My BEST Dentists Journal

All Journal Entries
Share

What is the Best Alternative for a Missing Tooth?

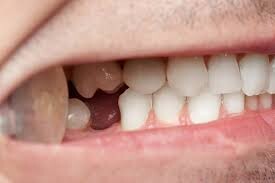
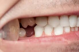
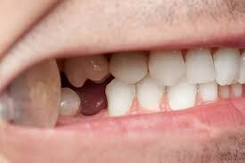
A missing tooth significantly impacts how well your mouth works, your smile, and your self-confidence. If a tooth is missing, it needs to be replaced ASAP! And you have two options:  a dental implant or a dental bridge.

Understanding Your Options for a Missing Tooth

The structure of your tooth includes the bone, ligaments, and nerves surrounding it. When this structure is removed, everything around your missing tooth begins to deteriorate. This is why it’s important to replace missing teeth ASAP.

Dental implants and dental bridges address the same challenges but different options. Here’s what you need to know about implants and bridges to determine what’s best for you.

What is a Dental Implant?

A dental implant is a titanium metal post, an abutment, and a crown. It replaces the structure of a missing tooth. New bone grows around metal implanted where your tooth used to be for the next two months. This is called osseointegration. Once your dentist tests the new structure and deems it secure, he screws a crown on top of the implant and seals it into place.

The Pros and Cons of a Dental Implant

The pros of a dental implant:

Less of a burden is placed on surrounding teeth

Healing of the bone structures and gums under the tooth is promoted

Long-term risks to the jaw are reduced

High-quality dental implants last a lifetime

The cons of a dental implant:

It’s costly, especially when more than just one tooth needs to be replaced or other teeth in different spots need to be replaced. Replacing one tooth with an implant can cost several thousand dollars.

Implants tend to take longer. And they require multiple procedures to reach completion. Oral surgery is often a required part of the implant process. So your mouth takes months to heal after the initial implant is implanted.

What is a Dental Bridge?

If a large number of teeth need to be replaced, your dentist may use a traditional dental bridge instead of an implant.

A dental bridge is an appliance that attaches to the healthy teeth surrounding the gap left by a missing tooth. Traditionally, the two teeth on opposite sides of a gap are shaved down to accommodate a bridge.

A cap is then placed over each tooth accompanying the bridge, replacing the missing tooth. Dentists often use a Maryland bridge. These devices are embedded into the neighboring teeth, instead of one fully capping them.

If there aren’t teeth on both sides of a gap, a dentist may install a cantilevered bridge. This type of bridge is attached to a single tooth on one side. Then the bridge structure hangs over the gap.

 

The Pros and Cons of a Dental Bridge

The pros of a dental bridge:

Offer a quicker process for replacing missing teeth. They typically take no longer than a few weeks

Considered to be one of the most cost-effective methods for replacing missing teeth

Don’t require bone grafting if bone loss is present. Bridges also offer a quicker process for replacing missing teeth.

The cons of a dental bridge:

Dental bridges place a greater strain on surrounding structures, especially the two teeth which are attached to the appliance. For this reason, a bridge isn’t expected to last a lifetime.

Unlike dental implants, bridges don’t address underlying structural problems. This means long-term bone loss issues due to the removal of teeth will continue even after the gap is addressed with a bridge.

And cantilevered bridges are especially notorious for creating problems. They place a high level of stress on the single tooth to which they’re attached. Maryland bridges often come with problems, too. Since there is a small amount of tooth to which they are attached, they have a limited in the amount of force they can absorb. And Maryland bridges must be properly maintained. Poor maintenance can lead to losing additional teeth.

Using Both Implants and Bridges

 

There are cases where dentists recommend using both implants and bridges in a patient’s mouth. For example, an implant can be put at one end then attach a cap the other end of a row of missing molars. This creates a bridge from an implant post to a healthy tooth or another implanted tooth.

(02/11/2024)
by Davis Dental P.C.

More Information: http://www.davisdentalpc.com/2019/06/15/best-alternative-missing-tooth/

Views: 541
Share


My BEST Dentists Journal Headlines