My BEST Dentists Journal

All Journal Entries
Share

What is dental scaling?

Dental scaling is a routine procedure that is used to help those with an excessive plaque or gum disease. It is a form of cleaning that goes much deeper than regular cleaning. It can be an uncomfortable procedure, so if your dentist has suggested it for your teeth, read on so you know what to expect.

Scaling and Root Planing

As these two procedures usually go hand-in-hand we will explain both of them.

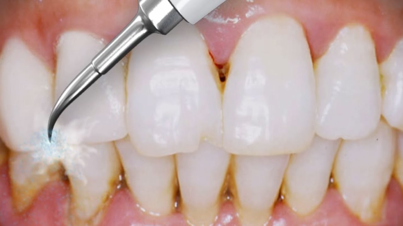
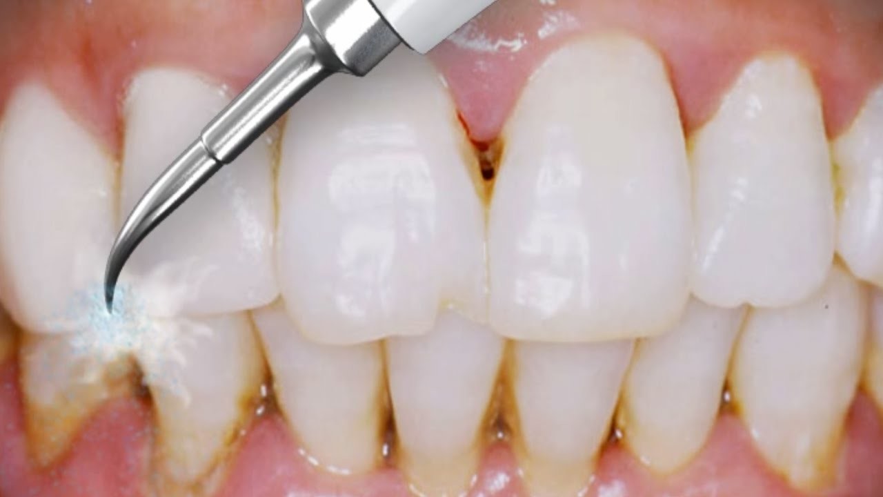
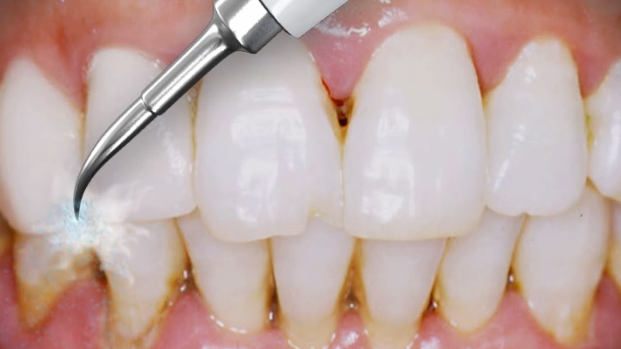
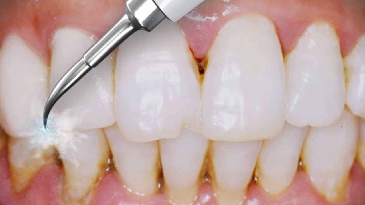
Dental, or tooth scaling, involves removing plaque buildup from the tooth’s surface and from below the gumline. This can be done in two ways, by hand or using an ultrasonic tool.

If your dentist chooses to work by hand, they will use thin metal tools known as a dental scaler and curette. The scaler is used to remove plaque from the visible surface of the teeth, the curette, which has a different shaped head, is inserted between the gum and tooth and cleans the area just below the gum line.

Mechanical scaling is performed using an ultrasonic instrument with a vibrating metal tip and a water sprayer. The metal tip chips away the plaque which is then flushed out by the water.

Root planing is done in the same way as scaling but goes much deeper below the gumline, cleaning and smoothing the roots of your teeth so the gums can reattach properly.

Why Do I Need Teeth Scaling?

Even with a good oral hygiene regime, everybody experiences some plaque buildup. Normally this is kept in check through brushing and regular dental checkups. If it is not, it can lead to tooth decay and issues such as gingivitis or periodontitis, types of gum disease.

Healthy gums are attached to the teeth from 1 to 3 millimeters below the gumline. They fit closely to the teeth and protect the roots from bacteria carrying plaque that can make the roots decay. Once gum disease starts to take hold, the gums loosen and pull back from the teeth, leaving exposed pockets that will trap even more plaque and bacteria, speeding up the process of decay. If you have developed pockets of more than 4 mm deep, your dentist will probably recommend dental scaling and root planing as the first step in your treatment.

Is Scaling Painful?

As it involves having sharp metal instruments poked between your gums and teeth, it can be quite an uncomfortable procedure. Some form of sedation and, if you have sensitive gums, local anesthetic is usually recommended for those undergoing the procedure.

Scaling is usually done in several visits as it is a very time-consuming operation. Each visit concentrates on a different section of the mouth and the overall number of visits necessary will be determined by the density of the plaque to be removed.

Are There Any After-effects?

Your mouth will feel sore and tender for a few days after the procedure. If the plaque build-up was extensive you might even experience some bleeding. This can be managed with desensitizing toothpaste and/or medicinal mouthwash.

After dental scaling, it is important to brush and floss regularly and follow any other instructions your dentist might give you about oral hygiene. If not, the plaque, and then the gum disease will return and you’ll have to go through the whole procedure again.

Dental scaling can help correct the damage done to your teeth and gums by neglect, and after the procedure, you will enjoy noticeably whiter teeth and fresher breath so if you think you might benefit from this procedure book an appointment today and we will be happy to explain your options to you.

(09/15/2020)
by Doral Sedation & Family Dentistry

More Information: https://www.doralsedationdentistry.com/blog/what-is-dental-scaling/

Views: 539
Share


My BEST Dentists Journal Headlines