Dentists Journal

Top Ten Stories of the Week
12/17/2022

All Dentists Journal · Previous Week · This Week · All Time List · Headlines

Share

Toothache Causes: Why do I have tooth pain and how can I get relief?

Toothaches can be a minor tinge letting you know that something is wrong or they can cause crippling pain… that’s why we wanted to share some common toothache causes and their symptoms.

What is a toothache? Pain or inflammation in or around the tooth, often caused by tooth decay or infection.

What are common toothache causes?

A toothache can have causes that aren’t due to underlying disease. Examples may include flossing, biting into something hard, getting something stuck in between the teeth, or braces. In children, it’s a regular part of the developmental process.

Common Toothache Causes:

Sensitive Teeth

Tooth decay

Inflammation of tooth pulp

Tooth fracture

Broken tooth

Abscessed tooth

Infected gums or gum disease

Damaged filling

Impacted tooth

Repetitive motions, such as chewing gum or grinding teeth

Non-dental related issues, such as sinus congestion or infection

Related Articles:

Yikes!! Why do I have Sensitive Teeth?

Gum Disease Explained: Signs, Symptoms, and Treatments 

Save Your Teeth from Constant Grinding with Custom Mouthguards

Common Symptoms of a Toothache:

Tooth pain that may be sharp, throbbing, or constant

Tooth pain while chewing

In some people, pain results only when pressure is applied to the tooth

Foul-tasting drainage from the infected tooth

Hot or cold sensitivity

Swelling around the tooth or swelling in your jaw

Bleeding or discharge from around a tooth or gums

Fever or headache

Injury or trauma to the area

When Should I See a Dentist About a Toothache?

We recommend seeing your dentist as soon as possible about your toothache if:

Your toothache is severe

You have consistent tooth pain that lasts longer than 1 or 2 days

Inflammation increases

Swelling occurs around your jaw or face

Redness occurs around the gums or your gums are bleeding

You have a fever, earache

If you notice that a tooth is broken, cracked or chipped

You experience pain upon opening your mouth wide

Dull, persistent pain can be a sign of something that will get worse if not treated

You’ve suffered a recent trauma to your face or mouth

How do I stop my tooth from throbbing?

Before you’re able to get into your dentist’s office, try these self-care tips for some temporary relief:

Rinse your mouth with warm salt water

Gently floss to remove built up plaque or food between teeth

Apply a cold compress to your cheek or jaw

Take an over-the-counter pain medication, like acetaminophen (Tylenol), ibuprofen (Advil, Motrin), and aspirin can relieve minor pain

Numbing pastes or gels (benzocaine) can help to dull the pain

What Happens When I Go to the Dentist for a Toothache?

First, your dentist will conduct a dental exam. He or she will ask you questions about the pain, such as:

when the pain started

where the pain is located

how severe it is

what makes the pain worse and what makes it better

does the pain wake you up in the middle of the night

Your dentist will examine:

your mouth, teeth and gums

jaws, tongue and throat

sinuses, ears, nose, and neck

X-rays may be taken as well as other tests, depending on what your dentist suspects is causing your toothache.

What Treatments Are Available for a Toothache?

Treatment for a toothache depends on the cause or source of pain. If a cavity is causing the toothache, your dentist will remove the decay, fill the cavity or possibly extract the tooth, but only if there is no way to save the tooth.

A root canal may be necessary if the cause of the toothache is from an infection of the tooth’s nerve. Bacteria that have worked their way into the inner areas of the tooth cause that type of infection. An antibiotic may be prescribed if there is fever or swelling in the jaw to get rid of the infection.

How Can Toothaches Be Prevented?

Tooth decay causes most toothaches, so following a good oral hygiene routine can prevent most toothaches.

Good oral hygiene practices consist of:

brushing teeth twice daily with a fluoride toothpaste

flossing daily

rinsing once or twice each day with an antiseptic mouthwash

seeing your dentist twice a year for professional cleaning and exam

Gently brushing your teeth with a soft bristle brush and fluoride toothpaste will remove the plaque and bacteria are toothache causes to begin with. In addition to these practices, ask your dentist about fluoride treatments and sealant applications and make healthy food, snack and beverage choices that are low in sugar.

(12/09/2022)
by Adams Dental

More Information: N


Views: 518
Share
Share

A Good Oarl Hygiene Begins With A Proper Tooth Brushing

Toothbrushing is one of the essential daily practices for oral health care. By using a toothbrush, toothpaste and other oral hygiene accessories, we remove the bacterial plaque responsible for major oral problems such as caries and periodontal disease.

From a very young age we are taught the importance of brushing our teeth to keep them clean. But how do you know if you are doing it correctly?

What is oral hygiene?

This is the series of processes that must be carried out to ensure correct cleaning of the teeth, gums, tongue and mucous membranes. These oral hygiene techniques should be put into practice on a daily basis, through the use of a toothbrush, toothpaste, dental floss and mouthwash, as well as regular visits to the dentist.

Thanks to oral hygiene we are able to keep our teeth clean, free of food residues and bacterial plaque. We also take care of the health of the gums and prevent bad breath.

Why is it important to take care of your mouth hygiene?

Oral health care begins with proper hygiene. A large amount of bacteria are naturally found in the mouth and when they come into contact with food debris, they can proliferate and cause damage at various levels.

By brushing our teeth it is possible to control the proliferation of bacteria, preventing the formation of bacterial plaque. Thanks to this simple gesture, we avoid common problems such as caries, tartar build-up, gingivitis and periodontitis, tooth loss and bad breath, among others.

- What is gingivitis and how to treat it? –

How to brush your teeth correctly?

Brushing your teeth is so commonplace that sometimes it is not given the importance it deserves. If you want to enjoy a clean and healthy mouth, learn which is the best way to brush your teeth. the best technique for daily tooth brushing according to the recommendations of the Spanish Society of Oral Care. You can follow these simple steps:

Although it may seem simple, it is important to know how to brush your teeth properly in order to mantain an optimal dental health. For this reason, we have prepared a simple guide of good habits to keep your mouth healthy, clean and shiny.

Brush your teeth after every meal. If you can't, a piece of sugar-free chewing gum will help keep your mouth healthy, but we recommend taking a dental travel kit, such as those from KIN, with you whenever you can.

To prevent plaque build-up, it is recommended that you use a toothpaste with fluoride for two of the three daily brushings.

If you have braces, it is important to use dental floss or interdental brushes and orthodontic brushes to remove food debris.

Even if you get lazy, we recommend using the interdental brush or dental floss once a day after brushing to remove food debris between your teeth and prevent gingivitis - your dental health will appreciated it!

Spend two minutes brushing your teeth - you can use the time to play your favourite song!

Make sure you follow these tips on how to brush your teeth properly:

Tilt the toothbrush at an angle of 45˚ against the edge of the gum and brush gently outwards. Always from the base to the tip of the tooth.

Don't forget to brush the inside of your teeth! It is important not to keep only the outer part.

Gently brush the tongue, it also needs to be cleaned to remove bacteria and preserve good breath.

You can watch videos that show you how to correctly perform the brushing movement and make sure you are doing it correctly. Here are the videos shared by the Official Dentists' Association of Pontevedra and Ourense.

Finally, accompany your brushing with the use of Mouthwash with fluoride. This will prevent caries and strengthen tooth enamel. Our brand, FluorKIN Anticaries, consisting of toothpaste and Mouthwash will help you, together with the correct brushing technique, to maintain good daily oral hygiene.

Good habits to keep your mouth healthy

In addition to daily brushing, it is important to maintain a series of habits to have a healthy and cavity-free mouth. These habits start from childhood, although it is never too late to learn how to take care of your oral health correctly:

Reduces consumption of acidic and sugar-rich foods

Foods rich in sugars are a favourite of bacteria in the mouth. They feed on the debris that sticks to tooth surfaces and proliferate. Acidic foods, if consumed in excess, can weaken the enamel, so you should not overdo it.

Follow a nutrient-rich diet

Foods consumed daily give your body what it needs to be strong and healthy. It is important to include nutrient-rich foods such as fruits, vegetables, dairy products, legumes, lean meats and fish in your diet, which provide lots of vitamins, minerals and protein. Your mouth, body and mind will thank you for it!

Avoids stress

We all know that anxiety and stress are highly damaging to the body. But did you know that they can also be linked to problems in the mouth? Stress is the main culprit of bruxism which is the involuntary grinding of the jaw, this can lead to wear and tear on the teeth which can worsen over time if the condition continues. So put your stress aside and start leading a calmer life.

Visit to the dentist at least once a year

In routine check-ups with your dentist, it is possible to detect all kinds of oral problems early, even those that you may not be able to see. In this way, an early diagnosis and the most appropriate treatment can be made.

Essential elements for a correct oral hygiene

To brush your teeth correctly and achieve complete oral hygiene, there are 4 basic elements that we must use every day:

Toothbrush

You can choose between a manual toothbrush and an electric toothbrush. The most suitable one is the one that suits your needs and the one you feel most comfortable with.

For the youngest members of the household, it is necessary to choose a toothbrush that is suitable for their age. Laboratorios KIN offers you the children's toothbrushideal for children between 2 and 6 years old.

Toothpaste

It is recommended that daily use toothpaste should always be fluoride toothpaste, such as KIN toothpaste. The fluoride, favours the remineralisation of the enamel, thus preventing the formation of dental caries. You can choose a toothpaste that suits your needs, whether you are looking for a fresh breath toothpaste such as KIN Fresh or one for specific gum care, such as KIN Forte. There are many options available. Choose the one that suits you best

Mouthwash

Mouthwashes are the last step to complete the cleaning of the mouth.

The vast majority of these products incorporate fluoride to strengthen teeth, as well as other antiseptic ingredients to kill bacteria or help prevent various gum problems. Choose the one Mouthwash that best suits your needs from the wide range of KIN products.

Combining toothbrushing with flossing and rinsing will keep your mouth healthier every day.

(12/11/2022)

More Information: https://www.kin.es/en/una-buena-higiene-bucal-empieza-por-un-buen-cepillado-de-los-dientes/


Views: 518
Share
Share

What To Do With A Blocked Salivary Duct

Saliva seems trivial, but it's far from the least important part of your body. Saliva's moisture allows you to chew, swallow and even digest your food comfortably. It also helps rinse away debris from your teeth, reducing your risk of cavities and tooth decay.

Several problems can occur in the salivary glands, though, preventing you from producing enough to keep your mouth clean. One of them is a blocked salivary duct, wherein something physically obstructs the tube that connects the gland to your mouth—causing saliva to back up in the gland.

What Causes a Salivary Gland to Become Blocked?

One of the more common causes of a blocked salivary duct is a salivary gland stone. Made from the salts that naturally occur in saliva, these stones are more likely to develop in people experiencing dehydration, suffering from gout, or taking medications that cause dry mouth.

Although stones tend to develop in the submandibular glands near the back of the mouth, they can also form in the parotid glands near the ears. When a stone forms in the duct of the parotid gland, it can lead to a condition known as parotitis, or inflammation of the gland.

Salivary stones are the most common cause of blockages, but they aren't the only things that can obstruct the ducts. In some cases, a stricture or narrowing of the duct can keep saliva from flowing. And in rare cases, a mucous plug can cause the blockage.

What Are The Signs of a Blocked Salivary Gland?

Typically, the signs of a blocked salivary duct become most visible when eating or drinking. When you start a meal, your glands begin to produce saliva. But if a stone or similar obstruction keeps the saliva from flowing through this duct into the mouth, it can back up in the gland, causing the following symptoms:

Swelling

Pain in your face

Dry mouth

Trouble swallowing

Discomfort when eating

A blocked salivary duct can also lead to sialadenitis, or an infection of a salivary gland, as bacteria are more likely to grow and multiply when your saliva is trapped in the gland. Signs of an infection can include redness, swelling, and pus.

How Do You Fix a Blocked Salivary Gland?

If you feel irritation or even just slight swelling near the site of your saliva glands – particularly when eating – it's a good idea to schedule an appointment with your doctor or dental professional. Both can feel inside your mouth to see if a stone is causing the blockage.

Often, the goal is to remove the stone blocking the duct, which can be done in several ways. You may be able to massage the stone out of place or stimulate enough saliva flow to wash it away. If not, your doctor might try to push the stone from the duct manually or perform a minimally invasive surgical procedure known as a sial endoscopy. Although removing the stone is a good option for many patients, those who develop salivary gland stones frequently need to have their doctor remove the affected gland itself.

Blocked Salivary Gland Treatment

Before your appointment, you can try these home treatments to soothe the symptoms of a blocked salivary gland:

Stay hydrated

Massage the gland and duct

Increase saliva production by sucking on candies or citrus fruit

Take pain medication

Sucking on ice

Incurring an infection thanks to a blocked salivary duct isn't fun, but your doctor will most likely prescribe a course of antibiotics to clear it up. Massaging the area can help relieve swelling and pain associated with the infection. You might also consider using a sore-specific mouthwash to minimize any discomfort you feel from the swollen gland. Rest assured, most other pain relievers can help you feel better while getting treatment for this annoying condition.

(12/10/2022)
by Colgate

More Information: https://www.colgate.com/en-us/oral-health/threats-to-dental-health/deal-with-a-blocked-salivary-duct


Views: 508
Share
Share

My Gums Hurt When I Brush My Teeth. What Does This Mean?

If your gums hurt when you brush your teeth, it generally means one of two things: you’re being too rough when brushing and flossing or you’ve developed gum disease. Either way, it’s fixable.Note: To rule out anything more serious going on with your gums, please get a professional examination and discuss your symptoms with your dentist.

Rough Brushing and Flossing

In an effort to get your teeth as clean as possible, you may be brushing too hard. While it may seem that your teeth can take the rough treatment, your delicate gums cannot. And, actually, brushing too hard can damage the enamel of your teeth, too.Here are some tips to protect your gums AND get your teeth sparkly clean:

Use a toothbrush with soft bristles. They clean just as well and are safer for the health of your gums and teeth than the medium or hard bristles.

Brush with gentle circular movements instead of harsh back and forth. This will remove plaque without irritating your gums.

Be gentle with floss, too. Follow the curve of your tooth and gently work the floss in between teeth rather than forcing it straight down onto the gums.

Gum Disease

Gum disease — both the milder gingivitis and the more serious periodontitis — is caused by bacteria in your mouth. The bacteria can cause your gums to be irritated, painful, swollen, red, or even bleed.If the pain you’re feeling in your gums when brushing is caused by a case of gum disease, how you treat it will depend on how far it has progressed. Your dentist can give you a treatment plan once they examine your teeth and gums and diagnose how severe your case is.

Discuss Your Symptoms with Your Dentist

At your next appointment, tell your dentist about the pain you’re feeling when brushing your teeth. In the meantime, switch to a soft toothbrush and be more gentle when brushing and flossing to see if that helps.Even if the pain gets better, tell your dentist about it so that if it is a mild form of gum disease, you can treat it before it gets worse.

(12/09/2022)
by Lovik Mirzaeian, DDS

More Information: https://dentistexam.com/my-gums-hurt-when-i-brush-my-teeth/


Views: 480
Share
Share

You May Have Acid Erosion On Teeth

Your enamel is not invincible. Acid exposure can weaken and erode the surface of your teeth, causing issues if not addressed. But with the help of your dental professional and a basic understanding of dental erosion, you can keep your enamel strong and healthy.

What Is Dental Erosion?

Your enamel plays a vital role in tooth health, protecting the sensitive inner layers from daily use, decay, potentially painful temperatures, and chemicals. Dental erosion occurs when acids—either internal or external—wear away at this enamel. Your body can't repair damaged enamel because it contains no living cells, so it's crucial to prioritize protecting your teeth from acid erosion.

Do You Have Acid Erosion on Your Teeth?

Your teeth are tough. That strong outer layer called enamel contains 96 percent mineral, making it the strongest substance in your body. However, your enamel is not invincible. Acid exposure can weaken and erode the surface of your teeth, causing issues if not addressed. But with the help of your dental professional and a basic understanding of dental erosion, you can keep your enamel strong and healthy.

What Are the Symptoms of Acid Erosion on Teeth?

Acid erosion makes itself known in a variety of ways. If you notice any of these signs of dental erosion, talk to your dentist immediately.

Tooth discoloration. Healthy enamel will appear white, but dentin—the sensitive tissue located below the enamel—is yellow. If your teeth develop a yellow tinge, acid erosion might be to blame.

Tooth appearance. If you notice that your teeth look thinner or smaller than usual, take note. The lower portion of your front teeth might also appear more transparent than opaque. Both these signs could indicate dental erosion.

Tooth sensitivity. When your enamel wears away, the sensitive dentin becomes vulnerable. You might experience shooting pain when drinking or eating hot, cold, sour, or sweet foods.

Over time, dental erosion puts you at greater risk of developing cavities or tooth abscesses, which can eventually lead to tooth decay and loss.

What Causes Acid Erosion on Teeth?

Your teeth experience two types of erosion—extrinsic and intrinsic. Extrinsic erosion occurs when acids that lower the body's pH level come from your food and drink choices. Intrinsic erosion happens when certain health conditions cause highly acidic stomach contents to contact your teeth.

Causes of acid erosion on teeth include:

Soda: Carbonated soft drinks are loaded with sugar – which plaque uses to erode enamel – and even diet versions are pretty acidic. Soda consumption can erode enamel in a manner much like illicit drug use. So, similar to citrus fruits, drinking plain water is an excellent alternative to your morning pop.

Acid Reflux: One digestive issue many people deal with is acid reflux. Also known as GERD (gastroesophageal acid reflux disease), acid reflux causes stomach acids to regurgitate into the throat and sometimes the mouth, making contact with the teeth. Avoid foods that stimulate the reflux reaction; tomatoes, spicy foods, chocolate, alcohol, and coffee can all upset your system. Keep in mind reflux can also be treated by medication. Consult your doctor if you think you suffer from acid reflux and could benefit from a more direct treatment.

Pregnancy: Pregnancy is filled with ebbs and flows as the body works to develop a healthy baby. One of these things is morning sickness, where, in addition to lingering nausea, acid is often left behind in an expecting mother's mouth. That acid can cause eroded enamel, just like acid reflux. Therefore, brush your teeth shortly after an episode of morning sickness to remedy this effect, and drink water during these bouts of sickness for the same reason.

Swimming Pools: Cooling off with a dip in the pool is super refreshing on a hot day, but that swim might wear away your tooth enamel. Chlorine in a pool can target your teeth as water occasionally gets in your mouth. Although it may be a hassle, check the chlorine and pH levels of the pool before getting in it.

How Do You Prevent Acid Erosion on Teeth?

You can help prevent the effects of acid erosion on your teeth by practicing these teeth-healthy habits:

Limit or avoid acidic foods and beverages. When you indulge in an acidic drink, use a straw. Enjoy citrus, citrus-flavored, carbonated, or sour foods with high-calcium foods like milk or cheese to neutralize the acids.

Rinse with water frequently. After eating acidic foods, rinse your mouth out with water. If you suffer from frequent vomitings, swish some water immediately afterward. Adding baking soda to the water can help counteract the acid.

Wait to brush. Don't brush your teeth immediately after an acidic snack or an upset stomach. Instead, wait 30 minutes to an hour before cleaning your teeth, so you don't damage the enamel in its weakened state.

What Are Treatments for Acid Erosion on Teeth?

Along with these habit changes, your dentist might recommend additional treatments. For minor erosion, a remineralizing toothpaste can help strengthen your remaining enamel. If the erosion is more severe, restorations like dental bonding can cover the damaged enamel and restore its appearance, even changing your teeth' shape for a more natural look. In extreme cases, your dental professional might recommend a crown. Crowns cover the entire tooth, so they will hide severe cosmetic problems and protect the sensitive dentin.

Acid erosion can significantly impact the health of your teeth and the look of your smile. However, dental erosion can be preventable and treatable with the right diet, oral care habits and regular visits to a dental professional.

 

(12/10/2022)
by Colgate

More Information: https://www.colgate.com/en-us/oral-health/threats-to-dental-health/do-you-have-acid-erosion-on-your-teeth


Views: 456
Share
Share

Bumps on Tongue: Six Common Causes & What to Do

Bumps on the tongue generally emerge after eating very hot or acidic foods, which irritate the taste buds. They can also appear after biting your tongue, leading to pain and discomfort when talking or eating. 

These bumps usually disappear on their own after some time. Nonetheless, bumps can also be a sign of a more serious problem, like an HPV infection or oral cancer.

If the bumps on your tongue do not resolve, or if they occur with other symptoms like intense redness, pain or fever, for example, you should see your doctor or dentist for assessment. They can identify the cause and initiate appropriate treatment. 

The main causes of bumps on the tongue are: 

1. Taste bud inflammation or irritation 

Taste buds are small structures on the tongue that can become damaged due to anxiety, acidic foods, hot foods or cigarette smoking. Inflammation of the taste buds can lead to small red bumps on the tongue, which can reduce your ability to taste and cause pain with teeth brushing. 

What to do: If your tongue bumps are related to taste bud inflammation or irritation, you should see your doctor to prevent further complications, like infections. Foods like pineapple, kiwi and hot coffee can worsen symptoms. 

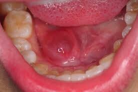
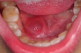
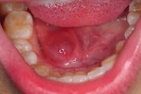
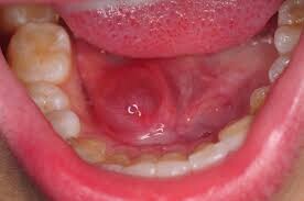
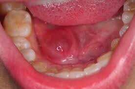
2. Canker sore

Canker sores are small, flat ulcers that can emerge in any area of the mouth including the tongue. They can make talking or eating uncomfortable. These sores often appear for many reasons, including increased mouth PH (which can happen with poor digestion), biting your tongue, stress, using braces and vitamin deficiencies.

What to do: Canker sores normally disappear within a few days, however if they are large or do not heal, you should see your doctor for assessment and possible treatment.

3. Yeast infection 

A yeast infection in the mouth, also known as oral thrush, is characterized by an increased growth of fungal cells in the mouth. It can lead to the formation of white plaques and bumps on the throat and tongue. This infection is common in babies due to their underdeveloped immune system and lack of oral hygiene following feeds. It can also occur in adults with weakened immune systems. 

What to do: If you notice white plaques or bumps on your mouth, you should start treatment with antifungals like nystatin or miconazole. It is also important to practice adequate oral hygiene. 

4. Oral chlamydia

Chlamydia is transmitted through sexual contact with the genitals, anus and even the mouth. While oral chlamydia does not spread through casual contact, like kissing or sharing drinks, it can spread through oral sex if one of the sexual partners is infected. Bumps felt on the tongue from chlamydia are usually painless, and may be accompanied by other symptoms like redness within the mouth, white spots, and a sore or scratchy throat. 

What to do: If you notice symptoms in your mouth following unprotected oral sex, you should see your doctor for assessment. Diagnosis can be confirmed with an oral and throat swab, which is sent to the lab. Treatment involves the use of antibiotics. 

5. HPV

HPV is a sexually-transmitted illness that is most known for the appearance of genital warts. However, HPV can also cause small wounds or bumps on the sides of the tongue, the lips or on the roof of the mouth. These wounds can be flesh-colored or be more red or white in color.

What to do: If you have any symptoms of HPV, it is important to consult your doctor to start treatment. Treatment usually involves the use of specific ointments, which should be used daily as prescribed.

6. Oral cancer 

One of the symptoms of oral cancer is bumps on the tongue, similar to a canker sore. These bumps are painful and will bleed and grow over time. In addition, you may also notice red or white patches on the throat, gums or tongue, as well as small, superficial wounds that can interfere with eating and talking.

What to do: If your symptoms do not resolve within 15 days, you should see your doctor or dentist to confirm a diagnosis and start treatment. Treatment may involve the removal of any tumors followed by radiation or chemotherapy. 

(12/12/2022)
by Tau Saude

More Information: N


Views: 518
Share
Share

Do Cavity Fillings Hurt?

Knowledge is power when confronting a situation. If you're worried about pain and discomfort while your dentist fills your cavities (otherwise known as dental caries), empower yourself – or your children – with information on what to expect.

Cavity Filling: the Procedure

To help you avoid pain, your dentist will administer a local anesthetic, so named because it only numbs the area being treated and doesn't put you to sleep. Since you'll be fully awake during the procedure, you'll be able to interact with your dentist. Lidocaine is a commonly used anesthetic during dental work.

Administering the anesthetic is a three-part process in which your dentist:

Gently dries out the inside of your mouth with a piece of cotton or stream of air.

Dabs gel on the gum tissue to numb it

Injects the lidocaine into your numbed gum tissue

Once the treatment area is completely numb, you won't feel a thing as the dentist works to remove your diseased tooth structure and fills your cavity.

Did you know? Numbing the gum tissue reduces the sensation you feel when the dentist injects the local anesthetic. Interestingly enough, that sting isn't from the needle. Instead, it's a sensation created by the anesthetic as it works its magic to numb your gums and mouth.

Cavity Filling: After the Procedure

As the anesthesia wears off after your dentist has finished, you might feel some tingling in your mouth. Some people also have sensitivity in their teeth after a filling. For the most part, the sensitivity should fade after a few days.

Your dentist might give you pain relievers to help with any soreness right after a cavity treatment. In these cases, try to take it easy and avoid hard or sticky foods.

Cavity Filling: When to Call Your Dentist

Getting a filling should improve the health and comfort of your mouth, not make them worse. Do cavity fillings hurt? Although you can expect some tenderness and soreness during the first few days after you get a tooth filled, they shouldn't.

It's a good idea to call your dentist if that discomfort persists for more than a week. Your dentist can adjust the filling, so it's a better fit.

If you were fine right after treatment, but start to experience pain or discomfort weeks, months o,r even years later, it's also a good idea to check in with your dentist.

Fillings don't last forever. Plus, some filling materials have shorter lifespans than others. Your dentist can check out your teeth and let you know for sure.

Did you know? If you have more than one filling, such as a filling on an upper tooth and a filling on a lower tooth, you might experience galvanic shock — an actual zap in your mouth. This can happen if the two fillings are made from contrasting metals, such as dental amalgam on one tooth and a gold filling on the other. To avoid shocking yourself, have your dentist use the same material for each of your fillings.

Cavity Filling: Avoiding the Procedure

To avoid fillings in the future, make sure you follow American Dental Association guidelines:

Make fluoride your friend by drinking fluoridated water and brushing with fluoride toothpaste twice daily.

Avoid sugary foods and drinks, making an exception occasionally at mealtimes.

Floss your teeth daily.

Visit your dentist regularly for checkups to nip potential cavities in the bud.

Doing all of these things can help prevent cavities, but if you do end up with one, your dentist will work with you to make the process as painless and stress-free as possible.

(12/13/2022)
by Colgate

More Information: https://www.colgate.com/en-us/oral-health/cavities/cavity-fillings-do-they-hurt


Views: 444
Share
Share

What Is a Smooth Surface Cavity?

Did you know that cavities can form anywhere on a tooth? Cavity-causing bacteria can attack all areas of a tooth, including the top, the sides and the root, if it's exposed. A smooth surface cavity may appear on the side or the circumference of a tooth. The good news is, a dental professional can treat this type of cavity and prevent it from growing larger and weakening the tooth structure.

Types of Dental Cavities

Dental professionals categorize cavities according to where they appear on the tooth and their level of decay. As an article in The Journal of the American Dental Association outlines, there are different sites on a tooth where cavities can develop:

Pits and fissures, or the biting surfaces of your teeth

Approximal surfaces, where a tooth touches the neighboring tooth

Cervical surfaces, which are the parts of the teeth next to the gums

Smooth surfaces, can occur on the circumference of the tooth or in between the teeth

Roots, the parts of the tooth below the gumline

When the smooth surface or any other part of the tooth is entirely healthy, it's called a sound surface. The beginning stage of decay is called an initial caries lesion. This early decay often appears as a white spot on the tooth's enamel. At this stage, the surface remains whole and no cavity has formed. The next stage of decay is called a moderate caries lesion; tiny holes may have appeared in the affected area, the beige dentin beneath the enamel may show through or a shallow cavity may have formed. Finally, the most advanced and severe decay is known as an advanced caries lesion. In this final stage, the dentin layer of the tooth is exposed and a full cavity has formed.

Smooth Surface Cavity Treatment

In its earliest stage, decay on the smooth surface of a tooth can be reversed. A study in the Journal of Oral Hygiene & Health mentions that fluoride can help to remineralize areas of early decay in smooth surfaces. Another option is treatment with specialized resin that blocks tiny holes in smooth surface enamel, preventing the growth of bacteria and halting the progress of decay.

If the decay has progressed and a cavity has already developed, your dentist can still provide treatment to prevent the condition from worsening. According to the Mayo Clinic, there are several possible treatments for a cavity, depending on how advanced the decay is:

Fillings: These help prevent moderate cavities from growing larger.

Crowns: This treatment can restore a tooth that has been weakened by a large cavity.

Root canals: If the decay has reached the sensitive inner pulp of a tooth, then a root canal may be required to remove the infected nerve.

Tooth extraction: Once a smooth surface cavity has weakened a tooth beyond saving, extracting the tooth may be the only remaining solution.

How to Prevent a Smooth Surface Cavity

Poor oral hygiene is responsible for tooth decay, including smooth surface cavities. To avoid dental decay, the Mayo Clinic states that you should brush your teeth twice per day with fluoride toothpaste. You should also visit your dentist every six months or as often as they recommend. At these appointments, they can check for and treat early decay before it develops into a cavity. If your dentist believes your teeth are at risk of decay, they may advise you to rinse once per day with a fluoride mouthwash. They may also provide in-office fluoride treatments to strengthen your tooth enamel. To further protect your teeth, you might consider drinking your local tap water if it's fluoridated, avoiding snacking or sipping beverages other than water during the day and eating tooth-friendly foods, such as fruits and vegetables.

A smooth surface cavity requires treatment, but it's entirely preventable. Practice good oral hygiene and visit your dentist regularly, so they can spot the early signs of decay that can be reversed.

(12/13/2022)
by Colgate

More Information: https://www.colgate.com/en-us/oral-health/cavities/what-is-a-smooth-surface-cavity


Views: 528
Share
Share

Five Tips for Dental Filling Aftercare

Dental filling procedures are very common among patients of all ages. They are done in order to tackle minor to moderate cavities, and the procedure is relatively straightforward. However, with all dental procedures comes the need for aftercare. In the case of dental fillings, the aftercare is pretty simple and not too involved. Ready to find out more about how to care for your teeth after a dental filling?

5 Ways to care for a tooth after a dental filling

Outlined below are a few tips on aftercare once a dental filling procedure has been done. This information can be helpful to review when preparing for an upcoming dental filling procedure.

1. Be gentle

In general, it is advisable to be gentle after a dental filling procedure. The tooth will be sore and sensitive, and the surrounding teeth may also feel the effects of the procedure. Patients should avoid touching the tooth or area for a day or so to ensure that it heals properly.

2. Avoid eating hard and sticky items

It can be difficult to eat immediately after a dental filling procedure. The tooth may be sensitive or sore, which is completely normal. General dentists recommend avoiding eating hard or sticky items after the procedure to avoid any further discomfort. Foods such as candies, caramels, jerky, tough meats, or hard nuts may damage the newly filled tooth. It is better to eat soft foods, such as eggs, yogurt, pudding, or smoothies for a day or so after the procedure.

3. Rinse a couple of times

Patients are advised to rinse their mouths after a dental filling procedure. There may be debris left behind or food from eating, which can be uncomfortable. Rinsing with salt-water or a gentle mouthwash with no alcohol a few times after a dental filling can be helpful in cleansing the mouth. Additionally, it can reduce bad breath that may have come from the dental filling procedure, which is a common side effect.

4. Take an anti-inflammatory medication

Some patients experience slight discomfort after a dental filling procedure, which is completely normal. Discomfort or soreness usually does not last longer than a day or two, however, in the meantime, patients can remedy with over-the-counter anti-inflammatory medication. This will reduce swelling, while also helping to relieve the mouth of discomfort.

5. Brush and floss

Many people are hesitant to brush and floss after a dental filling procedure, however, it is necessary to do so before the night ends. Although the tooth may be sore, it is still necessary to gently brush and floss. General dentists recommend a very soft-bristled toothbrush to avoid discomfort.

Do you currently need a dental filling?

When looking to learn more about aftercare for a dental filling procedure, it is best to consult directly with a general dentist. The general dentist can specify certain tips that can be helpful. Reach out today to get your questions and concerns addressed, or to get started with a consultation appointment.

(12/14/2022)
by Chamblee Dental Care

More Information: https://chambleedental.com/blog/5-tips-for-dental-filling-aftercare/


Views: 518
Share
Share

A Clean Mouth Might Save Your Life

Professional dental exams and a regular homecare routine do more than keep your mouth clean – they might save your life!

Taking care of your mouth, teeth, and gums is essential to your overall health and can prevent cavities, periodontal disease, and infections while lowering your risk of heart attack and stroke. As an added bonus, you get to keep your natural teeth as you age!

A regular home care routine of brushing, flossing, and rinsing combined with periodic professional exams and cleanings are the best way to keep your teeth. It also helps prevent life-threatening illnesses and diseases.

Research shows that 90% of systemic diseases, including heart disease, also have oral symptoms. So a clean, infection-free mouth gives you an extra layer of protection.

Here are some ways to make your home care routine as effective as possible:

Hold your brush at a 45-degree angle where the tooth and gum meet, and brush your teeth for two minutes twice a day.

Brush all the surfaces of your teeth, including cheek side, tongue-side, and the chewing surfaces.

To brush the tongue side of your front teeth, hold the toothbrush vertically and use small, short strokes.

Don’t forget to brush your tongue!

Floss at least once a day.

Use an ADA-approved mouth rinse to remove biofilm and bacteria that are missed by brushing alone. Use an alcohol-free version to prevent drying out your oral tissues.

If you can’t brush, grab the gum! Chewing a piece of sugarless gum for 20 minutes after you eat can help neutralize acids and increase saliva flow to rinse away food particles.

It’s also important to remember that professional exams and cleanings are just as important as a dedicated home care routine.

During a professional oral exam and cleaning, your hygienist and dentist don’t only check for signs of decay. The color of your gums and oral tissue, the amount of plaque buildup, gum overgrowth, and other issues can alert your dentist to potentially life-threatening conditions.

Professional cleanings remove plaque and tartar below the gum and in-between teeth. However, even the most meticulous home care requires the help of a hygienist! Using special instruments, your hygienist can reach places a toothbrush can’t.

Skimping on homecare and forgoing a regular dental exam can also put you at risk for developing or worsening cardiovascular problems. Periodontal disease is an active infection in the gum tissue. Left untreated, you risk bone and tooth loss. If the infection enters your bloodstream through an open wound in your mouth, you could be at risk for severe cardiovascular problems such as endocarditis. Endocarditis is a rare infection in the lining of the heart chambers and valves caused by bacteria spreading through your blood and sticking to already damaged areas of your heart.

Oral health has many facets, and each piece is as important as the other. By creating and sticking to a daily routine of brushing, flossing, and rinsing combined with professional dental cleanings, you can help keep your teeth and body healthy for the rest of your life.

(12/14/2022)
by Distintive Dental Concepts

More Information: https://www.ddctx.com/a-clean-mouth-might-save-your-life/


Views: 472
Share