My BEST Dentists Journal

All Journal Entries
Share

Yes it is possible to get a whole new set of teeth

Struggling with dental issues can be painful and stressful. If you’ve been dealing with tooth loss and wish you could have a new set of teeth, implant surgery can make this happen.

Dental implants have been in use for decades now and have an excellent track record. These teeth act just like your regular teeth so you have no food restrictions and they don’t need a complicated maintenance routine, just good oral hygiene practices and routine check-ups will suffice to keep them in good shape.

Why should I choose implants over dentures?

Dentures are a temporary, removable set of replacement teeth that fit into your jaw. Unfortunately, they have a tendency to move when you’re eating or speaking. This can make it difficult to speak clearly or to enjoy a meal. Dentures also need an intensive care routine to keep them in good shape.

But with dental implants these problems are avoided as your replacement teeth are firmly fixed and immovable. They are more comfortable and behave exactly as your natural teeth would.

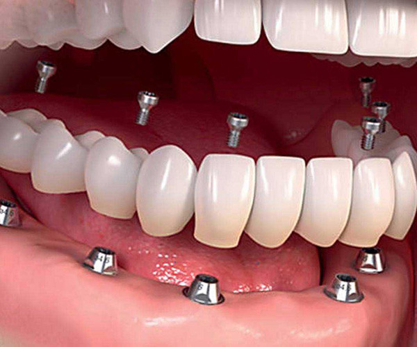
Can I have all my teeth pulled and get implants?

Yes, it is possible to get a whole new set of teeth. This is often the route chosen by those who have been dealing with dental distress for years.

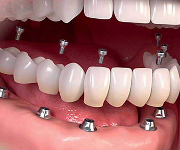
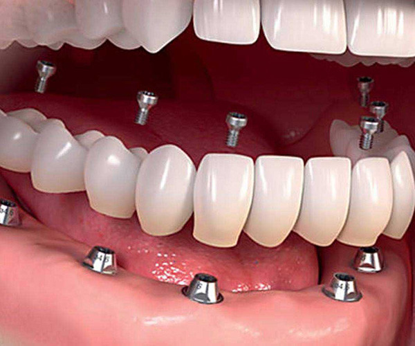
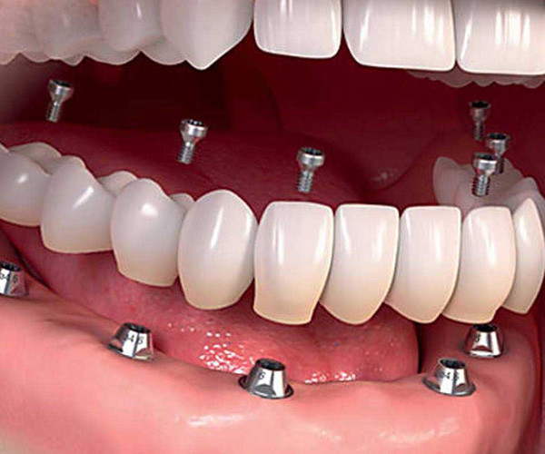
Permanent dental implants are made with metals like titanium or zirconia. They are embedded well into the gum line and act just like the roots of your teeth. Replacement teeth are then affixed onto these implants. Dental implants can last a lifetime and are considered to be a permanent solution for tooth loss. All-on-four and all-on-six dental implant surgeries can be done to give you a new set of teeth in just one jaw or your entire mouthful of teeth.

The experienced dentists at Dental Artistry are able to insert implants in your jaw and fix in a whole new set of teeth that are anchored firmly by the implants. Not only are these a permanent, more efficient solution but they also prevent bone loss or erosion and the consequent sagging of the face often associated with dentures.

How many implants are needed for a full mouth?

Dental Artistry offers the option of giving you a full set of teeth with just four sets of implants. This surgical procedure is called all on four. One implant can hold in place multiple teeth. Sometimes your dentist may recommend that you have six implants instead of six, this is called the all on six procedure. Your dentist will advise how many implants are best for your needs.

How much is a full top set of dental implants?

Every mouth is different, and the final costing will depend on the specific procedures that need to be carried out for your teeth. An approximate costing for a full upper set of teeth would fall somewhere between NZ$18,000 and NZ $30,000. Learn more about the cost of dental implants. Dental Artistry offers finance options so you can book a consultation and discuss this.

How much does it cost to replace all your teeth?

 

The cost of replacing all your teeth is about double the cost of replacing a full set of your upper or lower jaw. While contemplating the financial investment, do take into account that these implants can last a lifetime and provide long-term benefits like preventing bone erosion, removing any diet restrictions (that you would otherwise have due with other forms of teeth replacement) and are easy to care for. Many who undergo this procedure comment on their newly regained confidence as well.

(12/20/2020)
by Dental Artistry

More Information: https://dentalartistry.co.nz/can-i-replace-all-my-teeth-your-options-for-full-mouth-tooth-replacement/

Views: 1,182
Share


My BEST Dentists Journal Headlines