My BEST Dentists Journal

All Journal Entries
Share

Why you should never ignore a mouth ulcer that won´t heal

Are you prone to getting mouth ulcers? There are a number of different contributing factors and presentations of mouth ulcers; and thankfully most are harmless and heal on their own. However, there are some that can appear very similar but are in fact far more serious. If your mouth ulcer isn’t healing, we recommend you visit us immediately to assess the possibility of mouth cancer. Any mouth ulcer that has been present for more than three weeks must be treated as serious until proven otherwise.

What is an ulcer?

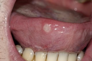
A mouth ulcer, otherwise known as a canker sore or an aphthous ulcer, occurs when there is a break in the skin of the mouth (mucosal lining), exposing the underlying connective tissue. It may have a 'crater-like' appearance and is often red and painful, similar to a blister in the mouth. 

Most people experience a single mouth ulcer but it is not uncommon to develop several ulcers at once. Mouth ulcers affect both men and women, although women and teenagers are more commonly affected. The causes of mouth ulcers can be extremely variable, and there are a number of triggers that can be responsible.

Aphthous ulcers are the most common type of mouth sore, and are generally the result of some kind of trauma and/or reduced immune response. These sores typically heal in a week or two, but they can recur throughout the person's lifetime. 'Major' aphthous ulcers are greater than 1 cm in diameter and take much longer to heal. Common mouth ulcer causes that we see include:

An injury by something sharp, (toothpick, braces, denture, appliance, sharp food, accidental bite, hard tooth brushing)

Trauma from acidic or hot foods (pineapple, strawberries, citrus, hot drinks).

Reduced immune response due to stress or lack of sleep.

Hormonal fluctuations, especially in women and adolescents.

Lack of essential vitamins, especially B-12, zinc, folate and iron.

What is the cause of an ulcer?

In Children

Viral mouth sores are more commonly seen in children. Herpes simplex virus, which causes small, painful ulcers on the lips, mouth and throat, is often accompanied by fever and swollen neck glands. Preschool children are also vulnerable to a viral infection that produces small blisters on the hands and feet, along with the mouth ulcers—also known as 'hand, foot and mouth disease'. These conditions can be very uncomfortable and painful enough to interfere with eating, but they usually are not serious. If the child is healthy and has normal immunity, the viral infection usually clears up in 1 to 2 weeks.

In Adults

Further testing may be required to identify a possible systemic cause when there is no obvious cause for an ulcer presenting. Miscellaneous mouth ulcers are associated with a number of underlying conditions including: blood abnormalities, medication side effects, skin conditions that produce ulcers on other areas of the body, intestinal disorders (like Crohn's disease and ulcerative colitis), and radiation treatments in the head and neck area.

Unlike the relatively benign examples mentioned above, oral cancers may initially show up as a mouth ulcer. Oral cancer can present itself in many ways: some people first become aware of an ulcer that won't heal: these lesions are usually a painless mouth ulcer, but it doesn't come and go the way other mouth ulcers do. Any mouth ulcer that has been present for more than three weeks must be treated as serious until proven otherwise. Similarly, if you have developed a red , white or mixed red and white patch, you must urgently seek a professional opinion.

What are the stats for oral cancer?

If you look at the statistics, about 50% of people with oral cancer die from their disease even after extensive surgery and radiotherapy. While small oral cancers that are detected early have a 80-90% cure rate, many oral cancer sufferers don't see an expert until it is at an advanced stage.

Oral cancer mainly used to be a disease of older people, contracted after a lifetime of smoking and drinking (the main causes). But things are changing and both oral and maxillofacial surgeons are seeing an increase in young people with mouth cancer. This could be related to the spread of the human papilloma virus (HPV) through sexual contact.

What should I do?

Too many young people with oral cancer don't go to their doctor or dentist soon enough. This is either because they haven't heard of oral cancer or they don't believe they can get it because they don't smoke. The fact that oral cancer is becoming a serious cancer among younger people who don't drink or smoke is not getting through to people. Remember: young, fit and healthy individuals can get oral cancer too. 

That's why youhave to take the time to complete a thorough oral-facial assessment for any changes, lumps or bumps in the soft and hard tissue in the entire head and neck region. Because early detection is the key and oral health is more than just your teeth! If you have noticed a mouth sore that won’t heal, be sure to book in a consultation with your dentist.

(01/04/2021)
by Bite Dental Studios

More Information: https://bitedental.com.au/why-you-should-never-ignore-a-mouth-ulcer-that-wont-heal/

Views: 1,272
Share


My BEST Dentists Journal Headlines