Dentists Journal

Top Ten Stories of the Week
11/26/2022

All Dentists Journal · Previous Week · This Week · All Time List · Headlines

Share

Tooth Nerve Pain: Causes, Pain Relief, and Home Remedies

The nerves in the teeth are located in the pulp—the bundle of nerves at blood vessels at the center of the tooth. Nerve pain in teeth falls into two categories:

Pulpal Sensitivity: If you have nerve pain that is focused on one individual tooth, the problem is likely affecting the tooth pulp. Causes of nerve pain in teeth that affect the pulp include a cracked, chipped, or broken tooth, tooth decay or infection, a recent tooth filling, and pressure from clenching or grinding your teeth.

Dentinal Sensitivity: Dentinal sensitivity refers to nerve pain in the teeth that is more widespread. This type of nerve pain in teeth occurs when the tooth enamel is damaged or eroded away and external stimuli such as heat, cold, and acid, reach the nerve endings in the dentin layer of the tooth. Causes of dentinal sensitivity include use of teeth whitening products, receding gums, and untreated cavities. In addition, brushing the teeth too hard and recent gum surgery that exposes the tooth roots can cause nerve pain in teeth.

Tooth Nerve Pain Relief and Treatments

Depending on the cause of your tooth nerve pain, there are several possible dental procedures that can solve the problem. Two of the most common procedures for tooth nerve pain are fillings and root canals.

Fillings: If you have tooth nerve pain caused by a simple cavity, a filling is the most common dental repair. When you have a tooth filled, the dentist numbs the area, removes the decayed material, and replaces it with a filling.

Root Canals: A root canal is performed if tooth nerve pain is due to a tooth that is severely infected or decayed. During a root canal, a dentist removes the damaged nerve and the pulp from inside the tooth, cleans the area, and seals it. The nerves inside teeth are not essential for healthy tooth function, and a root canal will cure some types of tooth nerve pain.

Home Remedies for Tooth Nerve Pain

The area near your tooth nerve pain may be sensitive before or after your dental procedure, but it’s important to follow a regular oral hygiene routine to prevent additional tooth decay or disease. 

(11/19/2022)
by Crest

More Information: https://crest.com/en-us/oral-care-tips/toothache/tooth-nerve-pain-causes-pain-relief-home-remedies


Views: 621
Share
Share

Teeth-Brushing Do's And Dont's

Human teeth and gums require regular maintenance to help them ward off disease and decay. You can encourage your ongoing dental wellness by brushing your teeth regularly. When properly performed, this form of preventative care can remove plaque and reduce the tartar buildup that promotes dental problems.

Even the most essential and helpful hygiene practices can fail to deliver their promised benefits if you incorporate them incorrectly. Here are some do's and don'ts to keep in mind as you brush your way to better oral health.

Do Brush Twice a Day

Even in an age when people recognize the need and value of regular tooth brushing, some 75 percent of Millennials brush their teeth only once a day. This routine flies in the face of the American Dental Association's recommendations, which specify that people should brush their teeth twice a day.

A lackadaisical brushing schedule allows bacteria, sugars, acids, and food particles to linger on your tooth enamel. This biofilm, known as plaque, comes off fairly easily if you address it in a timely manner. If you let it harden into tartar, however, only a professional dental cleaning can remove it.

Don't Brush Right After Eating

You might have an understandable urge to brush your teeth right after a meal. Unfortunately, while this practice can remove unsightly food particles and freshen your breath, it can also contribute to the deterioration of tooth enamel, especially if you brush immediately after consuming acidic foods or drinks.

Citrus fruits (or juices), tomatoes, coffee, alcoholic beverages, and sweets also contain acids that can erode enamel. This damage figures prominently in the development of cavities, but it can also thin your enamel over time, making your teeth more sensitive and vulnerable to breakage.

If you brush your teeth immediately following a meal, the friction from your toothbrush can actually increase acid erosion. Your saliva needs time to start breaking down acidic substances before you can safely brush them away. Allow 15 to 20 minutes for this process to occur before you brush.

Do Brush With Care

Your toothbrush can do your teeth more harm than good if you wield it too aggressively. Excessive pressure can contribute to premature enamel wear while also irritating the tissue at the gum line. In some cases, this irritation can lead to receding gums, an unattractive issue that can expose the tooth roots.

Fortunately, proper brushing technique can remove fresh plaque from your teeth without much force. Simply place the bristles against the gum line at a 45-degree angle and move the brush in small circular or back-and-forth motions, using light pressure. Then rotate the bristles to sweep the loosed plaque from each tooth.

Don't Use the Wrong Tools

Even with the most careful brushing technique, you must still consider what kind of toothbrush will remove plaque as safely and gently as possible if you want to avoid tooth or gum damage. A soft-bristled brush can clean your teeth just as effectively as a firmer type of toothbrush, making it a sensible default choice.

Your choice of toothpaste can also make a difference in protecting your tooth enamel. Dentists recommend fluoride toothpastes as an essential tool for combating tooth decay. Toothpastes that bear the American Dental Association (ADA) stamp of approval should contain the right level of fluoride to safeguard your teeth.

If your tooth enamel has already decayed or eroded, you may suffer from chronic tooth sensitivity. People who have this issue tend to experience pain when their teeth come into contact with cold, hot, or sugary substances.

Look for an ADA-approved toothpaste specially formulated to reduce this sensitivity. If over-the-counter products fail to help, you may still benefit from a prescription toothpaste. Even in the worst-case scenario, you can most likely solve this problem by receiving crowns or other restorations.

Now that you understand some essential tooth brushing dos and don'ts, make sure that you put them into practice correctly alongside other dental best practices.

(11/18/2022)
by Michael G. Landy DDS

More Information: https://www.drmlandy.com/teeth-brushing-dos-and-donts


Views: 514
Share
Share

Should I Brush My Teeth before My Dentist Appointment?

Not sure what to do before your dentist appointment? Don’t sweat it. This doesn’t have to be a stressful process, and it doesn’t require a lot of prep work. Whether you show up with a mouth full of food or with pristinely clean teeth, you’re going to receive top-quality oral care. Read on to learn if you should brush your teeth before a dentist appointment.

You Can Brush Your Teeth before Your Appointment…But You Don’t Have to

There is no downside to brushing your teeth before a dentist appointment. Many patients do this because they are worried about having bad breath at the dentist. If you don’t have a chance to brush your teeth though, don’t worry. The dental hygienist is going to eliminate anything you would have cleaned on your own.

If you’re not getting a teeth cleaning during your dentist appointment, you still have nothing to worry about. For example, you may be seeing the dentist for a follow-up appointment after oral surgery or braces. If your dentist needs you to brush your teeth for the appointment, you can always do it at the office. That’s not necessary in most cases.

Can I Eat before My Dentist Appointment?

You can eat before your dentist appointment. Ideally, you should eat a few hours before your appointment to give your mouth a chance to naturally clean itself. That may not be an option with your schedule. If you have to squeeze in a meal before your dentist appointment, it’s not going to impact the outcome.

Other Steps You Can Take before a Dentist Appointment

If you’re seeing a new dentist for the first time, make sure you have your insurance information available for the appointment. You should also prepare to arrive 15 minutes in advance to complete your new patient forms. Have your old dentist office transfer your records to the new dentist office, if applicable, and ask any questions you may have about parking, office hours, insurance coverage, etc.

Should I Brush My Teeth after My Teeth Cleaning?

After your dentist appointment, you should still plan to brush your teeth on your normal schedule. The teeth cleaning is thorough, but it is ineffective against new food and drinks. Brush twice a day, floss once per day, and see your dentist at least once every six month. Those simple steps will give you the best chance at having a beautiful, healthy smile.

Don’t Feel Self-Conscious! Clinton Dental Center Offers Judgement-Free Dentistry for Everyone

If you’re worried about the state of your smile, don’t be. Clinton Dental Center provides non-judgmental dentistry for children and adults. It doesn’t matter if it’s been years since you’ve seen the dentist. We will welcome you with open arms. We want you to get in a place of good oral health, regardless of former neglect or dentistry issues.

(11/18/2022)
by Clinton Dental Center

More Information: https://clintondentalcenter.com/should-i-brush-my-teeth-before-my-dentist-appointment/


Views: 579
Share
Share

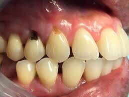
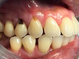
What Is a Root Cavity and How Can You Prevent It?

Cavities and tooth decay are kids' stuff, right? According to the Indian Dental Association, dental caries or tooth decay is a public health problem in India with a prevalence as high as 60- 80% in the Indian children. But your risk for developing cavities doesn't end once you become an adult. In fact, when it comes to adults, the National Oral Health Programme of the IDA notes that nearly 85-90% of adults have dental cavities. Adults — particularly older adults — may develop a root cavity, which is a type of tooth decay that forms on the roots of the teeth.

How Do Root Cavities Develop?

Whether a cavity forms on the root of the tooth or on a part of the tooth that is exposed, the way the cavity develops is the same. Cavities form as a result of acids produced by bacteria that naturally live in the mouth and feed on sugar. According to the Indian Dental Association, cavity-causing organisms feed on sugar and turn it into acid, which attacks tooth enamel and causes tooth decay.

However, in the case of root cavities, the acids eat away at cementum, which is the material that covers tooth roots. The Indian Dental Association notes that tooth roots are covered with cementum, a softer tissue than enamel. They are susceptible to decay and are more sensitive to touch, hot and cold. The development of root cavities is actually twice as fast as other types of cavities, according to a review in the Cochrane Database of Systematic Reviews (CDSR).

One factor that can contribute to the development of root cavities is the recession of the gums. When gums pull away or recede from the teeth, they leave the roots exposed. According to the Indian Dental Association, root decay can develop when your gums recede enough to expose your tooth roots as well as the cementum that covers them. After prolonged exposure, your tooth roots can start to decay.

Who Is at Risk for Root Cavities?

According to a research study published in the IOSR Journal of Dental and Medical Sciences, approximately 38% of patients between the ages of 55 and 64 years have root caries , and 47% of those between 65 and 74 years have experienced root caries. One reason for the higher rates of root cavities in older adults is that older people are more likely to have gum recession than younger people are. It's also more common today for older individuals to retain their teeth throughout their life.

But, much like other types of cavities, how well a person cares for their teeth directly influences their risk of decay. If older people lose their dexterity, brushing and flossing can become increasingly difficult, so it's important for them to find ways to maintain proper oral hygiene on their natural teeth. As per a research study published in the IOSR Journal of Dental and Medical Sciences, the risk factors associated with the high prevalence of root caries among older adults Includes decreased salivary flow or xerostomia, exposure of root surfaces due to periodontal (Gum) diseases, chronic medical conditions, physical limitations, poor oral hygiene, changes in dietary habits.

How to Treat a Root Cavity

Treatment for root cavities is similar to that of other cavities. If a dentist detects the cavity early on, they might be able to stop the decay process and protect the tooth from further damage. According to Healthy Mouth Healthy Body, the treatment for tooth decay depends on how bad it is. You may be able to reverse slight tooth decay by using fluoride.

When a root cavity is severe enough to cause a person pain or to interfere with the functioning of the tooth, it's usually necessary to fix the cavity by restoring the tooth. Restoration involves a dentist removing the decayed area of the tooth, then filling it with a restorative material, such as a composite resin or amalgam filling.

What You Can Do to Prevent Root Cavities

It is possible to prevent the formation of root cavities and other types of cavities. These steps can help you avoid tooth decay anywhere on your teeth, as the ADA outlines:

Brush your teeth at least twice a day, using fluoride toothpaste. (If you have difficulty brushing, the NHP recommends using an electric toothbrush.)

Good oral hygiene is the first step to prevent tooth decay. Brush with fluoride toothpaste twice daily.

Clean between your teeth using floss or an interdental cleaner. Limit sugary snacks between meals and also limit added sugars and high-acid foods.

Avoid foods that get stuck in grooves and pits of teeth or brush /rinse soon after eating them. Rinse your mouth thoroughly after meals.

Chew sugar-free gum with xylitol, which can promote salivary flow. Whenever possible, drink some tap water as public water supplies have added fluoride, which help in reducing tooth decay significantly.

Additionally, if you have receding gums, ask your dental professional if there is anything more you can do to restore your gum health and reduce your risk of developing root cavities. By working as a team, you and your dentist can take steps to treat and prevent these cavities.

(11/19/2022)
by Colgate

More Information: https://www.colgate.com/en-in/oral-health/cavities/what-is-a-root-cavity-and-how-can-you-prevent-it


Views: 669
Share
Share

Is Popcorn Bad For Your Teeth?

Popcorn is a very popular snack. In fact, the Popcorn Board estimates that Americans eat 15 billion quarts of it every year, or 45 quarts per person. If you love popcorn, you've probably been frustrated by the hulls that sometimes get stuck in your teeth. These hulls can be annoying, but is popcorn bad for your teeth?

Oral Health Risks Linked to Popcorn

There are several potential oral health risks associated with snacking on popcorn:

Cracked Teeth

Chewing on hard objects, such as unpopped popcorn kernels, can possible crack your teeth, as the American Association of Endodontists warns. If you crack your tooth, you may feel pain when you're chewing. Exposure to temperature extremes, such as consuming very hot or cold foods and drinks, could also make a cracked tooth hurt. The pain may come and go, so an absence of pain doesn't mean that the cracked tooth isn't a concern. Cracked teeth, unlike broken bones, can't heal on their own.

Damaged Restorations

Popcorn kernels may also damage dental restorations, such as dental implants. A review published in the Journal of Oral Implantology suggests that regular popcorn consumption could contribute to the failure of dental implants. Biting unpopped kernels puts stress on the implant, and over time, the metal screw can weaken, loosen or break.

Gum Abscesses

Abscesses, or gum boils, are another possible risk associated with snacking on popcorn, as the textbook Periodontology for the Dental Hygienist notes. If popcorn hulls get trapped beneath the gums, the tissue can become inflamed. If the popcorn hull remains in place, pus may become trapped within the gum tissue, resulting in an abscess. These abscesses look like shiny, red lumps on the gum tissue, and sometimes, you may see pus around the gumline.

Oral Care After Snacking on Popcorn

To remove debris from your teeth after enjoying a bowl of popcorn, remember to brush and floss. Use a soft-bristled toothbrush when brushing your teeth, along with a fluoride toothpaste. Floss gently between each of your teeth, taking care to clean under the gumline to remove any stray kernels.

Avoid using toothpicks and other sharp objects to attempt to remove kernels. The Mayo Clinic warns that using toothpicks could injure your gums. For help removing particularly stubborn debris, see your dentist.

Tooth-Friendly Snacks

Since there are some oral risks associated with eating popcorn, lovers of this snack may be curious about tooth-friendly alternatives. Other tasty, empty-calorie foods, such as cookies, cakes and chips, may seem better than popcorn since they don't have kernels that can get stuck in the teeth. However, these foods contain a lot of sugar, which feeds the oral bacteria that can cause tooth decay, as the American Dental Association (ADA) explains.

For optimum dental health, the ADA recommends reaching for healthier snacks. Fruits and vegetables are a tooth-healthy option because their high levels of water and fiber help to keep your teeth clean. Low-fat dairy products, such as yogurt and cheese, may also benefit your teeth because of their high calcium content.

So, is popcorn bad for your teeth? Unfortunately, it isn't the most tooth-friendly snack. If you like eating popcorn, just remember to brush and floss your teeth afterward. And when possible, try to opt for tooth-healthy snacks instead.

(11/20/2022)
by Colgate

More Information: https://www.colgate.com/en-us/oral-health/nutrition-and-oral-health/is-popcorn-bad-for-your-teeth


Views: 590
Share
Share

How a Dental Cleaning Helps Prevent Bad Breath

If you're new to dentistry, you might be wondering what cleanings have to do with inadequate breath prevention. Bad breath is a common problem and one that no one wants to talk about, but dental cleaning can fix it. It's embarrassing and can happen for many reasons, including eating certain foods, having gum disease, or not brushing your teeth regularly. In this article, we'll discuss the connection between oral hygiene and halitosis (bad breath).

What causes bad breath?

Bad breath is caused by the presence of volatile sulfur compounds (VSCs). VSCs are produced when bacteria in your mouth break down proteins and dead cells on teeth, gums, and tongue. If you suffer from bad breath, you may have an overgrowth of harmful oral bacteria.

What do dental cleanings have to do with bad breath?

Cleaning appointments help prevent VSCs from forming in your mouth. During a routine appointment, we'll thoroughly examine the health of your teeth and gums. If plaque or tartar is present (two leading causes of gum disease), we'll remove them using special tools like scrapers and power washers.

If you have gum disease, your gums will appear redder than usual or may bleed when you're brushing your teeth. Plaque is a sticky yellow film that forms on surfaces of the mouth where saliva mixes with food debris. It's made up of bacteria cells, dead skin cells, proteins from saliva, and food particles. If not removed regularly, plaque can harden into tartar (also known as calculus). Tartar causes gums to recede from the surface of teeth, which can lead to bone loss around your roots.

Cleanings are essential for both prevention and treatment of bad breath because they remove harmful bacteria before it has a chance to cause tooth decay or gum disease. At your next appointment, be sure to bring up any concerns you have about bad breath and how it's impacting your life. 

What can a cleaning do for my breath?

A dental cleaning will help remove the bacteria that cause bad breath and keep your mouth clean. During a regular dental appointment, our hygienist or dentist may look for signs of gum disease. This is an infection caused by plaque buildup along the gum line. Once detected, oral hygiene instructions can be given to help prevent the recurrence of gum disease.

Professional cleaning is an excellent way to prevent bad breath and maintain oral health! If you suffer from halitosis, you should make an appointment to see your dentist or hygienist.

What can I do at home?

Brush your teeth twice a day with fluoride toothpaste using an ADA-approved soft bristle brush. Floss once per day to remove food particles and plaque from between the teeth. Use mouthwash that contains 0.12% chlorhexidine gluconate or higher to kill bacteria in areas where it's hard to reach, like under the gums. In between your cleanings, brush the tongue with a soft toothbrush to help remove bacteria and freshen your breath.

Clean up after yourself! If you have been snacking on stinky foods like onions or garlic, drink water to rinse out your mouth before going in public. Avoid smoking as second-hand smoke can also cause bad breath.

How often should I get a cleaning?

The American Dental Association recommends visiting the dentist every six months for a dental cleaning to help maintain good oral health and prevent gum disease or other problems that can lead to bad breath. If you have certain risk factors for developing periodontal (gum) disease, including smoking, diabetes, pregnancy, or taking certain medications, follow your dentist's advice for how often you should visit the office.

(11/21/2022)
by South Florida Dental Arts

More Information: https://www.southfloridadentalarts.com/blog/how-a-dental-cleaning-helps-prevent-bad-breath/


Views: 644
Share
Share

How to Manage Brittle Teeth

Did you know your tooth enamel is stronger than your bones? So, if your teeth chip or fracture easily, there's usually an underlying reason your teeth are so brittle.

It's essential to find the cause for your brittle teeth so that you can seek treatment. Or at least learn to care properly for them to fortify your smile.

What Causes Brittle Teeth?

Though tooth enamel is tough, several habits and conditions can cause the enamel structure to weaken, and the teeth become brittle.

So, if your teeth are prone to breaking, it might be due to one of the following causes.

Grinding and Clenching Teeth: These habits wear away dental enamel.

Poor Oral Care: Decay, cavities, lack of pulp – all can result in brittle teeth due to:

Inadequate brushing, which eventually destroys the tooth pulp

Overbrushing, which can erode enamel

Lack of or inadequate fluoride, which defends your teeth against all sorts of bad stuff

Nutritional Deficiencies: A range of vitamins and minerals are essential for healthy dental enamel. When your body's deficient in these essential nutrients, your teeth can weaken.

For example, research published in General Dentistry found that vitamin A deficiency causes tooth brittleness. And a lack of vitamin D results in poor absorption of minerals like calcium and phosphorus, vital for enamel strength.

Causes of nutritional deficiencies are eating disorders and poor diets in general. Also, some medications prevent your body from absorbing nutrients.

Acids: Eating disorders can also sometimes result in acid damage to enamel if a person vomits frequently or sucks on lemon wedges.

Other conditions and habits that produce enamel-weakening acids include:

Gastroesophageal acid reflux disease (GERD)

Severe morning sickness

Too much sugary food and beverages (especially a soda pop habit)

Dentinogenesis Imperfecta: In this inherited condition, the dentin doesn't form correctly, resulting in the abnormal formation of the middle layer of the teeth. This results in:

The teeth becoming discolored

The teeth possibly becoming weaker, resulting in fracturing.

Dehydration and Dry Mouth: If your body's not producing enough beneficial saliva to clean your mouth and neutralize acids, issues leading to brittle teeth can result.

Aging Teeth: When people age, the pulp and nerves supplying the teeth shrink, an article published in the University of Missouri Extension explains. This process reduces the amount of fluid moving into the tooth enamel. Dry dental enamel is weaker and more prone to breakage.

Older teeth have also received more exposure to chewing forces and acids that gradually cause thinner, more brittle enamel.

We want your teeth to be as strong and healthy as possible, so check out the available treatments for brittle teeth. And learn the numerous ways you can manage your life to prevent or reduce the chances of having brittle teeth.

Brittle Teeth Treatments

Sorry to report that tooth enamel doesn't regrow. But dentists can treat brittle teeth to improve the enamel's strength. Ask your dental professional about these treatments:

Fluoride supplements and fluoride gels to remineralize teeth

Dental sealants to the chewing surfaces to protect teeth from fractures and decay

Veneers, thin shells that cover the teeth, to help prevent tooth breakage

Crowns, thicker and strong coverings for teeth, to help prevent cavities and breaks, especially after a root canal procedure

Managing or Preventing Brittle Teeth

Fragile teeth require special care, but there are many actions you can take to achieve a healthy and attractive smile:

Ask about veneers or crowns to cover up the damage if your teeth are already chipped or fractured.

Treat causes affecting your sleep and eating behaviors with relaxation techniques, behavior therapy, or psychotherapy. Ask your dentist and doctor to advise you on the help you deserve.

Seek medical attention for conditions that produce acid reflux or excessive vomiting.

Reduce the wear and tear on your teeth with a mouthguard to wear at night.

Talk with your doctor about your medications. Perhaps you can find substitutes that won't cause dry mouth and will let you absorb essential nutrients.

Sip water only throughout the day.

Consume a healthy diet that includes calcium-rich dairy products, plus fruit and vegetables. And avoid eating/drinking acidic or sugary foods/beverages that might damage tooth enamel.

Break your sugar habit or addiction. Need some help? The Cleveland Clinic offers a 10-day plan.

Brush twice daily with fluoride toothpaste on a soft-bristled toothbrush.

Brittle teeth don't have to hold you back. With a proper diagnosis of the cause, treatment and management techniques can improve the strength and appearance of your teeth – and your smile.

(11/22/2022)
by Colgate

More Information: https://www.colgate.com/en-us/oral-health/threats-to-dental-health/how-to-manage-brittle-teeth


Views: 620
Share
Share

Five Reasons You Might Experience Pain When Swallowing

You wake up in the morning, swallow and — ouch! Pain when swallowing may be a sign of other issues affecting your throat. Luckily, your symptoms can often be soothed with home remedies or treated with over-the-counter medicine or antibiotics. A sore throat will often resolve on its own, but if your sore throat is severe or lasts longer than a week, the Mayo Clinic suggests seeing your doctor.

Sore Throat Symptoms

A sore throat is uncomfortable and can make eating and drinking challenging. The Cleveland Clinic lists some common symptoms that often accompany this condition:

Throat pain when swallowing

Swollen or sore glands in your neck

Red tonsils with white patches on them

Coughing

Identifying these signs and symptoms may help you determine what is causing your throat pain. However, if the symptoms get worse or persist, see your doctor. Below are five possible underlying causes of throat pain when swallowing.

1. Cold Virus

Colds can be a real bummer. A runny nose, sneezing, coughing and a sore throat are hallmark symptoms of the common cold, according to the Centers for Disease Control and Prevention (CDC). Colds can be soothed with over-the-counter medication and typically resolve on their own within seven to 10 days. If you notice white spots on your tonsils, the CDC notes that you may have a bacterial infection and not a cold virus.

2. Strep Throat

If you don't have a cough and you notice white spots on your tonsils, swollen lymph nodes or tiny red spots on the roof of your mouth, you might have strep throat. The CDC states that strep throat is caused by group A Streptococcus (group A strep) bacteria. To determine if you have strep throat, your doctor will do a rapid strep test or analyze a bacterial culture sample to see if group A strep is present.

3. Tonsillitis

If your tonsils are swollen and your rapid strep test is negative, you might have tonsillitis. Symptoms of tonsillitis and strep throat often overlap — meaning it's best to see your doctor to confirm what's causing your symptoms.

Tonsillitis simply means inflammation of the tonsils, as the National Institutes of Health explains. It could be a result of group A strep or, more commonly, a virus. If bacterial tonsillitis is a recurring problem, particularly in children, your doctor may recommend surgery for tonsil removal. However, most cases of tonsillitis resolve quickly with antibiotics (if bacteria is causing the infection) or can be soothed with over-the-counter medicine.

4. Oral Thrush

Oral thrush can be another culprit of painful swallowing. The CDC explains that an overproduction of a naturally occurring fungus called Candida can cause oral thrush. Because it is a fungal infection, it's typically treated with a course of antifungal medication, and mild cases often resolve within seven to 14 days.

5. Esophagitis

Another possible cause of painful swallowing is esophagitis. Esophagitis is the inflammation of the esophagus, which is the tube that connects the mouth and stomach, as Harvard Medical School outlines. These are the typical symptoms:

Difficult or painful swallowing

Heartburn

Pain in the chest or throat

Acid reflux

Esophagitis can be caused by acid reflux, an allergic reaction or oral medications. It can also be caused be a bacterial, fungal or viral infection. If you are experiencing symptoms of esophagitis, contact your doctor for further testing.

What to Do Next

Several conditions can cause pain when swallowing, and your dentist or doctor can help to make a final diagnosis. To alleviate your throat pain at home, try these home remedies outlined by the Mayo Clinic:

Gargling with salt water

Drinking plenty of fluids

Using a humidifier

If your sore throat doesn't get better or your notice red or white splotches in your throat or on your tonsils, it's a good idea to talk to your dentist or doctor to make sure you don't need antibiotics or other medications. Having a sore throat is a pain, but after just a few days of rest, most people begin to feel much better.

Oral Care Center articles are reviewed by an oral health medical professional. This information is for educational purposes only. This content is not intended to be a substitute for professional medical advice, diagnosis or treatment. Always seek the advice of your dentist, physician or other qualified healthcare provider. 

(11/23/2022)
by Colgate

More Information: https://www.colgate.com/en-us/oral-health/respiratory-conditions/5-reasons-you-might-experience-pain-when-swallowing#


Views: 590
Share
Share

Top Five Common Habits To Damage Your Teeth

Most of us know that forgetting to brush or floss regularly is an invitation of dental problems. But those are not the only bad habits that could harm your teeth. Check the list below to make sure your dental health is not affected by any of the 5 common habits.

1.-Binge eating sweets

Everyone likes a bit of sweets, right? Especially the chocolate! We do think you everyone deserves to have some sweets on occasions and enjoy a variety of food in life. However, excessive consumption of sweets and treats that are high in sugar can lead to frequent tooth decays. It is recommended to have sweets close to meal time. Remember to brush your teeth or rinse with water immediately after consuming a high sugar treat.

2.- Smoking

Smoking cigarettes is the number one preventable risk factor for oral health problems. It has significant impact on gum disease, tooth decay, and even mouth cancer.

3.- Chewing on Ice

It’s natural and sugar free, but is it harmless? Munching on hard ice cubes could chip or even crack your teeth. If this is you, it might be good to consider replacing the habits with sugarless gum.

4.- Using your teeth as a tool

Whether it’s a fingernail or a package, most of us have been guilty of using our teeth as a tool at some point. However, doing so is a quick way to break or damage your pearly whites.  Instead, keep scissors and bottle openers handy. Keep your teeth for chewing.

5.- Skipping routine maintenance

Prevention and early detection of diseases in the mouth are the best possible care you can give to your teeth. Tackling problems early on will save a lot of bother in the long run, it might save your tooth from an extraction.

(11/22/2022)
by Lara Village Dental

More Information: N


Views: 437
Share
Share

What Is Anemia Tongue?

As small as it is, the tongue is one of the strongest muscles in your body, particularly when chewing and swallowing food. And although five-year-olds use it to express their disapproval, it's prone to certain ailments of its own. For example, if you have anemia, tongue function and appearance can feel the effects almost as much as your energy level.

What Is Anemia Tongue?

Also referred to as glossitis, this condition causes the tongue to become inflamed and is characterized by several things when your iron levels are low. The tongue's appearance can morph into multiple shades of red and swell slightly in size. The surface of the tongue can smooth out and hide its natural texture, as well. These small bumps you feel on your tongue – also known as papillae – play a crucial role in the eating process, and thousands of taste buds are housed inside them. Papillae alteration can affect how you eat and speak.

Signs and Symptoms

If you think you're suffering from an anemia tongue, schedule an appointment with a dental professional for a proper diagnosis. Here are some traits to look for before making the call:

Swollen tongue

Change of tongue color

Difficulty or inability to chew, swallow or speak

Tongue pain and tenderness

Reduction in or loss of tongue papillae

What Are The Causes?

A variety of conditions can lead to tongue inflammation, some more common than others—these include:

Allergic reactions. Medications, hot or spicy foods, and even certain mouth care products can irritate the tongue's papillae.

Injuries. Any mouth trauma resulting from burns or the use of oral appliances like dentures can inflame the tongue.

Oral herpes. Certain diseases, such as oral herpes simplex, can cause blisters, swelling, and tongue pain.

Dry mouth. Saliva is necessary to keep the tongue moist and free of bacteria that can aggravate the tongue's surface.

Of course, the low iron levels defining anemia are your first stop. Iron aids the body in making red blood cells. When you're deficient in them, the tongue's tissue receives a lack of oxygen, much like the rest of the body.

Types of Glossitis

Tongue inflammation resulting from anemia can take a few different shapes:

Acute Glossitis. Usually, the result of an allergic reaction, this type of glossitis onsets suddenly and is accompanied by more pronounced symptoms.

Chronic Glossitis. This results in a constant inflammation of the tongue and might result from another health condition.

Idiopathic Glossitis. This form of glossitis may be linked to celiac disease. Its origin is unknown but can cause inflammation of the tongue mucous membrane and muscle.

Atrophic Glossitis. The tongue loses its original color resulting in a dark-red tongue. This form also leads to a loss of a large number of papillae.

Pernicious Anemia Tongue Symptoms

Pernicious anemia causes the tongue's surface to look smooth and appear red instead of the pinkish color of a normal tongue. The tongue might also appear thick or beefy in texture. Some tongues might even be swollen or seem to have cracks. Further, patients with this blood disorder might also have ulcers in their mouths.

In addition to the appearance of the tongue, other symptoms of this disorder are as follows:

A numb or tingling feeling in hands and feet

Weak muscles

Nausea

Decreased appetite

Weight loss

Fatigue

Fast heart rate

Because these symptoms can overlap with other blood disorders or health issues, it's essential to seek a diagnosis from your doctor. They can typically determine the deficiency through a blood test.

What Are The Treatment Options?

A trip to a dental professional is the best place to start if you suspect you have an anemia tongue. They will look for blisters, a lack of papillae, and signs of inflammation on your tongue. Blood and saliva samples might also be taken during your exam for further testing.

At home, antibiotics, diet changes, and proper oral care are all forms of treatment you can use to combat glossitis. Keep in mind a healthy mouth starts with good brushing and flossing. Keep your teeth and gums as healthy as they can be, and being anemic won't mean being in oral pain.

Oral Care Center articles are reviewed by an oral health medical professional. This information is for educational purposes only. This content is not intended to be a substitute for professional medical advice, diagnosis or treatment. Always seek the advice of your dentist, physician or other qualified healthcare provider. 

(11/23/2022)
by Colgate

More Information: https://www.colgate.com/en-us/oral-health/threats-to-dental-health/anemia-tongue-symptoms-causes-and-treatments


Views: 837
Share