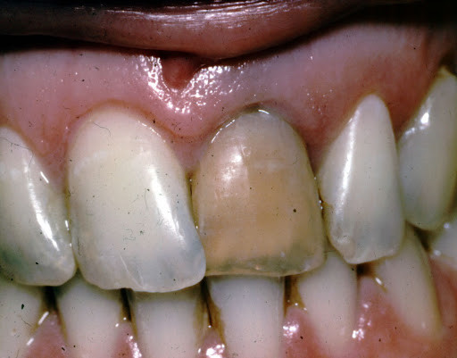
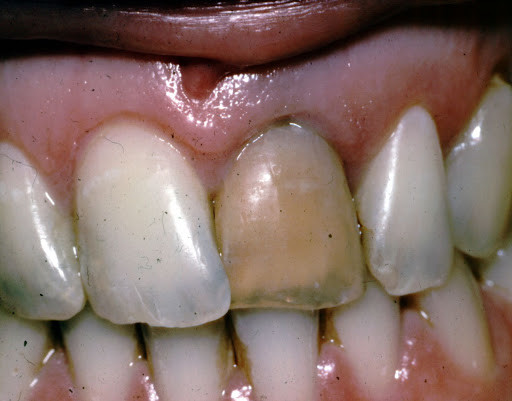
The dentist may also recommend additional tests at follow-up appointments as x-rays may not be entirely accurate immediately following a tooth’s injury. Permanent damage to the root, nerve or blood vessels can require a root canal treatment to prevent the tooth’s discoloration or abscess, which is a serious infection.

If a child sustains a dislodged or knocked out tooth, in particular to a primary tooth treatment to save a tooth may not be as complicated or serious since permanent teeth are still developing.  In the case of permanent teeth, it is important to attempt to save and reposition the tooth with the help of the dentist.

Generally there are three main ways to save a loose or knocked out tooth:

Using a composite resin material along a wire and bonding it to the tooth

Bonding an orthodontic bracket to each of the teeth involved and connecting the braces with a wire

Fusing a synthetic cloth or metal mesh to the back of the affected tooth/teeth.

How does a knocked out tooth heal?

Keep in mind that without dental intervention, you risk permanently losing your tooth or causing an infection. Always follow instructions on care and cleaning provided to you.

Once the dentist has replaced a tooth in its socket, it can take a minimum of 7 to 10 days to heal and set within the socket. It is essential that you follow up with your dentist.  If upon further testing, it appears your tooth’s nerve or blood vessels are damaged, further treatment to save the tooth might be required.

(10/19/2020)
by Jefferson Dental Clinics

More Information: https://www.jeffersondentalclinics.com/dental-services/emergency-dislodged-tooth#:~:text=A%20dislodged%20tooth%2C%20also%20known,like%20a%20fall%20or%20accident.

Views: 1,439
Share


My BEST Dentists Journal Headlines