My BEST Dentists Journal

All Journal Entries
Share

Wisdom Teeth Problems? How to Know if You Need Treatment

Wisdom teeth typically don’t start coming in until early adulthood – typically between the ages of 17-25. However, these rear molars can pose wisdom teeth problems before, during, or even after they come in. How can you tell if your wisdom teeth could be a problem for you? Let’s start by looking at what makes wisdom teeth different from your other teeth.

What Makes Wisdom Teeth Different?

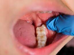
The main reason wisdom teeth require a more watchful eye than other teeth is because they come in once all your other teeth have been set. This means that they may not have the space they need to make their way to the surface of your gums. This is what an impacted tooth is, and it can cause pain, swelling, and other unpleasant issues.

Impaction looks different for each patient, and for each tooth. The most mild form of impaction is when the tooth simply can’t break the surface of the gum because it doesn’t have room. More advanced impactions are when the tooth grows sideways, into another tooth, or backward. If left unaddressed, problems like these could cause more problems down the road.

Do You Have Wisdom Teeth Problems? Ask Yourself These Questions

Paying attention to your dental health will help you spot wisdom tooth problems as early as possible. If you still have your wisdom teeth, ask yourself these important questions to see if your wisdom teeth could be a problem for you:

Do you have pain and irritation toward the back of your mouth?

Are your gums unusually sore and inflamed?

Do you have difficulty eating because of your pain?

Are you experiencing more frequent sinus issues or headaches?

If you’re having one or more of these symptoms, they could mean that your wisdom teeth are moving – and possibly creating problems. The next step for you to take would be to visit your dentist to get a conclusive answer as to whether your wisdom teeth are creating problems or not. Premier Dental Group regularly accepts new patients that need answers to their wisdom tooth questions.

Visiting a Dentist

Your dentist will be able to use expertise and technology to help you determine the next steps for your dental health. Sometimes wisdom tooth pain and inflammation come simply from the wisdom tooth eruption process. Other times, the pain stems from other issues, like:

A cyst forming in the area

Wisdom teeth coming in crooked

Cavities forming

Incorrect wisdom tooth growth

Wisdom tooth growing into the sinus cavity

(06/18/2024)
by Premier Dental Group

More Information: https://www.dentistsinknoxvilletn.com/wisdom-teeth-problems/

Views: 481
Share


My BEST Dentists Journal Headlines