My BEST Dentists Journal

All Journal Entries
Share

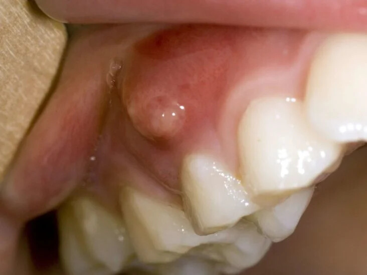
When To Receive Gum Abscess Treatment

The vast majority of gum or periodontal diseases are painless and rarely require urgent dental attention. The gum abscess is a common exception. Associated with pain that does carry a more pressing need, this acute problem will require a visit to a dentist to make the appropriate diagnosis and provide a form of gum abscess treatment that relieves your irritation. Other signs and symptoms of a gum abscess include swelling, redness, bleeding and pain when chewing.

Gingival Abscess

The first type is called a gingival abscess because it is contained in the area of the gum that is closest to the "neck" of the tooth. The tooth usually doesn't have preexisting pockets or bone loss, suggests the University of Medicine and Pharmacy of Târgu MureČ™, and often catches inflammation caused by food or foreign-body impact into the gum area around this particular tooth.

Periodontal Abscess

The second and more advanced form of gum abscess is the periodontal abscess. This is associated with a tooth that already has a periodontal pocket and a degree of bone loss. Like the gingival abscess, however, it can also be caused by food or a foreign object impacted into the pocket around the tooth. Coming on its own as your gum problem worsens, this condition can still develop after a dental cleaning where germs still overgrow despite having recently received treatment in the area.

Making the Diagnosis

Your dentist will need to take an X-ray of the affected spot and, with a dental probe, check the gum pocket for pus, bleeding, swelling and pain. The nerve within the tooth will also need to be tested to make sure the abscess is not present due to the need for a root canal or because an existing root canal is reinfected. Tooth loss or fractures into the root are also possible in some situations.

How It's Treated

It's important that you receive gum abscess treatment not just to address what may have caused the condition, but also because it can lead to further bone loss around the tooth above it. This treatment will usually involve draining the abscess either through the gum pocket or from the outside of the gum with an incision. Local anaesthesia is usually required in these cases. Next, the tooth root needs to be cleaned to remove any food, tartar, foreign material or germs. This is done with a variety of dental instruments you may have seen used before. Lastly, depending on the severity of the problem, local or systemic antibiotics may be given to curb infection. Of course, pain medication may also be provided for lingering irritation or a younger individual.

Home Care

Prior to visiting your dentist, consider rinsing with warm salt water and a mouthwash. You may also need to brush or floss the area – aside from your twice-daily routine – to remove any foreign bodies or food that may still be stuck inside.

Ultimately, however, prevention is your best approach; see your dentist on a regular basis and use quality oral health products that keep any periodontal irritation from creeping up before it becomes too much to handle on your own.

(05/22/2023)
by Colgate

More Information: https://www.colgate.com/en-za/oral-health/adult-oral-care/when-to-receive-gum-abscess-treatment-1015

Views: 526
Share


My BEST Dentists Journal Headlines