My BEST Dentists Journal

All Journal Entries
Share

White Spot on Tongue: Causes And Treatment

You might notice a white spot on the tongue after experiencing discomfort or when checking inside your mouth after brushing your teeth. Most of these spots or patches go away by themselves, but it's worth visiting a dentist to have them checked out if they linger. Oral thrush, canker sores and leukoplakia are the most common causes of white spots on the tongue. Here are a few conditions that can cause white spots on your tongue, and when it's time to see your dentist.

Oral Thrush

Oral thrush, an overgrowth of a naturally occurring fungus, often appears when the immune system is depressed. Babies, denture wearers, patients with cancer, HIV and other immune-compromising conditions, anemia and diabetes patients, smokers and dry mouth sufferers are all at a higher than normal risk of developing oral thrush. A course of antibiotics can also trigger an attack.

It's rarely serious, but a long-term infection may require treatment. Creamy white lesions on the tongue are one sign of thrush; other symptoms include:

White patches in other areas of the mouth

Lesions that look like cottage cheese

Red, cracked corners of the mouth and lips

Loss of taste

Cotton mouth or dry mouth

Scraping oral thrush spots usually removes the white coating, but this can also cause slight bleeding.

Apthous Ulcers (Canker Sore)

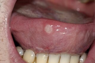
A white spot on the tongue surrounded by a red, inflamed halo is probably an apthous ulcer, more commonly referred to as a canker sore. Aphthous ulcers is a painful inflammatory condition that occurs in the oral soft tissue and on the tongue - often as one or more oval/round or well-defined, grey-yellow ulcerations surrounded by redness..

These common and recurring lesions can be small or large and appear on their own or in groups. Canker sores are often painful, and scraping doesn't remove them.

Viruses, bacteria and immune system issues are some suspected causes of canker sores. Trauma, allergies, stress, cigarette smoking, medicines, hormones, iron and vitamin deficiencies make you more susceptible.

Leukoplakia

White or greyish patches called leukoplakia usually appear on the gums, the bottom of the mouth or the insides of the cheeks, but sometimes they appear on the tongue as well. Wiping or scraping does not change their appearance or texture, which may be thick or hardened. You would usually not have any symptoms from your leukoplakia.

Chewing or smoking tobacco and drinking alcohol cause most cases of leukoplakia, and about 75 percent of smokeless tobacco users develop leucoplakia. The condition also carries a small risk of developing into oral cancer - it is therefore important to see your dentist regularly for check of the leukoplakia.

Hairy Leukoplakia

Fuzzy white patches that appear on the sides of the tongue as ridges or folds are symptoms of hairy leukoplakia. These patches result from infection with the Epstein-Barr virus (EBV), which lasts a lifetime but remains dormant in the body until a weakened immune system sparks an attack.

When to Visit Your Dentist

If a white spot on the tongue doesn't go away after a week to ten days, visit your doctor to have it checked. Some conditions, like thrush, may go away on their own, but it's always wise to go see your dentist or doctor for a consultation to make sure it's not something more.

To help keep your mouth fresh and healthy and reduce the risks of white spots and other problems, brush twice a day with a fluoride toothpaste and quit smoking. We also recommend using a medicated alcohol-free mouthwash such as Peroxyl Medicated Mouthwash. This mouthwash facilitates healing and alleviates discomfort caused by minor mouth and gum irritations, such as aphthous ulcers, pericoronitis and trauma from fixed orthodontic braces. Most people experience white spots on the tongue at some point in their lives and for many they're a common occurrence. Though the spots are unlikely to be harmful, they could be a sign of something more serious. If you're concerned, a check-up at your dentist can put your mind at rest.

(02/17/2024)
by Colgate

More Information: https://www.colgate.com/en-gb/oral-health/mouth-sores-and-infections/white-spot-on-the-tongue-1215

Views: 722
Share


My BEST Dentists Journal Headlines