My BEST Dentists Journal

All Journal Entries
Share

Why Gum Disease Is so Harmful to Your Oral Health

Gum disease affects 47.2% of adults over the age of 30. Unfortunately, that number skyrockets up to 70.1% in adults over the age of 70. In other words, gum disease is extremely common, but thankfully, it’s something we treat here at The Dental Center of Hercules in Hercules, California.

In this article,  Dr. Lovely Manlapaz Teodoro discusses why gum disease is so harmful to your oral health and what you can do to improve your dental health.

What is gum disease?

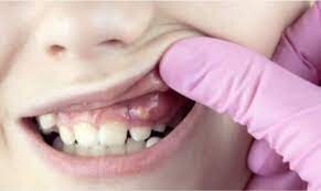
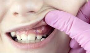
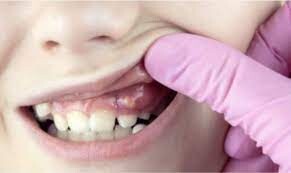
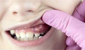
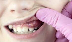
Gum disease, also called periodontitis, starts with a bacterial overgrowth in your mouth. During the earliest stage of gum disease (gingivitis), bacteria-laden plaque builds up and irritates your gums. This can lead to bleeding or swollen gums. The good news is that gingivitis is still reversible, and your bones and teeth haven’t been permanently damaged.

If gingivitis remains untreated, however, it can progress to advanced periodontitis. During this stage of gum disease, the inner layer of your gums starts to pull away from your teeth. This forms pockets called periodontal pockets. Bacteria and debris can get lodged in these pockets. The toxins produced by the bacteria and your body trying to fight the infection can start to break down the bones and connective tissues that keep your teeth in place. At this point, you may notice that some of your teeth are wiggly.

How does gum disease affect your oral health?

Despite the name, gum disease affects more than just your gums. Gum disease can wreak havoc on your oral health and impact nearly every part of your mouth. 

Gum disease can cause:

Bad breath

Swollen gums

Red and bleeding gums

Loose teeth

Permanent tooth loss

Sensitive teeth

Receding gum line

Altered denture fit

Changes to your bite

When your bite changes and when you lose teeth, you’ll also notice that it’s harder to form clear sounds when you speak. Depending on which teeth you lose (or if your dentures fit differently), you may also find that eating is difficult.

Beyond your oral health

In addition to negatively impacting your oral health, gum disease affects your overall physical and mental health too. Studies show that there is a link between gum disease and other conditions, such as diabetes, stroke, heart disease, and increased risk of premature birth and low birth weight.

How does gum disease increase your risk of strokes? Researchers found that gum disease was linked to an increased risk of strokes caused by severe artery blockages. They also found  P. gingivalis (gum bacteria) in carotid arteries and Streptococcus sp (gum infection bacteria) inside blood vessels in the brain. 

Gum disease can also negatively impact your mental health and self-confidence. 

Treating gum disease can improve your oral health

Treating gum disease can help you avoid the unwanted complications of untreated gum disease. Your specific treatment depends on how severe your gum disease is. Potential treatments include:

Improved at-home oral hygiene

Scaling and root planing

Laser gum surgery

Gingivectomy

Gum disease is the leading cause of tooth loss in adults, and unfortunately, once your natural tooth is lost, it can’t be replaced. If you’re concerned about gum disease, call your dentist to explore your gum disease treatment options.

(04/20/2024)
by C. Manlapaz Teodoro, DDS,

More Information: https://www.thedentalcenterofhercules.com/blog/why-gum-disease-is-so-harmful-to-your-oral-health

Views: 537
Share


My BEST Dentists Journal Headlines